biological source
rabbit
Quality Level
recombinant
expressed in HEK 293 cells
conjugate
unconjugated
antibody form
purified antibody
antibody product type
primary antibodies
clone
2D14, recombinant monoclonal
description
recombinant, expressed in HEK 293 cells
product line
ZooMAb® learn more
form
lyophilized
mol wt
calculated mol wt 55.94 kDa, observed mol wt ~60 kDa
purified by
using Protein A
species reactivity
rat, human, mouse
packaging
antibody small pack of 25
greener alternative product characteristics
Waste Prevention
Designing Safer Chemicals
Design for Energy Efficiency
Learn more about the Principles of Green Chemistry.
enhanced validation
recombinant expression
Learn more about Antibody Enhanced Validation
sustainability
Greener Alternative Product
technique(s)
affinity binding assay: suitable, immunocytochemistry: suitable, immunohistochemistry: suitable, western blot: suitable
isotype
IgG
epitope sequence
N-terminal half
Protein ID accession no.
UniProt accession no.
greener alternative category
shipped in
ambient
storage temp.
2-8°C
Gene Information
human ... NFIA(4774)
General description
ZooMAb® antibodies represent an entirely new generation of recombinant monoclonal antibodies. Each ZooMAb® antibody is manufactured using our proprietary recombinant expression system, purified to homogeneity, and precisely dispensed to produce robust and highly reproducible lot-to-lot consistency. Only top-performing clones are released for use by researchers. Each antibody is validated for high specificity and affinity across multiple applications, including its most commonly used application. ZooMAb® antibodies are reliably available and ready to ship when you need them.
Nuclear factor 1 A-type (UniProt: Q12857; also known as NF1-A, Nuclear factor 1/A, CCAAT-box-binding transcription factor (CTF), Nuclear factor I/A (NF-I/A; NFI-A), TGGCA-binding protein) is encoded by the NFIA (also known as KIAA1439) gene (Gene ID: 4774) in human. Nuclear Factor I A-type (NFIA) is a transcription factor belonging to the Nuclear Factor I (NFI) family, which is involved in transcriptional regulation, chromatin organization, and cellular signaling pathways. NFIA has multiple transcript variants that encode distinct isoforms. The protein plays a critical role in the development of the central nervous system, particularly in brain formation and glial cell differentiation. NFIA regulates essential genes involved in brain development, such as genes related to oligodendrocyte maturation and neuronal migration. It has been implicated in developmental processes, including glial differentiation through its role in the Notch/JAK/STAT signaling pathway. NFIA is also associated with metabolic regulation, such as mitochondrial function and inflammatory responses in adipocytes, where it facilitates enhancer activation and genomic binding. Dysregulation of NFIA has been linked to various diseases, such as brain malformations with or without urinary tract defects, bilateral polymicrogyria, and epileptogenesis, where it promotes astrocyte reactivity. Additionally, NFIA is involved in pathological conditions like joint degeneration and metabolic stress in obese mice. This ZooMAb® recombinant monoclonal antibody, generated by our proprietary technology, offers significantly enhanced specificity, affinity, reproducibility, and stability over conventional monoclonals. (Ref.: Bertini, V., et al., (2022), Genes, 13; 2249; Hiraike, Y., et al., (2023), PNAS, 120(31); e2308750120)
Nuclear factor 1 A-type (UniProt: Q12857; also known as NF1-A, Nuclear factor 1/A, CCAAT-box-binding transcription factor (CTF), Nuclear factor I/A (NF-I/A; NFI-A), TGGCA-binding protein) is encoded by the NFIA (also known as KIAA1439) gene (Gene ID: 4774) in human. Nuclear Factor I A-type (NFIA) is a transcription factor belonging to the Nuclear Factor I (NFI) family, which is involved in transcriptional regulation, chromatin organization, and cellular signaling pathways. NFIA has multiple transcript variants that encode distinct isoforms. The protein plays a critical role in the development of the central nervous system, particularly in brain formation and glial cell differentiation. NFIA regulates essential genes involved in brain development, such as genes related to oligodendrocyte maturation and neuronal migration. It has been implicated in developmental processes, including glial differentiation through its role in the Notch/JAK/STAT signaling pathway. NFIA is also associated with metabolic regulation, such as mitochondrial function and inflammatory responses in adipocytes, where it facilitates enhancer activation and genomic binding. Dysregulation of NFIA has been linked to various diseases, such as brain malformations with or without urinary tract defects, bilateral polymicrogyria, and epileptogenesis, where it promotes astrocyte reactivity. Additionally, NFIA is involved in pathological conditions like joint degeneration and metabolic stress in obese mice. This ZooMAb® recombinant monoclonal antibody, generated by our proprietary technology, offers significantly enhanced specificity, affinity, reproducibility, and stability over conventional monoclonals. (Ref.: Bertini, V., et al., (2022), Genes, 13; 2249; Hiraike, Y., et al., (2023), PNAS, 120(31); e2308750120)
We are committed to bringing you greener alternative products, which adhere to one or more of the 12 Principles of Green Chemistry. This antibody is preservative-free, produced without the harm or sacrifice of animals and exceptionally stable to allow for ambient shipping and storage if needed, and thus aligns with "Waste Prevention", "Designing Safer Chemicals" and "Design for Energy Efficiency". Click here for more information.
Immunogen
KLH-conjugated linear peptide corresponding to 24 amino acids from the N-terminal half of human NFIA.
Application
Quality Control Testing
Evaluated by Western Blotting in HeLa cell nuclear extract.
Western Blotting Analysis: A 1:,000 dilution of this antibody detected NFIA in HeLa cell nuclear extract.
Tested Applications
Western Blotting Analysis: A 1:1,000 dilution of this antibody detected NFIA in human brain and mouse cerebellum tissue lysates, and a 1:10,000 dilution from a representative lot detected NFIA in mouse brain nuclear extract and rat brain nuclear extract.
Affinity Binding Assay: A representative lot of this antibody bound with NFIA peptide with at least ten thousand-fold (10,000X) higher affinity than with non-specific control peptide.
Immunocytochemistry Analysis: A 1:1,000 dilution from a representative lot detected NFIA in HeLa cells.
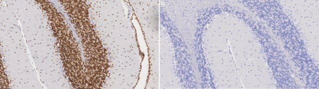
Immunohistochemistry (Paraffin) Analysis (IHC(P)): A 1:1,000 dilution from a representative lot detected NFIA in mouse brain and mouse eye tissue sections.
Note: Actual optimal working dilutions must be determined by end user as specimens, and experimental conditions may vary with the end user.
Evaluated by Western Blotting in HeLa cell nuclear extract.
Western Blotting Analysis: A 1:,000 dilution of this antibody detected NFIA in HeLa cell nuclear extract.
Tested Applications
Western Blotting Analysis: A 1:1,000 dilution of this antibody detected NFIA in human brain and mouse cerebellum tissue lysates, and a 1:10,000 dilution from a representative lot detected NFIA in mouse brain nuclear extract and rat brain nuclear extract.
Affinity Binding Assay: A representative lot of this antibody bound with NFIA peptide with at least ten thousand-fold (10,000X) higher affinity than with non-specific control peptide.
Immunocytochemistry Analysis: A 1:1,000 dilution from a representative lot detected NFIA in HeLa cells.
Immunohistochemistry (Paraffin) Analysis (IHC(P)): A 1:1,000 dilution from a representative lot detected NFIA in mouse brain and mouse eye tissue sections.
Note: Actual optimal working dilutions must be determined by end user as specimens, and experimental conditions may vary with the end user.
Biochem/physiol Actions
Clone 2D14 is a ZooMAb® rabbit recombinant monoclonal antibody that detects NFIA. It targets an epitope within 24 amino acids from the N-terminal half.
Physical form
Purified recombinant rabbit monoclonal antibody IgG, lyophilized in PBS with 5% Trehalose, normal appearance a coarse or translucent resin. The PBS/trehalose components in the ZooMAb formulation can have the appearance of a semi-solid (bead like gel) after lyophilization. This is a normal phenomenon. Please follow the recommended reconstitution procedure in the data sheet to dissolve the semi-solid, bead-like, gel-appearing material. The resulting antibody solution is completely stable and functional as proven by full functional testing. Contains no biocide or preservatives, such as azide, or any animal by-products. Larger pack sizes provided as multiples of 25 µL.
Preparation Note
300 µg/mL after reconstitution at 25 µL per vial. Please refer to guidance on suggested starting dilutions and/or titers per application and sample type.
Recommend storage of lyophilized product at 2-8°C; Before reconstitution, micro-centrifuge vials briefly to spin down material to bottom of the vial; Reconstitute each vial by adding 25 µL of filtered lab grade water or PBS; Reconstituted antibodies can be stored at 2-8°C, or -20°C for long term storage. Avoid repeated freeze-thaws.
Legal Information
ZooMAb is a registered trademark of Merck KGaA, Darmstadt, Germany
Disclaimer
Unless otherwise stated in our catalog or other company documentation accompanying the product(s), our products are intended for research use only and are not to be used for any other purpose, which includes but is not limited to, unauthorized commercial uses, in vitro diagnostic uses, ex vivo or in vivo therapeutic uses or any type of consumption or application to humans or animals.
Still not finding the right product?
试用我们的 产品选型工具 工具缩小选择范围
存储类别
11 - Combustible Solids
flash_point_f
Not applicable
flash_point_c
Not applicable
法规信息
新产品
此项目有
全球贸易项目编号
| 货号 | GTIN |
|---|---|
| ZRB2771-4X25UL | 04065273861624 |
| ZRB2771-25UL | 04065273861617 |