跳转至内容
Merck
CN

SAB4200398

Anti-TFRC antibody produced in rabbit

~1.0 mg/mL, affinity isolated antibody

别名:

Anti-CD71, Anti-TFR, Anti-TFR1, Anti-TR, Anti-TRFR, Anti-Transferrin receptor (p90, CD71), Anti-Transferrin receptor protein 1, Anti-p90, AntiT9

登录 查看组织和合同定价。

选择尺寸


关于此项目

NACRES:
NA.41
UNSPSC Code:
12352203
Conjugate:
unconjugated
Clone:
polyclonal
Application:
IF, WB
Citations:
10
技术服务
需要帮助?我们经验丰富的科学家团队随时乐意为您服务。
让我们为您提供帮助
技术服务
需要帮助?我们经验丰富的科学家团队随时乐意为您服务。
让我们为您提供帮助

biological source

rabbit

conjugate

unconjugated

antibody form

affinity isolated antibody

antibody product type

primary antibodies

clone

polyclonal

form

buffered aqueous solution

mol wt

antigen ~90 kDa

species reactivity

mouse, rat, human

concentration

~1.0 mg/mL

technique(s)

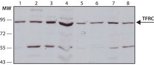
indirect immunofluorescence: 10-20 μg/mL using rat NRK cells, western blot: 2.5-5.0 μg/mL using whole extracts of human U-2-OS and mouse Neuro-2a cells

UniProt accession no.

shipped in

dry ice

storage temp.

−20°C

target post-translational modification

unmodified

Quality Level

Gene Information

human ... TFRC(7037)
mouse ... Tfrc(22042)
rat ... Tfrc(64678)

正在寻找类似产品? 访问 产品对比指南

General description

Transferrin receptor (TFRC), also known as p90, CD71, TFR and TFR1, is a transmembrane glycoprotein. It is composed of two disulphide-bonded sub-units, contains three N-linked glycan units and is post-translationally modified with phosphate and fatty acyl groups.

Immunogen

synthetic peptide corresponding to an internal sequence of human TFRC, conjugated to KLH

Application

Anti-TFRC antibody produced in rabbit has been used in immunoblotting and immunofluorescence.

Biochem/physiol Actions

Transferrin receptor (TFRC) mediates cellular iron uptake. It binds iron bound transferrin on the cell surface, and the receptor ligand complex undergoes endocytosis via clathrin coated pits. Endosomal acidification leads to iron release, which is transported to the cytosol or to the mitochondria in erythroid cells. The apotransferrin receptor complex is then recycled to the cell surface, where the affinity of apotransferrin for TFRC drops, resulting in its dissociation. TFRC is necessary for development of erythrocytes and the nervous system.

Physical form

solution in 0.01 M phos­phate buffered saline, pH 7.4, containing 15 mM sodium azide

Disclaimer

Unless otherwise stated in our catalog or other company documentation accompanying the product(s), our products are intended for research use only and are not to be used for any other purpose, which includes but is not limited to, unauthorized commercial uses, in vitro diagnostic uses, ex vivo or in vivo therapeutic uses or any type of consumption or application to humans or animals.

未找到合适的产品?  

试试我们的产品选型工具.

存储类别

10 - Combustible liquids

flash_point_f

Not applicable

flash_point_c

Not applicable

法规信息

常规特殊物品
低风险生物材料
此项目有

历史批次信息供参考:

分析证书(COA)

Lot/Batch Number

没有发现合适的版本?

如果您需要特殊版本,可通过批号或批次号查找具体证书。

已有该产品?

在文件库中查找您最近购买产品的文档。

访问文档库

Patrizia Sarogni et al.
Advanced biology, 7(10), e2200229-e2200229 (2023-03-03)
Pancreatic cancer has a poor prognosis due to its aggressive nature and ability to metastasize at an early stage. Currently, its management is still a challenge because this neoplasm is resistant to conventional treatment approaches, among which is chemo-radiotherapy (CRT), due
1.6 Mb deletion in chromosome band 3q29 associated with eye abnormalities
Tyshchenko N, et al.
European Journal of Medical Genetics, 52(2-3), 128-130 (2009)
Transferrin receptor gene and protein expression and localization in human IUGR and normal term placentas
Mando C, et al.
Placenta, 32(1), 44-50 (2011)
Regulation of cellular iron metabolism
Wang J and Pantopoulos K
The Biochemical Journal, 434(3), 365-381 (2011)
Yidan Liang et al.
Brain research bulletin, 207, 110878-110878 (2024-01-14)
Cerebrovascular dysfunction resulting from traumatic brain injury (TBI) significantly contributes to poor patient outcomes. Recent studies revealed the involvement of iron metabolism in neuronal survival, yet its effect on vasculature remains unclear. This study aims to explore the impact of

相关内容

我们的科学家团队拥有各种研究领域经验,包括生命科学、材料科学、化学合成、色谱、分析及许多其他领域.

联系客户支持