跳转至内容
Merck
CN

SAB2702243

单克隆抗 5-甲基胞嘧啶/5-mC 小鼠抗

clone GT4111, affinity isolated antibody

登录 查看组织和合同定价。

选择尺寸


关于此项目

NACRES:
NA.41
UNSPSC Code:
12352203
Conjugate:
unconjugated
Clone:
GT4111, monoclonal
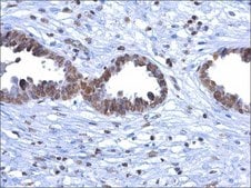
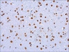
Application:
dot blot
immunohistochemistry
methylated DNA immunoprecipitation (MeDIP)
Technique(s):
dot blot: suitable
immunohistochemistry: suitable
methylated DNA immunoprecipitation (MeDIP): suitable
Citations:
6
技术服务
需要帮助?我们经验丰富的科学家团队随时乐意为您服务。
让我们为您提供帮助
技术服务
需要帮助?我们经验丰富的科学家团队随时乐意为您服务。
让我们为您提供帮助

产品名称

单克隆抗 5-甲基胞嘧啶/5-mC 小鼠抗, clone GT4111, affinity isolated antibody

biological source

mouse

conjugate

unconjugated

antibody form

affinity isolated antibody

antibody product type

primary antibodies

clone

GT4111, monoclonal

form

buffered aqueous solution

concentration

1mg/mL

technique(s)

dot blot: suitable
immunohistochemistry: suitable
methylated DNA immunoprecipitation (MeDIP): suitable

isotype

IgG1

shipped in

wet ice

storage temp.

−20°C

target post-translational modification

unmodified

Quality Level

Application

建议的起始稀释度如下:Dot:检测依赖性稀释,EM:测定依赖性稀释,IHC-P:1:100-1:1000,IHC-Wm:1:50-1:500,MeDIP:测定依赖性稀释。尚未在其他应用中进行测试。最佳工作稀释液应由终端用户通过实验确定。

Disclaimer

除非我们的产品目录或产品附带的其他公司文档另有说明,否则我们的产品仅供研究使用,不得用于任何其他目的,包括但不限于未经授权的商业用途、体外诊断用途、离体或体内治疗用途或任何类型的消费或应用于人类或动物。

Features and Benefits

完全放心地试用我们的抗体。如果抗体在您的申请的研究中不起作用,我们将全额退款或安排替代抗体。了解更多。

Immunogen

用于生成该抗体的免疫原对应 5-甲基胞嘧啶/5-mC。

Other Notes

纯化:由蛋白G亲和纯化

Physical form

磷酸盐缓冲液,未加保护剂。

未找到合适的产品?  

试试我们的产品选型工具.

存储类别

12 - Non Combustible Liquids

wgk

WGK 2

flash_point_f

Not applicable

flash_point_c

Not applicable

法规信息

常规特殊物品
此项目有

历史批次信息供参考:

分析证书(COA)

Lot/Batch Number

没有发现合适的版本?

如果您需要特殊版本,可通过批号或批次号查找具体证书。

已有该产品?

在文件库中查找您最近购买产品的文档。

访问文档库

Sunwang Xu et al.
Advanced science (Weinheim, Baden-Wurttemberg, Germany), 11(16), e2308531-e2308531 (2024-02-21)
Gallbladder cancer (GBC) is an extremely lethal malignancy with aggressive behaviors, including liver or distant metastasis; however, the underlying mechanisms driving the metastasis of GBC remain poorly understood. In this study, it is found that DNA methyltransferase DNMT3A is highly
Gerhard P Aigner et al.
Toxics, 10(2) (2022-02-25)
Earthworms are well-established model organisms for testing the effects of heavy metal pollution. How DNA methylation affects cadmium (Cd) detoxification processes such as the expression of metallothionein 2 (MT2), however, is largely unknown. We therefore exposed Lumbricus terrestris to 200
Cen Jiang et al.
Cell death discovery, 8(1), 46-46 (2022-02-04)
The morbidity of papillary thyroid cancer (PTC) is on the rise, but its pathogenesis is still poorly understood. NR4A1 is a transcription factor primarily involving a wide range of pathophysiological responses, but its relationship with PTC malignancy remains unclear. This
Manthan Patel et al.
BMC genetics, 21(1), 84-84 (2020-07-31)
The human CGGBP1 binds to GC-rich regions and interspersed repeats, maintains homeostasis of stochastic cytosine methylation and determines DNA-binding of CTCF. Interdependence between regulation of cytosine methylation and CTCF occupancy by CGGBP1 remains unknown. By analyzing methylated DNA-sequencing data obtained
Sunwang Xu et al.
Journal of experimental & clinical cancer research : CR, 40(1), 373-373 (2021-11-27)
Gallbladder cancer (GBC) is known for its high malignancy and multidrug resistance. Previously, we uncovered that impaired integrity and stability of the elongator complex leads to GBC chemotherapy resistance, but whether its restoration can be an efficient therapeutic strategy for

我们的科学家团队拥有各种研究领域经验,包括生命科学、材料科学、化学合成、色谱、分析及许多其他领域.

联系客户支持