跳转至内容
Merck
CN

ZRB2256

Anti-REV1 Antibody, clone 1G9 ZooMAb® Rabbit Monoclonal

greener alternative

recombinant, expressed in HEK 293 cells

别名:

AIBP80, Alpha integrin-binding protein 80, DNA repair protein REV1, EC:2.7.7, Rev1-like terminal deoxycytidyl transferase

登录 查看组织和合同定价。

选择尺寸

变更视图

关于此项目

NACRES:
NA.43
UNSPSC Code:
12352203
Conjugate:
unconjugated
Clone:
1G9, recombinant monoclonal
Application:
ICC, IHC, WB, affinity binding assay
Citations:
-
技术服务
需要帮助?我们经验丰富的科学家团队随时乐意为您服务。
让我们为您提供帮助

biological source

rabbit

Quality Level

recombinant

expressed in HEK 293 cells

conjugate

unconjugated

antibody form

purified antibody

antibody product type

primary antibodies

clone

1G9, recombinant monoclonal

description

recombinant, expressed in HEK 293 cells

product line

ZooMAb® learn more

form

lyophilized

purified by

using Protein A

species reactivity

human, rat

species reactivity (predicted by homology)

mouse, canine, monkey, feline, bovine, porcine

packaging

antibody small pack of 25 μL

greener alternative product characteristics

Waste Prevention
Designing Safer Chemicals
Design for Energy Efficiency
Learn more about the Principles of Green Chemistry.

enhanced validation

recombinant expression
Learn more about Antibody Enhanced Validation

sustainability

Greener Alternative Product

technique(s)

affinity binding assay: suitable, immunocytochemistry: suitable, immunohistochemistry: suitable, western blot: suitable

isotype

IgG

epitope sequence

C-terminal

Protein ID accession no.

UniProt accession no.

greener alternative category

shipped in

ambient

storage temp.

2-8°C

Gene Information

human ... REV1(51455)

General description

DNA repair protein REV1 (UniProt: Q9UBZ9; also known as EC:2.7.7, Alpha integrin-binding protein 80, AIBP80, Rev1-like terminal deoxycytidyl transferase) is encoded by the REV1 (also known as REV1L) gene (Gene ID: 51455) in  human. REV1 is a ubiquitous, monomeric, eukaryotic member of the Y family of DNA polymerases that is involved in the tolerance of DNA damage by translesion DNA synthesis. It serves as a deoxycytidyl transferase that transfers a dCMP residue from dCTP to the 3′-end of a DNA primer in a template-dependent reaction. It is essential for mutagenic bypass of a wide variety of lesions, a function that does not appear to be dependent on its deoxycytidyl transferase activity. REV1 interacts with the DNA polymerase zeta which is composed of REV3L and MAD2L2; and this interaction with MAD2L2 is direct and requires that REV3L is in its closed conformation. It can bind directly to PCNA and monoubiquitylation of PCNA enhances this interaction. This interaction requires a functional BRCT domain (aa 44-131) located near its N-terminus. Three isoforms of REV1 have been described that are produced by alternative splicing.  This ZooMAb® recombinant monoclonal antibody, generated by our propriety technology, offers significantly enhanced specificity, Affinity, reproducibility, and stability over conventional monoclonals. (Ref.: Guo, C., et al. (2006). Mol. Cell.  23(2); 265-271; Simpson, LJ., and Sale, JE. (2003). EMBO J. 22(7); 1654-1664).
We are committed to bringing you greener alternative products, which adhere to one or more of The 12 Principles of Green Chemistry.This antibody is Preservative-free, produced without the harm or sacrifice of animals and exceptionally stable to allow for ambient shipping and storage if needed and thus aligns with "Waste Prevention", "Designing Safer Chemicals" and "Design for Energy Efficiency". Click here for more information.
ZooMAb® antibodies represent an entirely new generation of recombinant monoclonal antibodies. Each ZooMAb® antibody is manufactured using our proprietary recombinant expression system, purified to homogeneity, and precisely dispensed to produce robust and highly reproducible lot-to-lot consistency. Only top-performing clones are released for use by researchers. Each antibody is validated for high specificity and affinity across multiple applications, including its most commonly used application. ZooMAb® antibodies are reliably available and ready to ship when you need them.

Immunogen

KLH-conjugated linear peptide corresponding to 22 amino acids from the C-terminal region of human REV1.

Application

Quality Control Testing

Evaluated by Western Blotting in Human kidney tissue lysate.

Western Blotting Analysis: A 1:1,000 dilution of this antibody detected REV1 in Human kidney tissue lysate.

Tested Applications

Western Blotting Analysis: A 1:1,000 dilution from a representative lot detected REV1 in Rat Kidney tissue lysate.

Affinity Binding Assay: A representative lot of this antibody bound REV1 peptide with a KD of 3.1 x 10-7 in an affinity binding assay.

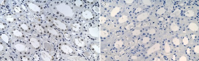
Immunohistochemistry (Paraffin) Analysis: A 1:100 dilution from a representative lot detected REV1 in Human kidney tissue sections.

Immunocytochemistry Analysis: A 1:100 dilution from a representative lot detected REV1 in HEK293 cells.

Note: Actual optimal working dilutions must be determined by end user as specimens, and experimental conditions may vary with the end user.

Biochem/physiol Actions

Clone 1G9 is a ZooMAb® rabbit recombinant monoclonal antibody that specifically detects REV1. It targets an epitope within 22 amino acids from the C-terminal region.

Physical form

Purified recombinant rabbit monoclonal antibody IgG, lyophilized in PBS, 5% Trehalose, normal appearance a coarse or translucent resin. The PBS/trehalose components in the ZooMAb formulation can have the appearance of a semi-solid (bead like gel) after lyophilization. This is a normal phenomenon. Please follow the recommended reconstitution procedure in the data sheet to dissolve the semi-solid, bead-like, gel-appearing material. The resulting antibody solution is completely stable and functional as proven by full functional testing. Contains no biocide or preservatives, such as azide, or any animal by-products. Larger pack sizes provided as multiples of 25 µL.

Preparation Note

Recommend storage of lyophilized product at 2-8°C; Before reconstitution, micro-centrifuge vials briefly to spin down material to bottom of the vial; Reconstitute each vial by adding 25 µL of filtered lab grade water or PBS; Reconstituted antibodies can be stored at 2-8°C, or -20°C for long term storage. Avoid repeated freeze-thaws.
Reconstitute lyophilized antibody pellet with 25μL of ultrapure water or Phosphate Buffered Saline (PBS). Please refer to our reconstitution protocol and the specific application guidance on the suggested starting dilutions and sample type.

Other Notes

Concentration: Please refer to the Certificate of Analysis for the lot-specific concentration.

Legal Information

Affinity is a trademark of Mine Safety Appliances Co.
ZooMAb is a registered trademark of Merck KGaA, Darmstadt, Germany

Disclaimer

Unless otherwise stated in our catalog or other company documentation accompanying the product(s), our products are intended for research use only and are not to be used for any other purpose, which includes but is not limited to, unauthorized commercial uses, in vitro diagnostic uses, ex vivo or in vivo therapeutic uses or any type of consumption or application to humans or animals.

未找到合适的产品?  

试试我们的产品选型工具.

存储类别

11 - Combustible Solids

wgk

WGK 1

flash_point_f

Not applicable

flash_point_c

Not applicable

法规信息

常规特殊物品

此项目有


历史批次信息供参考:

分析证书(COA)

Lot/Batch Number

没有发现合适的版本?

如果您需要特殊版本,可通过批号或批次号查找具体证书。

已有该产品?

在文件库中查找您最近购买产品的文档。

访问文档库

全球贸易项目编号

货号GTIN
ZRB2256-4X25UL04065270010995
ZRB2256-25UL04065270010988

我们的科学家团队拥有各种研究领域经验,包括生命科学、材料科学、化学合成、色谱、分析及许多其他领域.

联系客户支持