SAB6012387
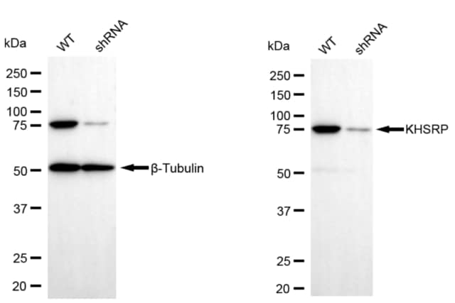
KD-Validated Anti KHSRP Antibody, clone 23GB6435, Rabbit Monoclonal


clone 23GB6435, recombinant rabbit monoclonal, expressed in HEK293 cells
别名:
FBP2, FUBP2, KSRP, P75
生物来源
rabbit (Monoclonal)
质量水平
重组
expressed in HEK 293 cells
偶联物
unconjugated
抗体形式
affinity isolated antibody
抗体产品类型
primary antibodies
克隆
23GB6435, recombinant monoclonal
表单
buffered aqueous glycerol solution
分子量
73 kDa
种属反应性
human, rat
包装
vial of 1.5 mL
增强验证
recombinant expression
Learn more about Antibody Enhanced Validation
浓度
0.362 mg/ml
技术
flow cytometry: 1:2000
western blot: 1:1,000-1:5,000
同位素/亚型
IgG
基因组数据库 |人类登记号
NCBI登记号
UniProt登记号
运输
wet ice
储存温度
−20°C
靶向翻译后修饰
unmodified
基因信息
human ... KHSRP(8570)
一般描述
The KHSRP gene encodes a multifunctional RNA-binding protein implicated in a variety of cellular processes, including transcription, alternative pre-mRNA splicing, and mRNA localization (Min et al., 1997 [PubMed 9136930]; Gherzi et al., 2004 [PubMed 15175153]).[supplied by OMIM, Apr 2010]
免疫原
A synthesized peptide corresponding to a sequence within amino acids 50-100 of human KHSRP [NP_003676.2].
外形
Solution in PBS (pH 7.4) containing 50% glycerol, and 0.02% sodium azide.
其他说明
Gently mix before use. Optimal concentrations and conditions for each application should be determined by the user.
未找到合适的产品?
试试我们的产品选型工具.
法规信息
新产品
此项目有
我们的科学家团队拥有各种研究领域经验,包括生命科学、材料科学、化学合成、色谱、分析及许多其他领域.
联系客户支持