Skip to Content
Merck
CN

ZRB1004

Anti-Stat3 Antibody, clone 4N11, ZooMAb® Rabbit Monoclonal

greener alternative

recombinant, expressed in HEK 293 cells

Synonym(s):

Acute-phase response factor, Signal transducer and activator of transcription 3

Sign In to View Organizational & Contract Pricing.

Select a Size


About This Item

NACRES:
NA.41
UNSPSC Code:
12352203
Conjugate:
unconjugated
Clone:
4N11, recombinant monoclonal, monoclonal
Application:
ICC, IHC (p), WB
Citations:
2
Technical Service
Need help? Our team of experienced scientists is here for you.
Let Us Assist
Technical Service
Need help? Our team of experienced scientists is here for you.
Let Us Assist

isotype

IgG

biological source

rabbit (recombinant)

recombinant

expressed in HEK 293 cells

conjugate

unconjugated

antibody form

purified antibody

antibody product type

primary antibodies

clone

4N11, recombinant monoclonal, monoclonal

product line

ZooMAb® learn more

form

lyophilized

mol wt

calculated mol wt 88.07 kDa, observed mol wt ~88 kDa

species reactivity

human, mouse

species reactivity (predicted by homology)

rat

packaging

antibody small pack of 25 μL

greener alternative product characteristics

Waste Prevention
Designing Safer Chemicals
Design for Energy Efficiency
Learn more about the Principles of Green Chemistry.

enhanced validation

recombinant expression
Learn more about Antibody Enhanced Validation

sustainability

Greener Alternative Product

technique(s)

immunocytochemistry: 1:100-1:150, immunohistochemistry (formalin-fixed, paraffin-embedded sections): 1:100-1:250, western blot: suitable using 1:1,000

UniProt accession no.

greener alternative category

shipped in

ambient

storage temp.

2-8°C

target post-translational modification

unmodified

Quality Level

Gene Information

human ... STAT3;APRF(6774)

General description

Signal transducer and activator of transcription 3 (UniProt: P40763; also known as Stat3, Acute-phase response factor) is encoded by the STAT3 (also known as APRF) gene (Gene ID: 6774) in human. STAT3 is expressed in most cell types and is activated by multiple cytokines and growth factors. It is a latent cytoplasmic transcription factor that has a dual function of signal transduction and activation of transcription. It mediates cellular responses to interleukins and growth factors. STAT3 shuttles between the nucleus and the cytoplasm. STAT3 is activated by phosphorylation at Tyrosine 705, which induces dimerization, nuclear translocation and DNA binding. A motif comprising of amino acids 150-162 is essential for its nuclear import. In the nucleus it recruits coactivators, such as NCOA1 or MED1, to the promoter region of the target genes. It binds to DNA as either a homodimer or as a heterodimer with STAT1. Constitutively activated STAT3 is reported in a number of human cancers. STAT3 regulates inflammatory response by regulating differentiation of naive CD4+ T-cells into T-helper Th17 or regulatory T-cells. STAT3 may also play an apoptotic role by transactivating BIRC5 expression under LEP activation. Ad cytoplasmic STAT3 is shown to repress macroautophagy by inhibiting EIF2AK2/PKR activity. This ZooMAb recombinant monoclonal antibody, generated by our propriety technology, offers significantly enhanced specificity, affinity, reproducibility, and stability over conventional monoclonals.
We are committed to bringing you greener alternative products, which adhere to one or more of The 12 Principles of Green Chemistry.This antibody is Preservative-free, produced without the harm or sacrifice of animals and exceptionally stable to allow for ambient shipping and storage if needed and thus aligns with "Waste Prevention", "Designing Safer Chemicals" and "Design for Energy Efficiency". Click here for more information.
ZooMAb antibodies represent an entirely new generation of recombinant monoclonal antibodies.

Each ZooMAb antibody is manufactured using our proprietary recombinant expression system, purified to homogeneity, and precisely dispensed to produce robust and highly reproducible lot-to-lot consistency. Only top-performing clones are released for use by researchers. Each antibody is validated for high specificity and affinity across multiple applications, including its most commonly used application. ZooMAb antibodies are reliably available and ready to ship when you need them.

Learn more about ZooMAb here.

Immunogen

KLH-conjugated linear peptide corresponding to 11 amino acids from the C-terminal region of human Signal transducer and activator of transcription 3 (Stat3).

Application

Anti-Stat3, clone 4N11 ZooMAb, Cat. No. ZRB1004, is a recombinant Rabbit Monoclonal Antibody that detects Stat3 and has been tested for use in Immunocytochemistry, Immunohistochemistry (Paraffin), and Western Blotting.
Western Blotting Analysis: A 1:1,000 dilution from a representative lot detected Stat3 in SK-N-MC and NIH3T3 cell lysate.

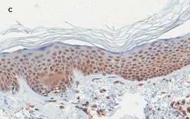
Immunohistochemistry (Paraffin) Analysis: A 1:250 dilution from a representative lot detected Stat3 in human colon, human liver and human skin tissue sections.

Immunocytochemistry Analysis: A 1:150 dilution from a representative lot detected Stat3 in HUVEC, HeLa, A431, and NIH 3T3 cells.

Biochem/physiol Actions

Clone 4N11 is a ZooMAb rabbit recombinant monoclonal antibody that specifically detects Stat3. It targets an epitope with in 11 amino acids from the C-terminal region.

Physical form

Purified recombinant rabbit monoclonal antibody IgG, lyophilized in PBS with 5% Trehalose, normal appearance a coarse or translucent resin. Contains no biocide or preservatives, such as azide, or any animal by-products. Larger pack sizes provided as multiples of 25 μL.

Preparation Note

Recommend storage of lyophilized product at 2-8°C; Before reconstitution, micro-centrifuge vials briefly to spin down material to bottom of the vial; Reconstitute each vial by adding 25 μL of filtered lab grade water or PBS; Reconstituted antibodies can be stored at 2-8°C, or -20°C for long term storage. Avoid repeated freeze-thaws.
Reconstitute lyophilized antibody pellet with 25μL of ultrapure water or Phosphate Buffered Saline (PBS). Please refer to our reconstitution protocol and the specific application guidance on the suggested starting dilutions and sample type.

Legal Information

ZooMAb is a registered trademark of Merck KGaA, Darmstadt, Germany

Disclaimer

Unless otherwise stated in our catalog or other company documentation accompanying the product(s), our products are intended for research use only and are not to be used for any other purpose, which includes but is not limited to, unauthorized commercial uses, in vitro diagnostic uses, ex vivo or in vivo therapeutic uses or any type of consumption or application to humans or animals.

Not finding the right product?  

Try our Product Selector Tool.

Storage Class

11 - Combustible Solids

wgk

WGK 1

flash_point_f

Not applicable

flash_point_c

Not applicable

Regulatory Information

常规特殊物品
This item has

Choose from one of the most recent versions:

Certificates of Analysis (COA)

Lot/Batch Number

Don't see the Right Version?

If you require a particular version, you can look up a specific certificate by the Lot or Batch number.

Already Own This Product?

Find documentation for the products that you have recently purchased in the Document Library.

Visit the Document Library

Javad Firouzi et al.
BioImpacts : BI, 12(5), 415-429 (2022-11-17)
Introduction: Malignant breast cancer (BC) frequently contains a rare population of cells called cancer stem cells which underlie tumor relapse and metastasis, and targeting these cells may improve treatment options and outcomes for patients with BC. The aim of
Qianqian Chen et al.
Cell death & disease, 12(5), 417-417 (2021-04-24)
Leukemia inhibitory factor (LIF) is a pleiotropic cytokine that stimulates neuronal development and survival. Our previous study has demonstrated that LIF mRNA is dysregulated in the peripheral nerve segments after nerve injury. Here, we show that LIF protein is abundantly

Our team of scientists has experience in all areas of research including Life Science, Material Science, Chemical Synthesis, Chromatography, Analytical and many others.

Contact Technical Service