biological source
rabbit
Quality Level
recombinant
expressed in HEK 293 cells
conjugate
unconjugated
antibody form
purified antibody
clone
recombinant monoclonal
product line
ZooMAb® learn more
form
lyophilized
mol wt
calculated mol wt 105.31 kDa, observed mol wt ~110 kDa
species reactivity
rat, mouse, human
packaging
antibody small pack of 25 μL
greener alternative product characteristics
Waste Prevention
Designing Safer Chemicals
Design for Energy Efficiency
Learn more about the Principles of Green Chemistry.
enhanced validation
recombinant expression
Learn more about Antibody Enhanced Validation
sustainability
Greener Alternative Product
technique(s)
affinity binding assay: suitable, immunocytochemistry: suitable, immunohistochemistry (formalin-fixed, paraffin-embedded sections): suitable, western blot: suitable
isotype
IgG
UniProt accession no.
greener alternative category
, Aligned
shipped in
ambient
storage temp.
2-8°C
target post-translational modification
unmodified
General description
Catenin-a2 (UniProt: P26232; also known as Alpha N-catenin, Alpha-catenin-related protein) is encoded by the CTNNA2 (also known as CAPR) gene (Gene ID: 1496) in Human. Catenins are a large family of cell-cell adhesion molecules that are involved in development and in epithelial cell polarity. They are reported to associate with both E- and N-cadherins. The association of catenins to cadherins creates a complex that is linked to the actin filament network, and which seems to be of primary importance for cadherins cell-adhesion properties. Catenin- a2 is a peripheral membrane protein that is expressed in neural tissues. It is expressed in the developing cortical plate and marginal zone of 20-week-old human fetal brain. It functions as a linker between cadherin adhesion receptors and the cytoskeleton to regulate cell-cell adhesion and differentiation in the nervous system and is required for proper regulation of cortical neuronal migration and neurite growth. It is also reported to act as negative regulator of Arp2/3 complex activity and Arp2/3-mediated actin polymerization and hence suppresses excessive actin branching which would impair neurite growth and stability. This ZooMAb recombinant monoclonal antibody, generated by our propriety technology, offers significantly enhanced specificity, affinity, reproducibility, and stability over conventional monoclonals.
We are committed to bringing you greener alternative products, which adhere to one or more of The 12 Principles of Green Chemistry.This antibody is Preservative-free, produced without the harm or sacrifice of animals and exceptionally stable to allow for ambient shipping and storage if needed and thus aligns with "Waste Prevention", "Designing Safer Chemicals" and "Design for Energy Efficiency". Click here for more information.
ZooMAb antibodies represent an entirely new generation of recombinant monoclonal antibodies.
Each ZooMAb antibody is manufactured using our proprietary recombinant expression system, purified to homogeneity, and precisely dispensed to produce robust and highly reproducible lot-to-lot consistency. Only top-performing clones are released for use by researchers. Each antibody is validated for high specificity and affinity across multiple applications, including its most commonly used application. ZooMAb antibodies are reliably available and ready to ship when you need them.
Learn more about ZooMAb here.
Each ZooMAb antibody is manufactured using our proprietary recombinant expression system, purified to homogeneity, and precisely dispensed to produce robust and highly reproducible lot-to-lot consistency. Only top-performing clones are released for use by researchers. Each antibody is validated for high specificity and affinity across multiple applications, including its most commonly used application. ZooMAb antibodies are reliably available and ready to ship when you need them.
Learn more about ZooMAb here.
Immunogen
KLH-conjugated linear peptide corresponding to 16 amino acids from the C-terminal region of human Catenin-a2 .
Application
Quality Control Testing
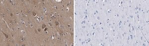
Western Blotting Analysis: A 1:1,000 dilution of this antibody detected Catenin-a2 in Neuro-2A cell lysate.Tested applicationsWestern Blotting Analysis: A 1:1,000 dilution from a representative lot detected Catenin-a2 in mouse and human brain lysates.Affinity Binding Assay: A representative lot of this antibody bound Catenin-a2 peptide with a KD of 2.8 x 10-7 in an affinity binding assay.Immunocytochemistry Analysis: A 1:100 dilution from a representative lot detected Catenin-a2 in HeLa cell line, HepG2 cell line, NIH 3T3 cell line and PC-12 cell line.Immunohistochemistry (Paraffin) Analysis: A 1:1,000 dilution from a representative lot detected Catenin- 2 in human cerebral cortex tissue sections.Note: Actual optimal working dilutions must be determined by end user as specimens, and experimental conditions may vary with the end user
Western Blotting Analysis: A 1:1,000 dilution of this antibody detected Catenin-a2 in Neuro-2A cell lysate.Tested applicationsWestern Blotting Analysis: A 1:1,000 dilution from a representative lot detected Catenin-a2 in mouse and human brain lysates.Affinity Binding Assay: A representative lot of this antibody bound Catenin-a2 peptide with a KD of 2.8 x 10-7 in an affinity binding assay.Immunocytochemistry Analysis: A 1:100 dilution from a representative lot detected Catenin-a2 in HeLa cell line, HepG2 cell line, NIH 3T3 cell line and PC-12 cell line.Immunohistochemistry (Paraffin) Analysis: A 1:1,000 dilution from a representative lot detected Catenin- 2 in human cerebral cortex tissue sections.Note: Actual optimal working dilutions must be determined by end user as specimens, and experimental conditions may vary with the end user
Anti-Catenin- a2, clone 3F7 ZooMAb, Cat. No. ZRB1108, is a recombinant Rabbit monoclonal antibody that targets Catenin-a2 and is tested for use in Affinity Binding Assay, Immunocytochemistry, Immunohistochemistry (Paraffin), and Western Blotting.
Biochem/physiol Actions
Clone 3F7 is a ZooMAb rabbit recombinant monoclonal antibody that specifically detects Catenin-a2. It targets an epitope within 16 amino acids from the C-terminal region.
Physical form
Purified recombinant rabbit monoclonal antibody IgG, lyophilized in PBS with 5% Trehalose, normal appearance a coarse or translucent resin. Contains no biocide or preservatives, such as azide, or any animal by-products. Larger pack sizes provided as multiples of 25 μL.
Preparation Note
Recommend storage of lyophilized product at 2-8°C; Before reconstitution, micro-centrifuge vials briefly to spin down material to bottom of the vial; Reconstitute each vial by adding 25 μL of filtered lab grade water or PBS; Reconstituted antibodies can be stored at 2-8°C, or -20°C for long term storage. Avoid repeated freeze-thaws.
Reconstitute lyophilized antibody pellet with 25μL of ultrapure water or Phosphate Buffered Saline (PBS). Please refer to our reconstitution protocol and the specific application guidance on the suggested starting dilutions and sample type.
Legal Information
ZooMAb is a registered trademark of Merck KGaA, Darmstadt, Germany
Disclaimer
Unless otherwise stated in our catalog or other company documentation accompanying the product(s), our products are intended for research use only and are not to be used for any other purpose, which includes but is not limited to, unauthorized commercial uses, in vitro diagnostic uses, ex vivo or in vivo therapeutic uses or any type of consumption or application to humans or animals.
存储类别
11 - Combustible Solids
wgk
WGK 1
flash_point_f
Not applicable
flash_point_c
Not applicable
法规信息
常规特殊物品
此项目有
全球贸易项目编号
| 货号 | GTIN |
|---|---|
| ZRB1108-25UL | 04061842646326 |
| ZRB1108-4X25UL | 04061842646333 |