跳转至内容
Merck
CN

ZMS1034

Anti-Integrin beta 1 Antibody, clone HUTS-4 ZooMAb® Mouse Monoclonal

greener alternative

recombinant, expressed in HEK 293 cells

别名:

CD29, Fibronectin receptor subunit beta, GPIIA, Glycoprotein IIa, VLA-4 subunit beta

登录 查看组织和合同定价。

选择尺寸

变更视图

关于此项目

NACRES:
NA.41
UNSPSC Code:
12352203
Conjugate:
unconjugated
Clone:
HUTS-4, recombinant monoclonal, monoclonal
Application:
FACS, IF, IHC, WB
Citations:
-
技术服务
需要帮助?我们经验丰富的科学家团队随时乐意为您服务。
让我们为您提供帮助


biological source

mouse

Quality Level

recombinant

expressed in HEK 293 cells

conjugate

unconjugated

antibody form

purified antibody

antibody product type

primary antibodies

clone

HUTS-4, recombinant monoclonal, monoclonal

product line

ZooMAb® learn more

form

lyophilized

mol wt

calculated mol wt 88.42 kDa, observed mol wt ~110 kDa

species reactivity

human

species reactivity (predicted by homology)

rat

packaging

antibody small pack of 25 μL

greener alternative product characteristics

Waste Prevention
Designing Safer Chemicals
Design for Energy Efficiency
Learn more about the Principles of Green Chemistry.

enhanced validation

recombinant expression
Learn more about Antibody Enhanced Validation

sustainability

Greener Alternative Product

technique(s)

flow cytometry: suitable, immunofluorescence: suitable, immunohistochemistry: suitable, western blot: suitable

isotype

IgG2b

UniProt accession no.

greener alternative category

shipped in

ambient

storage temp.

2-8°C

target post-translational modification

unmodified

Gene Information

human ... ITGB1(3688)
rat ... Itgb1(24511)

General description

Integrin b1 (UniProt: P05556; also known as Fibronectin receptor subunit beta, Glycoprotein IIa, GPIIA, VLA-4 subunit beta, CD29) is encoded by the ITGB1 (also known as FNRB, MDF2, MSK12) gene (Gene ID: 3688) in human. Integrins are heterodimeric integral membrane proteins composed of a variable alpha subunit and a conserved beta subunit that function in cell surface adhesion and signaling. They contain a large extracellular domain responsible for ligand binding, a single transmembrane domain, and a cytoplasmic domain. The exact combination of various alpha- and beta-subunits dictates the binding specificity of integrins to different ECM components. Although both subunits are required for adhesion, the binding specificity primarily depends on the extracellular portion of the alpha-subunit. Integrin b1 is a single-pass type I membrane protein that associates with one of the alpha subunits to form receptor for fibronectin. Integrin beta-1 integrin recognizes the sequence R-G-D in a wide array of ligands. Five isoforms of Integrin b1 have been reported that are produced by alternative splicing. Integrin b1 is synthesized with a signal peptide (aa 1-20) that is subsequently cleaved off. The mature form has an extracellular domain (aa 21-728), a helical domain (aa 729-751) and a cytoplasmic region (aa 752-798). Isoform 1 of integrin beta-1 is widely expressed and other isoforms are generally co-expressed with a more restricted distribution. Isoform 2 is expressed in skin, liver, skeletal muscle, cardiac muscle, placenta, umbilical vein endothelial cells, neuroblastoma cells, lymphoma cells, hepatoma cells and astrocytoma cells. Isoform 3 and isoform 4 are expressed in muscle, kidney, liver, placenta, cervical epithelium, umbilical vein endothelial cells, fibroblast cells, embryonal kidney cells, platelets and several blood cell lines. Isoform 4 is selectively expressed in peripheral T-cells and isoform 5 is expressed specifically in striated muscle (skeletal and cardiac muscle). Isoform 2 is reported to interfere with isoform 1 resulting in a dominant negative effect on cell adhesion and migration (in vitro). Clone HUTS-4 is reported to bind to the inner, alpha subunit proximal face of the hybrid domain and stabilize its open conformation. This ZooMAb recombinant monoclonal antibody, generated by our propriety technology, offers significantly enhanced specificity, affinity, reproducibility, and stability over conventional monoclonals. (Ref.: Su, Y., et al. (2016). Proc. Natl. Acad. Sci. USA. 113(27); E3872-E3881; Mould, AP., et al (2003). J. Biol. Chem. 278(19); 17028 17035).
We are committed to bringing you greener alternative products, which adhere to one or more of The 12 Principles of Green Chemistry.This antibody is Preservative-free, produced without the harm or sacrifice of animals and exceptionally stable to allow for ambient shipping and storage if needed and thus aligns with "Waste Prevention", "Designing Safer Chemicals" and "Design for Energy Efficiency". Click here for more information.
ZooMAb antibodies represent an entirely new generation of recombinant monoclonal antibodies.

Each ZooMAb antibody is manufactured using our proprietary recombinant expression system, purified to homogeneity, and precisely dispensed to produce robust and highly reproducible lot-to-lot consistency. Only top-performing clones are released for use by researchers. Each antibody is validated for high specificity and affinity across multiple applications, including its most commonly used application. ZooMAb antibodies are reliably available and ready to ship when you need them.

Learn more about ZooMAb here.

Immunogen

Human beta1 integrins purified from Triton X-100 lysates of human lung, liver, and skeletal muscle tissues.

Application

Anti-Integrin b1, clone HUTS-4 ZooMAb, Cat. No. ZMS1034, is a recombinant Mouse monoclonal antibody that specifically targets Integrin b1 and is tested for use in Flow Cytometry, Immunofluorescence, Immunohistochemistry, and Western Blotting.
Flow Cytometry Analysis: 0.1 μg from a representative lot detected Integrin b1 in one million A431 cells.

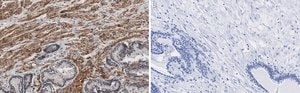
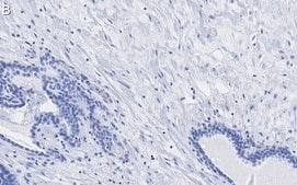
Immunohistochemistry (Paraffin) Analysis: A 1:100 dilution from a representative lot detected Integrin b1 in human prostate and human kidney tissue sections.

Immunofluorescence Analysis: A 1:100 dilution from a representative lot detected Integrin b1 in human kidney tissue sections.

Note: Actual optimal working dilutions must be determined by end user as specimens, and experimental conditions may vary with the end user

Biochem/physiol Actions

Clone HUTS-4 is a ZooMAb mouse recombinant monoclonal antibody that specifically detect Integrin beta 1. It targets an epitope within a 71 amino acid, hybrid domain close to an interface with the alpha subunit.

Physical form

Purified recombinant mouse monoclonal antibody IgG, lyophilized in PBS with 5% Trehalose, normal appearance a coarse or translucent resin. Contains no biocide or preservatives, such as azide, or any animal by-products. Larger pack sizes provided as multiples of 25 μL.

Preparation Note

Recommend storage of lyophilized product at 2-8°C; Before reconstitution, micro-centrifuge vials briefly to spin down material to bottom of the vial; Reconstitute each vial by adding 25 μL of filtered lab grade water or PBS; Reconstituted antibodies can be stored at 2-8°C, or -20°C for long term storage. Avoid repeated freeze-thaws.
Reconstitute lyophilized antibody pellet with 25μL of ultrapure water or Phosphate Buffered Saline (PBS). Please refer to our reconstitution protocol and the specific application guidance on the suggested starting dilutions and sample type.

Legal Information

ZooMAb is a registered trademark of Merck KGaA, Darmstadt, Germany

Disclaimer

Unless otherwise stated in our catalog or other company documentation accompanying the product(s), our products are intended for research use only and are not to be used for any other purpose, which includes but is not limited to, unauthorized commercial uses, in vitro diagnostic uses, ex vivo or in vivo therapeutic uses or any type of consumption or application to humans or animals.


Still not finding the right product?

试用我们的 产品选型工具 工具缩小选择范围


存储类别

11 - Combustible Solids

wgk

WGK 1

flash_point_f

Not applicable

flash_point_c

Not applicable

法规信息

常规特殊物品

此项目有



历史批次信息供参考:

分析证书(COA)

Lot/Batch Number

没有发现合适的版本?

如果您需要特殊版本,可通过批号或批次号查找具体证书。

已有该产品?

在文件库中查找您最近购买产品的文档。

访问文档库


商品

Learn about the hallmarks of cancer and find reliable ZooMAb® recombinant antibodies to study them, conveniently organized by cancer hallmark.





全球贸易项目编号

货号GTIN
ZMS1034-25UL04061842310838
ZMS1034-4X25UL04061842310845