Skip to Content
Merck
CN

AV35263

Anti-CLIC5 antibody produced in rabbit

affinity isolated antibody

Synonym(s):

Anti-Chloride intracellular channel 5

Sign In to View Organizational & Contract Pricing.

Select a Size


About This Item

NACRES:
NA.41
UNSPSC Code:
12352203
Conjugate:
unconjugated
Clone:
polyclonal
Application:
IHC, WB
Citations:
2
Technical Service
Need help? Our team of experienced scientists is here for you.
Let Us Assist
Technical Service
Need help? Our team of experienced scientists is here for you.
Let Us Assist

biological source

rabbit

conjugate

unconjugated

antibody form

affinity isolated antibody

antibody product type

primary antibodies

clone

polyclonal

form

buffered aqueous solution

mol wt

28 kDa

species reactivity

rat, horse, bovine, human, guinea pig, rabbit

concentration

0.5 mg - 1 mg/mL

technique(s)

immunohistochemistry: suitable, western blot: suitable

NCBI accession no.

UniProt accession no.

shipped in

wet ice

storage temp.

−20°C

target post-translational modification

unmodified

Quality Level

Gene Information

human ... CLIC5(53405)

General description

CLIC5 is a chloride intracellular channel protein involved in hair cell stereocilia formation. It reportedly stabilizes membrane-actin filament links at the base of stereocilia. It has a role in the growth and differentiation of C2C12 myoblasts.
Rabbit Anti-CLIC5 antibody recognizes human, mouse, rat, pig, zebrafish, chicken, canine, and bovine CLIC5.

Immunogen

Synthetic peptide directed towards the C terminal region of human CLIC5

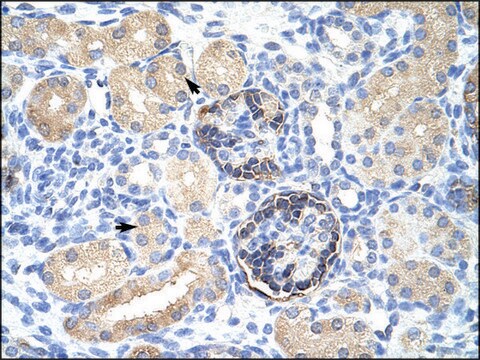
Application

Rabbit Anti-CLIC5 antibody is suitable for western blot (0.25 μg/ml) and IHC (4-8 μg/ml) applications.

Biochem/physiol Actions

Chloride intracellular channels are involved in chloride ion transport within various subcellular compartments. CLIon Channel5 specifically associates with the cytoskeleton of placenta microvilli.

Physical form

Purified antibody supplied in 1x PBS buffer with 0.09% (w/v) sodium azide and 2% sucrose.

Other Notes

Synthetic peptide located within the following region: YRNYDIPAEMTGLWRYLKNAYARDEFTNTCAADSEIELAYADVAKRLSRS

Disclaimer

Unless otherwise stated in our catalog or other company documentation accompanying the product(s), our products are intended for research use only and are not to be used for any other purpose, which includes but is not limited to, unauthorized commercial uses, in vitro diagnostic uses, ex vivo or in vivo therapeutic uses or any type of consumption or application to humans or animals.

Not finding the right product?  

Try our Product Selector Tool.

Storage Class

10 - Combustible liquids

wgk

WGK 1

flash_point_f

Not applicable

flash_point_c

Not applicable

Regulatory Information

低风险生物材料
常规特殊物品
This item has

Choose from one of the most recent versions:

Certificates of Analysis (COA)

Lot/Batch Number

Don't see the Right Version?

If you require a particular version, you can look up a specific certificate by the Lot or Batch number.

Already Own This Product?

Find documentation for the products that you have recently purchased in the Document Library.

Visit the Document Library

Fengna Li et al.
Cell biology international, 34(4), 379-384 (2010-01-09)
CLIC5 (chloride intracellular channel 5) is a CLIC (chloride intracellular channel) with various functions. Its high expression in skeletal muscle and association with actin-based cytoskeleton suggests that it may play an important role in muscle tissue. This study was conducted
Felipe T Salles et al.
Cytoskeleton (Hoboken, N.J.), 71(1), 61-78 (2013-11-29)
Chloride intracellular channel 5 protein (CLIC5) was originally isolated from microvilli in complex with actin binding proteins including ezrin, a member of the Ezrin-Radixin-Moesin (ERM) family of membrane-cytoskeletal linkers. CLIC5 concentrates at the base of hair cell stereocilia and is

Our team of scientists has experience in all areas of research including Life Science, Material Science, Chemical Synthesis, Chromatography, Analytical and many others.

Contact Technical Service