SAB6012466
KD-Validated Anti G-rich RNA sequence binding factor 1 Antibody, clone 23GB1890, Rabbit Monoclonal


clone 23GB1890, recombinant rabbit monoclonal, expressed in HEK293 cells
别名:
GRSF-1
生物来源
rabbit (Monoclonal)
质量水平
重组
expressed in HEK 293 cells
偶联物
unconjugated
抗体形式
affinity isolated antibody
抗体产品类型
primary antibodies
克隆
23GB1890, recombinant monoclonal
表单
buffered aqueous glycerol solution
分子量
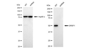
53 kDa
种属反应性
human
包装
vial of 1.5 mL
增强验证
recombinant expression
Learn more about Antibody Enhanced Validation
浓度
2 mg/ml
技术
flow cytometry: 1:2000
immunofluorescence: 1:100-:1000
western blot: 1:1,000-1:5,000
同位素/亚型
IgG
基因组数据库 |人类登记号
NCBI登记号
UniProt登记号
运输
wet ice
储存温度
−20°C
靶向翻译后修饰
unmodified
基因信息
human ... GRSF1(2926)
一般描述
The protein encoded by this gene is a cellular protein that binds RNAs containing the G-rich element. The protein is localized in the cytoplasm, and has been shown to stimulate translation of viral mRNAs in vitro. Multiple transcript variants encoding different isoforms have been found for this gene. [provided by RefSeq, Jul 2008]
免疫原
A synthesized peptide corresponding to a sequence within amino acids 350-400 of human GRSF1 [NP_001091947.1].
外形
Solution in PBS (pH 7.4) containing 50% glycerol, and 0.02% sodium azide.
其他说明
Gently mix before use. Optimal concentrations and conditions for each application should be determined by the user.
未找到合适的产品?
试试我们的产品选型工具.
法规信息
新产品
此项目有
我们的科学家团队拥有各种研究领域经验,包括生命科学、材料科学、化学合成、色谱、分析及许多其他领域.
联系客户支持