ZooMAb®抗体_抗体_重组单克隆抗体-蛋白生物学_默克生命科学

由于能够无需使用动物模型即可设计出用于生物检测的理想分子,重组抗体被视为生命科学领域的新标准。 重组技术的普遍优势包括:能够制备具有高特异性和亲和力的抗体,确保实验结果的可重复性,并可根据您的目标抗原进行定制。我们的ZooMAb®重组抗体平台代表了新一代重组单克隆抗体,不仅提供卓越的技术品质,还具备更环保的替代方案,包括可持续性等额外优势。
每种 ZooMAb® 抗体均采用我们专有的重组表达系统生产,经纯化至均质状态,并经过精确分装,以确保产品性能稳定且批次间具有高度可重复性。 每种抗体均经过验证,可在多种应用中可靠地发挥作用,包括蛋白质印迹(Western blotting)、免疫细胞化学(ICC)、免疫荧光(IF)、免疫组织化学(IHC)、流式细胞术和酶联免疫吸附试验(ELISA),并针对其最常用的应用进行了推荐。如需进一步了解 ZooMAb® 重组抗体的研究应用,请访问我们的 ZooMAb® 技术资源页面。
Products

兔单克隆抗体的卓越品质
我们首批 ZooMAb® 抗体均源自兔源,能够针对小鼠中难以制备的免疫原(包括小分子(<600 kDa 的化合物)、肽以及针对翻译后修饰位点(PTM)的特异性抗体)产生多种理想的抗体。 兔抗体能够以皮摩尔级浓度特异性识别单个抗原上的多种表位,因此在标准检测和染色应用中往往能提供卓越的性能。如需了解常见问题的更多信息,请访问我们的 ZooMAb® 抗体常见问题解答资源页面。
屡获殊荣的创新
ZooMAb®重组单克隆抗体平台荣获了引文与市场数据领域领先的生命科学数据提供商CiteAb颁发的“2020年度创新产品”奖项。我们将不断突破界限,助您实现下一个重大发现,一瓶接一瓶。
- 请阅读 CiteAb 的颁奖公告,了解更多关于 ZooMAb® 抗体脱颖而出的原因。
- 请通过这篇 CiteAb 专访,进一步了解我们如何持续利用 ZooMAb® 抗体进行创新。

不含防腐剂
每种 ZooMAb® 抗体均不含叠氮化钠等杀菌剂或牛血清白蛋白(BSA)等动物源性防腐剂,仅以含海藻糖的磷酸盐缓冲盐水(PBS)作为终末缓冲液。 使用 ZooMAb® 抗体可最大限度地减少因潜在有害物质或当地安全限制而引发的并发症,并使其适用于体内和体外应用。
无动物成分
每种 ZooMAb® 抗体均在无伤害或牺牲动物的情况下生产。专有的重组表达系统省去了繁琐的细胞融合和杂交瘤构建过程,同时相比单克隆抗体具有更高的特异性、亲和力和可重复性。
多种包装规格满足您的特定需求
每种 ZooMAb® 抗体均预分装为 25 µL 冻干等效剂量,以最大限度延长产品保质期。因此,您只需购买所需数量,并仅将用于研究的份量复溶即可。
每项应用均保持一致性
ZooMAb® 抗体均采用重组技术生产、纯化并预分装。每种抗体均经过我们实验室测试,确保在至少 3 种应用中有效,并保证在 Western blotting、免疫荧光及其他常见应用中表现符合您的预期。
ZooMAb® 抗体验证
正确的抗体验证对于获得准确且可重复的结果至关重要,有助于避免不可靠的结果并减少研究工作量。为了确保其特异性和性能,大多数 ZooMAb® 抗体均经过至少三种应用场景的测试。这包括评估其结合特性,并在多种检测方法中评估其性能,这对确定其在不同实验条件下的稳定性能至关重要。
抗OCT4、克隆4N8 ZooMAb®兔单克隆抗体的验证数据。

小鼠胚胎干细胞裂解液的Western blot
分析

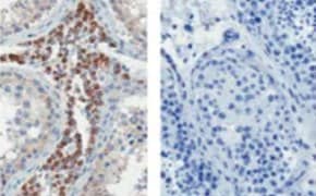
石蜡包埋人睾丸组织切片的免疫组化
染色

使用Alexa Fluor® 488染料对NTERA2细胞进行免疫荧光
分析

NTERA2细胞的流式细胞术
分析。灰度对照
ZooMAb® 重组抗体确保批次间的一致性
ZooMAb® 重组抗体通过将抗体基因克隆到表达载体中,再将载体导入表达宿主,从而实现无动物源性抗体的生产。该工艺避免了任何序列突变,确保了批次间的高一致性,并在多种应用中经过严格的质量测试。我们致力于帮助研究人员获得可靠、可重复的结果,甚至提供抗体质量保证。
对两批不同的抗FLT4、克隆2F4 ZooMAb®兔单克隆抗体进行免疫细胞化学分析。第1批(左)和第2批(右)抗体以1:100的稀释度在bEnd.3细胞系上进行检测。

请保持联系并分享您的反馈
请扫描印在每款 ZooMAb® 产品标签上的便捷二维码,了解 ZooMAb® 抗体产品组合中所有最新产品的最新信息,并分享您使用这些产品的体验。我们的 ZooMAb® 抗体在设计和测试过程中始终以您的需求为出发点,并享有我们的抗体质量保证。 我们通过“抗体保证”对产品质量负责:若抗体在应用中未能达到文档(包括网站产品列表、产品目录或数据表)中所述的性能,我们将提供全额退款或更换抗体产品。
没找到您需要的产品?
我们提供 ZooMAb® 抗体定制开发服务,可根据您的目标和应用需求定制抗体。请充分利用我们在免疫原设计与制备、抗体开发与筛选、应用特异性测试以及符合您目标规模的抗体生产方面的丰富专业知识。
仅限研究使用。不得用于诊断程序。
除非产品规格中另有说明,任何抗体产品仅供内部研究使用,不得用于任何其他用途,包括但不限于任何商业、诊断或治疗用途。我们的验证流程仅针对研究用途,并不确认或保证我们的抗体可用于本文件所述的任何未经授权的用途。
如要继续阅读,请登录或创建帐户。
暂无帐户?

