跳转至内容
Merck
CN

T1325

Anti-Phosphotyrosine antibody produced in rabbit

0.5 mg/mL, affinity isolated antibody, buffered aqueous solution

别名:

Anti-p-Tyr

登录 查看组织和合同定价。

选择尺寸


关于此项目

UNSPSC Code:
12352203
NACRES:
NA.44
MDL number:
Conjugate:
unconjugated
Clone:
polyclonal
Application:
indirect immunofluorescence
western blot
Technique(s):
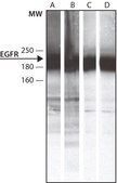
indirect immunofluorescence: 3-6 μg/mL using A431 stimulated by human EGF.
western blot: 0.3-0.6 μg/mL using total cell extract of A431 stimulated by human EGF
Citations:
9
技术服务
需要帮助?我们经验丰富的科学家团队随时乐意为您服务。
让我们为您提供帮助
技术服务
需要帮助?我们经验丰富的科学家团队随时乐意为您服务。
让我们为您提供帮助

产品名称

Anti-Phosphotyrosine antibody produced in rabbit, 0.5 mg/mL, affinity isolated antibody, buffered aqueous solution

biological source

rabbit

conjugate

unconjugated

antibody form

affinity isolated antibody

antibody product type

primary antibodies

clone

polyclonal

form

buffered aqueous solution

concentration

0.5 mg/mL

technique(s)

indirect immunofluorescence: 3-6 μg/mL using A431 stimulated by human EGF.
western blot: 0.3-0.6 μg/mL using total cell extract of A431 stimulated by human EGF

shipped in

dry ice

storage temp.

−20°C

target post-translational modification

phosphorylation (pTyr)

Quality Level

Biochem/physiol Actions

Protein phosphorylation is the most abundant among post-translational modifications of cellular proteins, regulating intracellular signal transduction pathways in every living cell. Tyrosine, serine and threonine are the major amino acids that are phosphorylated in proteins. Antibodies specific for phosphotyrosine are essential tools for the characterization of tyrosine phosphorylation in many signal transduction pathways.
Anti-Phosphotyrosine recognizes tyrosine phosphorylated proteins.

Application

Anti-Phosphotyrosine antibody is suitable for use in indirect immunofluorescence (3-6 μg/mL using A431 stiμLated by human EGF) and immunoblot (using U2OS Dr1 cells ). The antibody may also be used for immunoprecipitation (1:40 using rat lumbar and thoracic lysates) and immunocytochemistry.

Disclaimer

Unless otherwise stated in our catalog or other company documentation accompanying the product(s), our products are intended for research use only and are not to be used for any other purpose, which includes but is not limited to, unauthorized commercial uses, in vitro diagnostic uses, ex vivo or in vivo therapeutic uses or any type of consumption or application to humans or animals.

Immunogen

phospho-L-tyrosine conjugated to KLH

Physical form

Solution in 0.01 M phosphate buffered saline, pH 7.4, and 1% BSA, containing 15 mM sodium azide.

Preparation Note

For extended storage, freeze in working aliquots. Repeated freezing and thawing is not recommended. Storage in "frost-free" freezers is not recommended. If slight turbidity occurs upon prolonged storage, clarify the solution by centrifugation before use. Working dilution samples should be discarded if not used within 12 hours.

未找到合适的产品?  

试试我们的产品选型工具.

存储类别

12 - Non Combustible Liquids

wgk

nwg

flash_point_f

Not applicable

flash_point_c

Not applicable

法规信息

常规特殊物品
此项目有

历史批次信息供参考:

分析证书(COA)

Lot/Batch Number

没有发现合适的版本?

如果您需要特殊版本,可通过批号或批次号查找具体证书。

已有该产品?

在文件库中查找您最近购买产品的文档。

访问文档库

Ying Xu et al.
Carcinogenesis, 37(2), 215-222 (2016-01-01)
Dysregulated expression of epidermal growth factor receptor (EGFR) has been implicated in many cancer events, while peroxisome proliferator-activated receptor γ (PPARγ) negatively regulates cancer progression. The molecular mechanism of EGFR interaction with PPARγ is still unclear. Here, we found that
A Wiedłocha et al.
Molecular and cellular biology, 16(1), 270-280 (1996-01-01)
U2OS Dr1 cells, originating from a human osteosarcoma, are resistant to the intracellular action of diphtheria toxin but contain toxin receptors on their surfaces. These cells do not have detectable amounts of fibroblast growth factor receptors. When these cells were
Shuangsong Hong et al.
The Journal of biological chemistry, 279(28), 29341-29350 (2004-05-05)
Diabetic neuropathy is a common form of peripheral neuropathy, yet the mechanisms responsible for pain in this disease are poorly understood. Alterations in the expression and function of voltage-gated tetrodotoxin-resistant (TTX-R) sodium channels have been implicated in animal models of
Michael Bachmann et al.
Journal of cell science, 135(7) (2022-03-29)
Integrin-mediated adhesions are convergence points for multiple signaling pathways. Their inner structure and diverse functions can be studied with super-resolution microscopy. Here, we examined the spatial organization within focal adhesions by analyzing several adhesion proteins with structured illumination microscopy (SIM).
Rafael S Demarco et al.
Methods (San Diego, Calif.), 68(1), 218-227 (2014-05-07)
The process of spermatogenesis in Drosophila melanogaster provides a powerful model system to probe a variety of developmental and cell biological questions, such as the characterization of mechanisms that regulate stem cell behavior, cytokinesis, meiosis, and mitochondrial dynamics. Classical genetic

相关内容

我们的科学家团队拥有各种研究领域经验,包括生命科学、材料科学、化学合成、色谱、分析及许多其他领域.

联系客户支持