biological source
rabbit
conjugate
unconjugated
antibody form
affinity isolated antibody
antibody product type
primary antibodies
clone
polyclonal
product line
Prestige Antibodies® Powered by Atlas Antibodies
form
buffered aqueous glycerol solution
species reactivity
human
technique(s)
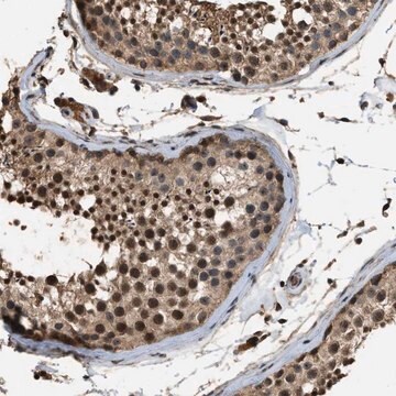
immunohistochemistry: 1:200- 1:500
immunogen sequence
HILRVGEPKMSGDLPKQVKLKKPSRLKTLDTKPGLYTAYTAHLHRDKALLKRLLKGVQKKRPSDVQSALLRRHLLELTQ
shipped in
wet ice
storage temp.
−20°C
target post-translational modification
unmodified
Quality Level
Gene Information
human ... FAM116B(414918)
正在寻找类似产品? 访问 产品对比指南
General description
The gene FAM116B (DENN domain-containing protein 6B) is mapped to human chromosome 22q13.33. It belongs to DENND6 family. The protein contains DENN domains.
Immunogen
Protein FAM116B recombinant protein epitope signature tag (PrEST)
Application
All Prestige Antibodies Powered by Atlas Antibodies are developed and validated by the Human Protein Atlas (HPA) project and as a result, are supported by the most extensive characterization in the industry.
The Human Protein Atlas project can be subdivided into three efforts: Human Tissue Atlas, Cancer Atlas, and Human Cell Atlas. The antibodies that have been generated in support of the Tissue and Cancer Atlas projects have been tested by immunohistochemistry against hundreds of normal and disease tissues and through the recent efforts of the Human Cell Atlas project, many have been characterized by immunofluorescence to map the human proteome not only at the tissue level but now at the subcellular level. These images and the collection of this vast data set can be viewed on the Human Protein Atlas (HPA) site by clicking on the Image Gallery link. We also provide Prestige Antibodies® protocols and other useful information.
The Human Protein Atlas project can be subdivided into three efforts: Human Tissue Atlas, Cancer Atlas, and Human Cell Atlas. The antibodies that have been generated in support of the Tissue and Cancer Atlas projects have been tested by immunohistochemistry against hundreds of normal and disease tissues and through the recent efforts of the Human Cell Atlas project, many have been characterized by immunofluorescence to map the human proteome not only at the tissue level but now at the subcellular level. These images and the collection of this vast data set can be viewed on the Human Protein Atlas (HPA) site by clicking on the Image Gallery link. We also provide Prestige Antibodies® protocols and other useful information.
Biochem/physiol Actions
FAM116 (DENN domain-containing protein 6) functions as physiological guanine nucleotide exchange factor for Rab14 GTPase. FAM116B shows activity towards Rab14 as well as Rab35.
Features and Benefits
Prestige Antibodies® are highly characterized and extensively validated antibodies with the added benefit of all available characterization data for each target being accessible via the Human Protein Atlas portal linked just below the product name at the top of this page. The uniqueness and low cross-reactivity of the Prestige Antibodies® to other proteins are due to a thorough selection of antigen regions, affinity purification, and stringent selection. Prestige antigen controls are available for every corresponding Prestige Antibody and can be found in the linkage section.
Every Prestige Antibody is tested in the following ways:
Every Prestige Antibody is tested in the following ways:
- IHC tissue array of 44 normal human tissues and 20 of the most common cancer type tissues.
- Protein array of 364 human recombinant protein fragments.
Physical form
Solution in phosphate-buffered saline, pH 7.2, containing 40% glycerol and 0.02% sodium azide
Other Notes
Corresponding Antigen APREST74583
Legal Information
Prestige Antibodies is a registered trademark of Merck KGaA, Darmstadt, Germany
未找到合适的产品?
试试我们的产品选型工具.
存储类别
10 - Combustible liquids
wgk
WGK 1
flash_point_f
Not applicable
flash_point_c
Not applicable
法规信息
新产品
此项目有
Andrea L Marat et al.
The Journal of biological chemistry, 286(16), 13791-13800 (2011-02-19)
The DENN domain is a common, evolutionarily ancient, and conserved protein module, yet it has gone largely unstudied; until recently, little was known regarding its functional roles. New studies reveal that various DENN domains interact directly with members of the
Andrea Linford et al.
Developmental cell, 22(5), 952-966 (2012-05-19)
Rab GTPases define the vesicle trafficking pathways underpinning cell polarization and migration. Here, we find that Rab4, Rab11, and Rab14 and the candidate Rab GDP-GTP exchange factors (GEFs) FAM116A and AVL9 are required for cell migration. Rab14 and its GEF
Kyung Im Kim et al.
Basic & clinical pharmacology & toxicology, 111(5), 317-324 (2012-06-08)
Copy number variation (CNV) has been reported to be associated with chemotherapy response, which affects disease prognosis. Here, we determined the frequency of genome-wide cytogenetic CNV aberrations in Korean patients with normal karyotype (NK) acute myeloid leukaemia (AML) and tested
我们的科学家团队拥有各种研究领域经验,包括生命科学、材料科学、化学合成、色谱、分析及许多其他领域.
联系客户支持