跳转至内容
Merck
CN

ZRB2502

Anti-SREBF2 Antibody, clone 2K8 ZooMAb® Rabbit Monoclonal

greener alternative

recombinant, expressed in HEK 293 cells

别名:

BHLHD2, Class D basic helix-loop-helix protein 2 (bHLHd2), Processed sterol regulatory element-binding protein 2, SREBP2, Sterol regulatory element-binding protein 2, Sterol regulatory element-binding transcription factor 2, Transcription factor SREBF2

登录 查看组织和合同定价。

选择尺寸

变更视图

关于此项目

UNSPSC Code:
12352203
NACRES:
NA.46
Conjugate:
unconjugated
Clone:
2K8, recombinant monoclonal
Application:
ICC, IHC, WB, affinity binding assay
Citations:
-
技术服务
需要帮助?我们经验丰富的科学家团队随时乐意为您服务。
让我们为您提供帮助

biological source

rabbit

Quality Level

recombinant

expressed in HEK 293 cells

conjugate

unconjugated

antibody form

purified antibody

antibody product type

primary antibodies

clone

2K8, recombinant monoclonal

description

recombinant, expressed in HEK 293 cells

product line

ZooMAb® learn more

form

lyophilized

mol wt

calculated mol wt 123.69 kDa, observed mol wt ~155 kDa

purified by

using Protein A

species reactivity

human

species reactivity (predicted by homology)

rat, hamster

packaging

antibody small pack of 25

greener alternative product characteristics

Waste Prevention
Designing Safer Chemicals
Design for Energy Efficiency
Learn more about the Principles of Green Chemistry.

enhanced validation

recombinant expression
Learn more about Antibody Enhanced Validation

sustainability

Greener Alternative Product

technique(s)

affinity binding assay: suitable, immunocytochemistry: suitable, immunohistochemistry: suitable, western blot: suitable

isotype

IgGκ

epitope sequence

N-terminal half

Protein ID accession no.

UniProt accession no.

greener alternative category

shipped in

ambient

storage temp.

2-8°C

Gene Information

human ... SREBF2(6721)

General description

SREBF2 is a transcription factor belonging to the SREBP family. It contains a basic helix-loop-helix (bHLH) domain and a transcriptional activation domain. The protein is synthesized as an inactive precursor that undergoes proteolytic cleavage to release the active form, which translocates to the nucleus. SREBF2 plays a crucial role in lipid metabolism by regulating the expression of genes involved in cholesterol and fatty acid synthesis. It activates genes such as HMGCR (3-hydroxy-3-methyl-glutaryl-coenzyme A reductase) and LDLR (low-density lipoprotein receptor), facilitating cholesterol uptake and synthesis. SREBF2 is predominantly expressed in the liver, but it is also found in other tissues such as adipose tissue and the intestine. Its expression is regulated by cellular cholesterol levels; low cholesterol levels stimulate SREBF2 activation, while high levels suppress its activity. In its inactive form, SREBF2 resides in the endoplasmic reticulum (ER). Upon activation, it is cleaved and the mature form translocates to the nucleus, where it binds to sterol regulatory elements (SREs) in the promoters of target genes. Dysregulation of SREBF2 is associated with various diseases, including hypercholesterolemia, atherosclerosis, Non-alcoholic fatty liver disease. SREBF2 is also implicated in tumorigenesis through its role in lipid biosynthesis, which supports rapid cell proliferation. This ZooMAb® recombinant monoclonal antibody, generated by our propriety technology, offers significantly enhanced specificity, affinity, reproducibility, and stability over conventional monoclonals.
We are committed to bringing you greener alternative products, which adhere to one or more of the 12 Principles of Green Chemistry. This antibody is preservative-free, produced without the harm or sacrifice of animals and exceptionally stable to allow for ambient shipping and storage if needed, and thus aligns with "Waste Prevention", "Designing Safer Chemicals" and "Design for Energy Efficiency". Click here for more information.
ZooMAb® antibodies represent an entirely new generation of recombinant monoclonal antibodies. Each ZooMAb® antibody is manufactured using our proprietary recombinant expression system, purified to homogeneity, and precisely dispensed to produce robust and highly reproducible lot-to-lot consistency. Only top-performing clones are released for use by researchers. Each antibody is validated for high specificity and affinity across multiple applications, including its most commonly used application. ZooMAb® antibodies are reliably available and ready to ship when you need them.

Immunogen

KLH-conjugated linear peptide corresponding to 21 amino acids from the N-terminal half of human SREBF2.

Application

Quality Control Testing

Evaluated by Western Blotting in Ramos cell lysate.

Western Blotting Analysis: A 1:10,000 dilution of this antibody detected SREBF2 in Ramos cell lysate.

Tested Applications

Western Blotting Analysis: A 1:1,000 dilution from a representative lot detected SREBF2 in lysates from Raji, HepG2, HUH-7, and HeLa cells.

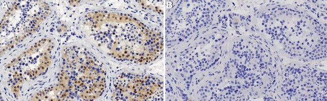
Immunohistochemistry (Paraffin) Analysis: A 1:100 dilution from a representative lot detected SREBF2 in human testis tissue sections.

Immunocytochemistry Analysis: A 1:100 dilution from a representative lot detected SREBF2 in A-431 and HeLa cells.

Affinity Binding Assay: A representative lot of this antibody bound with SREBF2 peptide at least ten thousand-fold (10,000X) higher affinity than with non-specific control peptide.

Note: Actual optimal working dilutions must be determined by end user as specimens, and experimental conditions may vary with the end user.

Biochem/physiol Actions

Clone 2K8 is a ZooMAb® rabbit recombinant monoclonal antibody that detects SREBF2. It targets an epitope within 21 amino acids from the N-terminal half.

Physical form

Purified recombinant rabbit monoclonal antibody IgG, lyophilized in PBS with 5% Trehalose, normal appearance a coarse or translucent resin. The PBS/trehalose components in the ZooMAb formulation can have the appearance of a semi-solid (bead like gel) after lyophilization. This is a normal phenomenon. Please follow the recommended reconstitution procedure in the data sheet to dissolve the semi-solid, bead-like, gel-appearing material. The resulting antibody solution is completely stable and functional as proven by full functional testing. Contains no biocide or preservatives, such as azide, or any animal by-products. Larger pack sizes provided as multiples of 25 µL.

Preparation Note

300 µg/mL after reconstitution at 25 µL per vial. Please refer to guidance on suggested starting dilutions and/or titers per application and sample type.
Recommend storage of lyophilized product at 2-8°C; Before reconstitution, micro-centrifuge vials briefly to spin down material to bottom of the vial; Reconstitute each vial by adding 25 µL of filtered lab grade water or PBS; Reconstituted antibodies can be stored at 2-8°C, or -20°C for long term storage. Avoid repeated freeze-thaws.

Legal Information

ZooMAb is a registered trademark of Merck KGaA, Darmstadt, Germany

Disclaimer

Unless otherwise stated in our catalog or other company documentation accompanying the product(s), our products are intended for research use only and are not to be used for any other purpose, which includes but is not limited to, unauthorized commercial uses, in vitro diagnostic uses, ex vivo or in vivo therapeutic uses or any type of consumption or application to humans or animals.

未找到合适的产品?  

试试我们的产品选型工具.

存储类别

11 - Combustible Solids

wgk

WGK 2

flash_point_f

Not applicable

flash_point_c

Not applicable

法规信息

常规特殊物品

此项目有


历史批次信息供参考:

分析证书(COA)

Lot/Batch Number

没有发现合适的版本?

如果您需要特殊版本,可通过批号或批次号查找具体证书。

已有该产品?

在文件库中查找您最近购买产品的文档。

访问文档库

全球贸易项目编号

货号GTIN
ZRB2502-25UL04065272353229
ZRB2502-4X25UL04065272353236

我们的科学家团队拥有各种研究领域经验,包括生命科学、材料科学、化学合成、色谱、分析及许多其他领域.

联系客户支持