跳转至内容
Merck
CN

ZRB1194

Anti-KLF5 Antibody, clone 1J12 ZooMAb® Rabbit Monoclonal

greener alternative

recombinant, expressed in HEK 293 cells

登录 查看组织和合同定价。

选择尺寸

变更视图

关于此项目

NACRES:
NA.41
UNSPSC Code:
12352203
Conjugate:
unconjugated
Clone:
1J12, monoclonal, recombinant monoclonal
Application:
ICC, IHC (p), WB, affinity binding assay
Citations:
-
技术服务
需要帮助?我们经验丰富的科学家团队随时乐意为您服务。
让我们为您提供帮助


biological source

rabbit

Quality Level

recombinant

expressed in HEK 293 cells

conjugate

unconjugated

antibody form

purified antibody

antibody product type

primary antibodies

clone

1J12, monoclonal, recombinant monoclonal

product line

ZooMAb® learn more

form

lyophilized

mol wt

calculated mol wt ~50.79 kDa, observed mol wt ~60 kDa

species reactivity

human, mouse

species reactivity (predicted by homology)

monkey, bovine

packaging

antibody small pack of 25 μL

greener alternative product characteristics

Waste Prevention
Designing Safer Chemicals
Design for Energy Efficiency
Learn more about the Principles of Green Chemistry.

enhanced validation

recombinant expression
Learn more about Antibody Enhanced Validation

sustainability

Greener Alternative Product

technique(s)

affinity binding assay: suitable, immunocytochemistry: suitable, immunohistochemistry (formalin-fixed, paraffin-embedded sections): suitable, western blot: suitable

isotype

IgG

UniProt accession no.

greener alternative category

shipped in

ambient

storage temp.

2-8°C

target post-translational modification

unmodified

General description

We are committed to bringing you greener alternative products, which adhere to one or more of The 12 Principles of Green Chemistry.This antibody is Preservative-free, produced without the harm or sacrifice of animals and exceptionally stable to allow for ambient shipping and storage if needed and thus aligns with "Waste Prevention", "Designing Safer Chemicals" and "Design for Energy Efficiency". Click here for more information.
ZooMAb antibodies represent an entirely new generation of recombinant monoclonal antibodies.

Each ZooMAb antibody is manufactured using our proprietary recombinant expression system, purified to homogeneity, and precisely dispensed to produce robust and highly reproducible lot-to-lot consistency. Only top-performing clones are released for use by researchers. Each antibody is validated for high specificity and affinity across multiple applications, including its most commonly used application. ZooMAb antibodies are reliably available and ready to ship when you need them.
Krueppel-like factor 5 (UniProt: Q13887; also known as Basic transcription element-binding protein 2, BTE-binding protein 2, Colon krueppel-like factor, GC-box-binding protein 2, Intestinal-enriched krueppel-like factor, Transcription factor BTEB2) is encoded by the KLF5 (also known as BTEB2, CKLF, IKLF) gene (Gene ID: 688) in human. KLF5 is a member of the krueppel C2H2-type zinc-finger protein family that is expressed in testis and placenta. It serves as a transcription factor that binds to GC box promoter elements and activates the transcription of several genes. It contributes to the regulation of various cellular processes, including cell proliferation, differentiation, angiogenesis, and migration. KLF5 is reported to function as an oncogenic transcription factor in several cancer types, including breast, bladder, and intestinal cancers. Its expression can be induced by various oncogenic and pro-inflammatory factors, including TNF- , lipopolysaccharides, and interleukin-1β. Co-expression of KLF5 and TNFRSF11 correlates significantly with tumorigenesis in cervical tissues where it promotes cell proliferation, migration, and invasiveness in a manner dependent partly on TNFRSF11 expression. TNF- induced KLF5 is shown to positively regulate TNFRSF11 expression by binding to the TNFRSF11 promoter. KLF5 expression is reported to be regulated by estrogen and progesterone in breast cancer cells where estrogen facilitates KLF5 degradation and progesterone induces its expression. Loss of KLF5 in uterine tissue is reported to cause infertility due to defective implantation. This ZooMAb® recombinant monoclonal antibody, generated by our propriety technology, offers significantly enhanced specificity, affinity, reproducibility, and stability over conventional monoclonals. (Ref.: Ma, D., et al. (2017). Sci. Rep. 7; 15683; Sun, X., et al. (2012). Proc. Natl. Acad. Sci. USA. 109(4); 114-1150).

Immunogen

KLH-conjugated linear peptide corresponding to 22 amino acids from the C-terminal half of human Krueppel-like factor 6 (KLF5).

Application

Quality Control Testing

Evaluated by Western Blotting in HeLa cell lysate.

Western Blotting Analysis: A 1:1,000 dilution of this antibody detected KLF5 in HeLa cell lysate.

Tested Applications

Western Blotting Analysis: A 1:1,000 dilution from a representative lot detected KLF5 in NIH3T3 cell lysate.

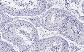
Immunohistochemistry (Paraffin) Analysis: A 1:100 dilution from a representative lot detected KLF5 in human testis tissue sections.

Affinity Binding Assay: A representative lot of this antibody bound KLF5 peptide with a KD of 2.0 x 10-8 in an affinity binding assay.

Immunocytochemistry Analysis: A 1:1,000 dilution from a representative lot detected KLF5 in PC3 cells.

Note: Actual optimal working dilutions must be determined by end user as specimens, and experimental conditions may vary with the end user
Anti-KLF5, clone 1J12 ZooMAb®, Cat. No. ZRB1194, is a recombinant Rabbit monoclonal antibody that specifically targets KLF5 and is tested for use in in Affinity Binding Assay, Immunocytochemistry, Immunohistochemistry (Paraffin), and Western Blotting.

Biochem/physiol Actions

Clone 1J12 is a ZooMAb® rabbit recombinant monoclonal antibody that specifically detects Krueppel-like factor 5 (KLF5). It targets an epitope within 22 amino acids from the C-terminal half.

Physical form

Purified recombinant mouse monoclonal antibody IgG, lyophilized in PBS, 5% Trehalose, normal appearance a coarse or translucent resin. Contains no biocide or preservatives, such as azide, or any animal by-products. Larger pack sizes provided as multiples of 25 μL.

Preparation Note

Recommend storage of lyophilized product at 2-8°C; Before reconstitution, micro-centrifuge vials briefly to spin down material to bottom of the vial; Reconstitute each vial by adding 25 μL of filtered lab grade water or PBS; Reconstituted antibodies can be stored at 2-8°C, or -20°C for long term storage. Avoid repeated freeze-thaws.
Reconstitute lyophilized antibody pellet with 25μL of ultrapure water or Phosphate Buffered Saline (PBS). Please refer to our reconstitution protocol and the specific application guidance on the suggested starting dilutions and sample type.

Legal Information

ZooMAb is a registered trademark of Merck KGaA, Darmstadt, Germany

Disclaimer

Unless otherwise stated in our catalog or other company documentation accompanying the product(s), our products are intended for research use only and are not to be used for any other purpose, which includes but is not limited to, unauthorized commercial uses, in vitro diagnostic uses, ex vivo or in vivo therapeutic uses or any type of consumption or application to humans or animals.


Still not finding the right product?

试用我们的 产品选型工具 工具缩小选择范围


存储类别

11 - Combustible Solids

wgk

WGK 1

法规信息

常规特殊物品

此项目有



历史批次信息供参考:

分析证书(COA)

Lot/Batch Number

没有发现合适的版本?

如果您需要特殊版本,可通过批号或批次号查找具体证书。

已有该产品?

在文件库中查找您最近购买产品的文档。

访问文档库



全球贸易项目编号

货号GTIN
ZRB1194-4X25UL04065265042505
ZRB1194-25UL04065265042499