跳转至内容
Merck
CN

ZRB1408

Anti-Zyxin Antibody, clone 2F17 ZooMAb® Rabbit Monoclonal

greener alternative

recombinant, expressed in HEK 293 cells

别名:

Zyxin-2

登录 查看组织和合同定价。

选择尺寸


关于此项目

NACRES:
NA.43
UNSPSC Code:
12352203
Conjugate:
unconjugated
Clone:
recombinant monoclonal
Application:
immunocytochemistry
immunohistochemistry (formalin-fixed, paraffin-embedded sections)
western blot
Species reactivity:
human, mouse
Citations:
1
Technique(s):
immunocytochemistry: suitable
immunohistochemistry (formalin-fixed, paraffin-embedded sections): suitable
western blot: suitable
Uniprot accession no.:
技术服务
需要帮助?我们经验丰富的科学家团队随时乐意为您服务。
让我们为您提供帮助
技术服务
需要帮助?我们经验丰富的科学家团队随时乐意为您服务。
让我们为您提供帮助

产品名称

Anti-Zyxin Antibody, clone 2F17 ZooMAb® Rabbit Monoclonal, recombinant, expressed in HEK 293 cells

biological source

rabbit

recombinant

expressed in HEK 293 cells

conjugate

unconjugated

antibody form

purified antibody

antibody product type

primary antibodies

clone

recombinant monoclonal

product line

ZooMAb® learn more

form

lyophilized

mol wt

calculated mol wt 61.28 kDa
observed mol wt ~75 kDa

species reactivity

human, mouse

species reactivity (predicted by homology)

monkey

packaging

antibody small pack of 25 μL

greener alternative product characteristics

Waste Prevention
Designing Safer Chemicals
Design for Energy Efficiency
Learn more about the Principles of Green Chemistry.

enhanced validation

recombinant expression
Learn more about Antibody Enhanced Validation

sustainability

Greener Alternative Product

technique(s)

immunocytochemistry: suitable
immunohistochemistry (formalin-fixed, paraffin-embedded sections): suitable
western blot: suitable

isotype

IgG

UniProt accession no.

greener alternative category

shipped in

ambient

storage temp.

2-8°C

target post-translational modification

unmodified

Quality Level

Gene Information

human ... ZYX(7791)
mouse ... Zyx(22793)

Application

Anti-Zyxin, clone 2F17 ZooMAb, Cat. No. ZRB1408, is a recombinant Rabbit monoclonal antibody that targets Zyxin and has been tested for use in Immunocytochemistry, Immunohistochemistry (Paraffin), and Western Blotting.
Western Blotting Analysis: A 1:1,000 dilution from a representative lot detected Zyxin in NIH/3T3 cell lysate.

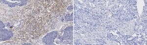
Immunohistochemistry (Paraffin) Analysis: A 1:100 dilution from a representative lot detected Zyxin in human uterus and human prostate tissue sections.

Immunocytochemistry Analysis: A 1:1,000 dilution from a representative lot detected Zyxin in HeLa, HUVEC, and A431 cells.

Note: Actual optimal working dilutions must be determined by end user as specimens, and experimental conditions may vary with the end user.

Biochem/physiol Actions

Clone 2F17 is a ZooMAb rabbit recombinant monoclonal antibody that specifically detects Zyxin. It targets an epitope within 20 amino acids from the C-terminal half.

Disclaimer

Unless otherwise stated in our catalog or other company documentation accompanying the product(s), our products are intended for research use only and are not to be used for any other purpose, which includes but is not limited to, unauthorized commercial uses, in vitro diagnostic uses, ex vivo or in vivo therapeutic uses or any type of consumption or application to humans or animals.

General description

We are committed to bringing you greener alternative products, which adhere to one or more of The 12 Principles of Green Chemistry.This antibody is Preservative-free, produced without the harm or sacrifice of animals and exceptionally stable to allow for ambient shipping and storage if needed and thus aligns with "Waste Prevention", "Designing Safer Chemicals" and "Design for Energy Efficiency". Click here for more information.
ZooMAb antibodies represent an entirely new generation of recombinant monoclonal antibodies.

Each ZooMAb antibody is manufactured using our proprietary recombinant expression system, purified to homogeneity, and precisely dispensed to produce robust and highly reproducible lot-to-lot consistency. Only top-performing clones are released for use by researchers. Each antibody is validated for high specificity and affinity across multiple applications, including its most commonly used application. ZooMAb antibodies are reliably available and ready to ship when you need them.

Learn more about ZooMAb here.
Zyxin (UniProt: Q15942; also known as Zyxin-2) is encoded by the ZYX gene (Gene ID: 7791) in human. Zyxin is an evolutionarily conserved LIM domain protein that is widely expressed and has been implicated in cell adhesion, cell motility, and signaling. It acts as an adhesion plaque protein concentrated at sites of cell adhesion, particularly where the ends of actin filament adjoin the membrane and is thought to link the actin cytoskeletal to the membrane. It does not bind directly to actin filaments, but is reported to associate with members of the Enabled (Ena)/vasodilator-stimulated phosphoprotein (VASP) family of cytoskeletal regulators through which it can direct the actin assembly and plays a role in cytoskeletal dynamics and signaling. Zyxin contains three LIM zinc binding domains (aa 384-443; 444-503; and 504-570), which act as a negative regulator of Zyxin-VASP complexes. Also, it contains four proline rich repeats (aa 64-77; 94-108; 115-121; and 127-137) that are known to interact directly with Ena/VASP proteins. Loss of Zyxin results in inability to thicken stress fibers in response to mechanical stimuli. Zyxin activity is regulated by its phosphorylation. Phosphorylation of Zyxin at serine 142 is reported to increase acinus-S access to the C-terminal LIM domain. This ZooMAb® recombinant monoclonal antibody, generated by our propriety technology, offers significantly enhanced specificity, affinity, reproducibility, and stability over conventional monoclonals. (Ref.: Hoffman LM et al (2003). Mol. Cell Biol. 23(1); 70-79; Yoshigi et al (2005). J. Cell Biol. 171(2), 209-215; Chan CB., et al. (2007). Cell Death Differ. 14(9); 1688-1699; Moody JD et al. (2009). Biochem. Biophys. Res. Commun. 378(3), 625-628).

Immunogen

KLH-conjugate linear peptide corresponding to 20 amino acids from the C-terminal half of human Zyxin.

Physical form

Purified recombinant rabbit monoclonal antibody IgG, lyophilized in PBS with 5% Trehalose, normal appearance a coarse or translucent resin. Contains no biocide or preservatives, such as azide, or any animal by-products. Larger pack sizes provided as multiples of 25 μL.

Preparation Note

Recommended storage of lyophilized product at 2-8°C; Before reconstitution, micro-centrifuge vials briefly to spin down material to bottom of the vial; Reconstitute each vial by adding 25 μL of filtered lab grade water or PBS; Reconstituted antibodies can be stored at 2-8°C, or -20°C for long term storage. Avoid repeated freeze-thaws.
Reconstitute lyophilized antibody pellet with 25μL of ultrapure water or Phosphate Buffered Saline (PBS). Please refer to our reconstitution protocol and the specific application guidance on the suggested starting dilutions and sample type.

Legal Information

ZooMAb is a registered trademark of Merck KGaA, Darmstadt, Germany

未找到合适的产品?  

试试我们的产品选型工具.

存储类别

11 - Combustible Solids

wgk

WGK 2

法规信息

常规特殊物品
此项目有

历史批次信息供参考:

分析证书(COA)

Lot/Batch Number

没有发现合适的版本?

如果您需要特殊版本,可通过批号或批次号查找具体证书。

已有该产品?

在文件库中查找您最近购买产品的文档。

访问文档库

Oleg Dobrokhotov et al.
Frontiers in cell and developmental biology, 9, 728383-728383 (2021-12-04)
Actomyosin contractility regulates various cellular processes including proliferation and differentiation while dysregulation of actomyosin activity contributes to cancer development and progression. Previously, we have reported that actomyosin-generated tension at adherens junctions is required for cell density-dependent inhibition of proliferation of

我们的科学家团队拥有各种研究领域经验,包括生命科学、材料科学、化学合成、色谱、分析及许多其他领域.

联系客户支持