生物来源
rabbit
质量水平
重组
expressed in HEK 293 cells
偶联物
unconjugated
抗体形式
purified antibody
抗体产品类型
primary antibodies
克隆
2M16, recombinant monoclonal
描述
recombinant, expressed in HEK 293 cells
产品线
ZooMAb® learn more
表单
lyophilized
分子量
calculated mol wt 104.04 kDa
observed mol wt ~100 kDa
纯化方式
using Protein A
种属反应性
human
种属反应性(根据同源性预测)
monkey, bovine
包装
antibody small pack of 25
增强验证
recombinant expression
Learn more about Antibody Enhanced Validation
技术
affinity binding assay: suitable
immunocytochemistry: suitable
immunohistochemistry: suitable
western blot: suitable
同位素/亚型
IgG
表位序列
N-terminal half
Protein ID登记号
UniProt登记号
运输
ambient
储存温度
2-8°C
基因信息
human ... MAP3K14(9020)
一般描述
Mitogen-activated protein kinase kinase kinase 14 (UniProt: Q99558; also known as NF-kappa-beta-inducing kinase, NFkB inducing Kinase, HsNIK, Serine/threonine-protein kinase NIK, EC:2.7.11.25) is encoded by the MAP3K14 (also known as NIK) gene (Gene ID: 9020) in human. NF-kB is a ubiquitous transcription factor and an essential mediator of gene expression during activation of immune and inflammatory responses. It shares sequence similarity with several other MAPKK kinases. This kinase binds to TRAF2 and stimulates NF-kappaB activity. NF-kB mediates the expression of a great variety of genes in response to extracellular stimuli including IL-1, TNFalpha, LPS and mitogens. MAP3K14 is an activator of IkB kinase alpha and beta (IKKalpha and IKKbeta). It plays a pivotal role in cellular signaling pathways, particularly in the non-canonical NF-kB signaling cascade. MAP3K14 is weakly expressed in testis, small intestine, spleen, thymus, peripheral blood leukocytes, prostate, ovary and colon. It′s expression is notably upregulated in various cancerous tissues. Structurally, MAP3K14 consists of a protein kinase domain that facilitates its interaction with various substrates, leading to the activation of downstream signaling pathways. It is predominantly localized in the cytoplasm but can translocate to the nucleus in response to specific stimuli, such as inflammatory signals. Notably, its expression is linked to the development of hepatocellular carcinoma (HCC) in the context of chronic hepatitis B virus infection, where genetic variants of MAP3K14 have been identified as potential prognostic markers for patient survival. Dysregulation of MAP3K14 is implicated in several diseases, including cancers, autoimmune disorders, and viral infections, highlighting its significance as a therapeutic target. This ZooMAb® recombinant monoclonal antibody, generated by our proprietary technology, offers significantly enhanced specificity, affinity, reproducibility, and stability over conventional monoclonals. (Ref.: Tang, K., et al. (2024). Cancer. 15(9); 2731-2745; Aoki, Y., et al. (2023). Immunologic Research. (71); 814-832).
ZooMAb® antibodies represent an entirely new generation of recombinant monoclonal antibodies. Each ZooMAb® antibody is manufactured using our proprietary recombinant expression system, purified to homogeneity, and precisely dispensed to produce robust and highly reproducible lot-to-lot consistency. Only top-performing clones are released for use by researchers. Each antibody is validated for high specificity and affinity across multiple applications, including its most commonly used application. ZooMAb® antibodies are reliably available and ready to ship when you need them.
免疫原
KLH-conjugated linear peptide corresponding to 25 amino acids from the N-terminal half of human MAP3K14.
应用
Quality Control Testing
Evaluated by Western Blotting in A549 cell lysate.
Western Blotting Analysis: A 1:1,000 dilution of this antibody detected MAP3K14 in A549 cell lysate.
Tested Applications
Western Blotting Analysis: A 1:1,000 dilution of this antibody detected MAP3K14 in lysate from HT-1080 cells treated with MG-132 (10 µM, 4 hours).
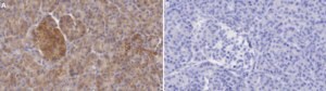
Immunohistochemistry (Paraffin) Analysis: A 1:100 dilution from a representative lot detected MAP3K14 in human pancreas tissue sections.
Immunocytochemistry Analysis: A 1:1,000 dilution from a representative lot detected MAP3K14 in A549 cells.
Affinity Binding Assay: A representative lot of this antibody bound MAP3K14 peptide with at least one billion-fold (1,000,000,000X) higher affinity than with non-specific control peptide.
Note: Actual optimal working dilutions must be determined by end user as specimens, and experimental conditions may vary with the end user.
Evaluated by Western Blotting in A549 cell lysate.
Western Blotting Analysis: A 1:1,000 dilution of this antibody detected MAP3K14 in A549 cell lysate.
Tested Applications
Western Blotting Analysis: A 1:1,000 dilution of this antibody detected MAP3K14 in lysate from HT-1080 cells treated with MG-132 (10 µM, 4 hours).
Immunohistochemistry (Paraffin) Analysis: A 1:100 dilution from a representative lot detected MAP3K14 in human pancreas tissue sections.
Immunocytochemistry Analysis: A 1:1,000 dilution from a representative lot detected MAP3K14 in A549 cells.
Affinity Binding Assay: A representative lot of this antibody bound MAP3K14 peptide with at least one billion-fold (1,000,000,000X) higher affinity than with non-specific control peptide.
Note: Actual optimal working dilutions must be determined by end user as specimens, and experimental conditions may vary with the end user.
生化/生理作用
Clone 2M16 is a ZooMAb® recombinant rabbit monoclonal antibody that specifically detects MAP3K14. It targets an epitope within 25 amino acids from the N-terminal half.
外形
Purified recombinant rabbit monoclonal antibody IgG, lyophilized in PBS with 5% Trehalose, normal appearance a coarse or translucent resin. The PBS/trehalose components in the ZooMAb formulation can have the appearance of a semi-solid (bead like gel) after lyophilization. This is a normal phenomenon. Please follow the recommended reconstitution procedure in the data sheet to dissolve the semi-solid, bead-like, gel-appearing material. The resulting antibody solution is completely stable and functional as proven by full functional testing. Contains no biocide or preservatives, such as azide, or any animal by-products. Larger pack sizes provided as multiples of 25 µL.
制备说明
300 µg/mL after reconstitution at 25 µL per vial. Please refer to guidance on suggested starting dilutions and/or titers per application and sample type.
Recommend storage of lyophilized product at 2-8°C; Before reconstitution, micro-centrifuge vials briefly to spin down material to bottom of the vial; Reconstitute each vial by adding 25 µL of filtered lab grade water or PBS; Reconstituted antibodies can be stored at 2-8°C, or -20°C for long term storage. Avoid repeated freeze-thaws.
法律信息
ZooMAb is a registered trademark of Merck KGaA, Darmstadt, Germany
免责声明
Unless otherwise stated in our catalog or other company documentation accompanying the product(s), our products are intended for research use only and are not to be used for any other purpose, which includes but is not limited to, unauthorized commercial uses, in vitro diagnostic uses, ex vivo or in vivo therapeutic uses or any type of consumption or application to humans or animals.
未找到合适的产品?
试试我们的产品选型工具.
法规信息
新产品
此项目有
我们的科学家团队拥有各种研究领域经验,包括生命科学、材料科学、化学合成、色谱、分析及许多其他领域.
联系客户支持
