Skip to Content
Merck
CN

HPA001554

Anti-IL23A antibody produced in rabbit

Prestige Antibodies® Powered by Atlas Antibodies, affinity isolated antibody, buffered aqueous glycerol solution

Synonym(s):

Anti-IL-23 subunit α antibody produced in rabbit, Anti-IL-23p19 antibody produced in rabbit, Anti-Interleukin-23 subunit α-precursor antibody produced in rabbit, Anti-Interleukin-23 subunit p19 antibody produced in rabbit

Sign In to View Organizational & Contract Pricing.

Select a Size

Change View

About This Item

Human Protein Atlas Number:
UNSPSC Code:
12352203
Technical Service
Need help? Our team of experienced scientists is here for you.
Let Us Assist


biological source

rabbit

conjugate

unconjugated

antibody form

affinity isolated antibody

antibody product type

primary antibodies

clone

polyclonal

product line

Prestige Antibodies® Powered by Atlas Antibodies

form

buffered aqueous glycerol solution

species reactivity

human

technique(s)

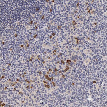
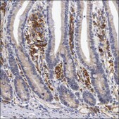
immunoblotting: 0.4 μg/mL, immunohistochemistry: 1:200- 1:500

immunogen sequence

SSPAWTQCQQLSQKLCTLAWSAHPLVGHMDLREEGDEETTNDVPHIQCGDGCDPQGLRDNSQFCLQRIHQGLIFYEKLLGSDIFTGEPSLLPDSPVGQLHASLLGLSQLLQPEGHHWETQQIPSLSPSQPWQRLLLRF

UniProt accession no.

shipped in

wet ice

storage temp.

−20°C

Gene Information

human ... IL23A(51561)

Immunogen

Interleukin-23 subunit α-precursor recombinant protein epitope signature tag (PrEST)

Application

All Prestige Antibodies Powered by Atlas Antibodies are developed and validated by the Human Protein Atlas (HPA) project and as a result, are supported by the most extensive characterization in the industry.

The Human Protein Atlas project can be subdivided into three efforts: Human Tissue Atlas, Cancer Atlas, and Human Cell Atlas. The antibodies that have been generated in support of the Tissue and Cancer Atlas projects have been tested by immunohistochemistry against hundreds of normal and disease tissues and through the recent efforts of the Human Cell Atlas project, many have been characterized by immunofluorescence to map the human proteome not only at the tissue level but now at the subcellular level. These images and the collection of this vast data set can be viewed on the Human Protein Atlas (HPA) site by clicking on the Image Gallery link. We also provide Prestige Antibodies® protocols and other useful information.

Biochem/physiol Actions

IL23A (interleukin 23, α subunit) gene encodes a subunit of the heterodimeric cytokine interleukin 23 (IL23), which also contains the p40 subunit of interleukin 12 (IL12B) and functions in innate and adaptive immunity. IL23 and IL12 activate the transcription activator STAT4, thereby, promoting the production of interferon-γ. IL23 acts on memory CD4+ T cells, while IL12 acts on naive CD4+ T cells. IL23 is invoved in autoimmune inflammatory diseases as it induces autoimmune inflammation.

Features and Benefits

Prestige Antibodies® are highly characterized and extensively validated antibodies with the added benefit of all available characterization data for each target being accessible via the Human Protein Atlas portal linked just below the product name at the top of this page. The uniqueness and low cross-reactivity of the Prestige Antibodies® to other proteins are due to a thorough selection of antigen regions, affinity purification, and stringent selection. Prestige antigen controls are available for every corresponding Prestige Antibody and can be found in the linkage section.

Every Prestige Antibody is tested in the following ways:
  • IHC tissue array of 44 normal human tissues and 20 of the most common cancer type tissues.
  • Protein array of 364 human recombinant protein fragments.

Physical form

Solution in phosphate-buffered saline, pH 7.2, containing 40% glycerol and 0.02% sodium azide

Other Notes

Corresponding Antigen APREST83078.

Legal Information

Prestige Antibodies is a registered trademark of Merck KGaA, Darmstadt, Germany

Disclaimer

Unless otherwise stated in our catalog or other company documentation accompanying the product(s), our products are intended for research use only and are not to be used for any other purpose, which includes but is not limited to, unauthorized commercial uses, in vitro diagnostic uses, ex vivo or in vivo therapeutic uses or any type of consumption or application to humans or animals.


Still not finding the right product?

Try our Product Selector Tool to narrow your options


Storage Class

12 - Non Combustible Liquids

wgk

WGK 1

flash_point_f

Not applicable

flash_point_c

Not applicable

ppe

Eyeshields, Gloves, multi-purpose combination respirator cartridge (US)

Regulatory Information

常规特殊物品

This item has



Choose from one of the most recent versions:

Certificates of Analysis (COA)

Lot/Batch Number

Don't see the Right Version?

If you require a particular version, you can look up a specific certificate by the Lot or Batch number.

Already Own This Product?

Find documentation for the products that you have recently purchased in the Document Library.

Visit the Document Library



B Oppmann et al.
Immunity, 13(5), 715-725 (2000-12-15)
A novel sequence discovered in a computational screen appears distantly related to the p35 subunit of IL-12. This factor, which we term p19, shows no biological activity by itself; instead, it combines with the p40 subunit of IL-12 to form
Claire L Langrish et al.
The Journal of experimental medicine, 201(2), 233-240 (2005-01-20)
Interleukin (IL)-23 is a heterodimeric cytokine composed of a unique p19 subunit, and a common p40 subunit shared with IL-12. IL-12 is important for the development of T helper (Th)1 cells that are essential for host defense and tumor suppression.
Gamze Piskin et al.
Journal of immunology (Baltimore, Md. : 1950), 176(3), 1908-1915 (2006-01-21)
Keratinocytes contribute to cutaneous immune responses through the expression of cytokines. We investigated whether human keratinocytes can express IL-23, a newly defined IFN-gamma-inducing cytokine composed of a unique p19 subunit and a p40 subunit shared with IL-12. Cultured keratinocytes from