跳转至内容
Merck
CN

ABN458

抗胆碱转运体抗体

from rabbit, purified by affinity chromatography

别名:

High affinity choline transporter 1, Hemicholinium-3-sensitive choline transporter, CHT, Solute carrier family 5 member 7

登录 查看组织和合同定价。

选择尺寸


关于此项目

UNSPSC Code:
12352203
NACRES:
NA.41
eCl@ss:
32160702
Conjugate:
unconjugated
Clone:
polyclonal
Application:
IHC, WB
Citations:
7
技术服务
需要帮助?我们经验丰富的科学家团队随时乐意为您服务。
让我们为您提供帮助
技术服务
需要帮助?我们经验丰富的科学家团队随时乐意为您服务。
让我们为您提供帮助

biological source

rabbit

conjugate

unconjugated

antibody form

affinity isolated antibody

antibody product type

primary antibodies

clone

polyclonal

purified by

affinity chromatography

species reactivity

human, rat, mouse

technique(s)

immunohistochemistry: suitable (paraffin), western blot: suitable

NCBI accession no.

UniProt accession no.

shipped in

wet ice

target post-translational modification

unmodified

Quality Level

Gene Information

human ... SLC5A7(60482)

General description

蛋白称为胆碱转运体或半胆碱3敏感胆碱转运体(CHT),由基因SLC5A7/CHT1编码,是神经元中的高亲和胆碱转运体。 胆碱是乙酰胆碱合成中的速率限制步骤,一种重要的神经递质。乙酰胆碱是中枢和外周神经系统的神经递质,可调节多种自主,认知和运动功能。 胆碱转运体定位于细胞膜,并在胆碱能神经元中表达,特别是在核壳,脊髓和髓质中。胆碱转运体的缺陷可能与称为声带麻痹的远端型脊髓性肌萎缩综合征有关。胆碱转运体蛋白是一种钠离子和氯离子依赖性转运蛋白,可被纳摩尔浓度的化合物半胆碱3(一种通常用于消耗乙酰胆碱储存的化合物)抑制。
观察值〜70-75 kDa。Uniprot指出MW为~63kDa,但列出了一个糖基化位点,该位点使总MW增加了~5kDa。

Immunogen

GST标记的重组蛋白,对应于人胆碱转运体的C末端。

Application

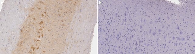
免疫组化分析:代表性批次的1:500稀释液在大鼠脊髓和人大脑皮质组织中检测到胆碱转运体。
抗胆碱转运体抗体是一种高度特异性的兔多克隆抗体,其靶向胆碱转运体&已在蛋白质印迹&IHC(石蜡)中进行了测试。

Analysis Note

通过蛋白质印迹对大鼠脊髓组织裂解物进行了评估。

蛋白质印迹分析:0.5 µg/mL该抗体在10 µg大鼠脊髓组织裂解物中检测到胆碱转运体。

Other Notes

替代品:AB5960;AB5966
浓度:请参考批次特异性浓缩物的分析证书。

未找到合适的产品?  

试试我们的产品选型工具.

存储类别

12 - Non Combustible Liquids

wgk

WGK 1

flash_point_f

Not applicable

flash_point_c

Not applicable


分析证书(COA)

输入产品批号来搜索 分析证书(COA) 。批号可以在产品标签上"批“ (Lot或Batch)字后找到。

已有该产品?

在文件库中查找您最近购买产品的文档。

访问文档库

Ajeesh Koshy Cherian et al.
Neurochemistry international, 108, 410-416 (2017-06-05)
The synaptic uptake of choline via the high-affinity, hemicholinium-3-dependent choline transporter (CHT) strongly influences the capacity of cholinergic neurons to sustain acetylcholine (ACh) synthesis and release. To advance research on the impact of CHT capacity in humans, we established the
Ajeesh Koshy Cherian et al.
The Journal of neuroscience : the official journal of the Society for Neuroscience, 37(11), 2947-2959 (2017-02-15)
Some rats [sign-trackers (STs)] are prone to attribute incentive salience to reward cues, which can manifest as a propensity to approach and contact pavlovian cues, and for addiction-like behavior. STs also exhibit poor attentional performance, relative to goal-trackers (GTs), which
Eryn Donovan et al.
The Journal of neuroscience : the official journal of the Society for Neuroscience, 42(16), 3426-3444 (2022-03-03)
Transport of choline via the neuronal high-affinity choline transporter (CHT; SLC5A7) is essential for cholinergic terminals to synthesize and release acetylcholine (ACh). In humans, we previously demonstrated an association between a common CHT coding substitution (rs1013940; Ile89Val) and reduced attentional
Maximilian I Pinkham et al.
American journal of physiology. Regulatory, integrative and comparative physiology, 312(3), R368-R379 (2017-01-06)
Heart failure is characterized by the loss of sympathetic innervation to the ventricles, contributing to impaired cardiac function and arrhythmogenesis. We hypothesized that renal denervation (RDx) would reverse this loss. Male Wistar rats underwent myocardial infarction (MI) or sham surgery
Yoshiko Murakata et al.
Frontiers in cardiovascular medicine, 9, 1075358-1075358 (2023-02-07)
There is growing evidence indicating a close relationship between inflammation and atrial fibrillation (AF). Although underlying inflammatory atrial cardiomyopathy may contribute to the development of AF, the arrhythmogenic remodeling caused by atrial inflammation has not been elucidated in detail. Herein

我们的科学家团队拥有各种研究领域经验,包括生命科学、材料科学、化学合成、色谱、分析及许多其他领域.

联系客户支持