ZRB1150
Anti-Androgen Receptor Antibody, clone 3K11 , ZooMAb® Rabbit Monoclonal

recombinant, expressed in HEK 293 cells
别名:
Dihydrotestosterone receptor, Nuclear receptor subfamily 3 group C member 4
生物来源
rabbit (recombinant)
质量水平
重组
expressed in HEK 293 cells
偶联物
unconjugated
抗体形式
purified antibody
抗体产品类型
primary antibodies
克隆
3K11, recombinant monoclonal
产品线
ZooMAb® learn more
表单
lyophilized
分子量
calculated mol wt 99.19 kDa
observed mol wt ~105 kDa
种属反应性
rhesus macaque, mouse, human
种属反应性(根据同源性预测)
canine, rat
包装
antibody small pack of 25 μL
环保替代产品特性
Waste Prevention
Designing Safer Chemicals
Design for Energy Efficiency
Learn more about the Principles of Green Chemistry.
增强验证
recombinant expression
Learn more about Antibody Enhanced Validation
sustainability
Greener Alternative Product
技术
immunocytochemistry: suitable
immunohistochemistry (formalin-fixed, paraffin-embedded sections): suitable
western blot: suitable
同位素/亚型
IgG
UniProt登记号
环保替代产品分类
, Aligned
运输
ambient
储存温度
2-8°C
靶向翻译后修饰
unmodified
基因信息
dog ... Ar(403588)
human ... AR(367)
mouse ... Ar(11835)
rat ... Ar(24208)
rhesus monkey ... Ar(574293)
一般描述
Each ZooMAb antibody is manufactured using our proprietary recombinant expression system, purified to homogeneity, and precisely dispensed to produce robust and highly reproducible lot-to-lot consistency. Only top-performing clones are released for use by researchers. Each antibody is validated for high specificity and affinity across multiple applications, including its most commonly used application. ZooMAb antibodies are reliably available and ready to ship when you need them.
Learn more about ZooMAb here.
免疫原
应用
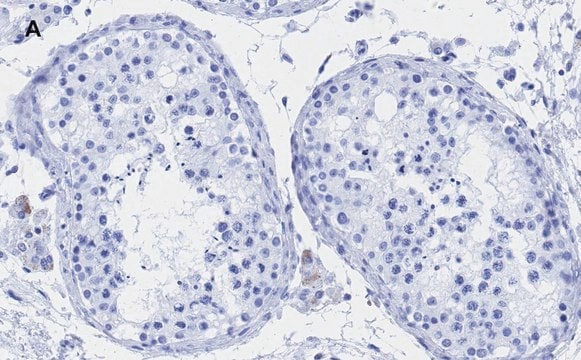
Immunohistochemistry (Paraffin) Analysis: A 1:100 dilution from a representative lot detected Androgen Receptor in human testis tissue sections.
Note: Actual optimal working dilutions must be determined by the end user as specimens and experimental conditions may vary.
生化/生理作用
外形
制备说明
法律信息
免责声明
未找到合适的产品?
试试我们的产品选型工具.
储存分类代码
11 - Combustible Solids
WGK
WGK 2
法规信息
我们的科学家团队拥有各种研究领域经验,包括生命科学、材料科学、化学合成、色谱、分析及许多其他领域.
联系客户支持