跳转至内容
Merck
CN

ZRB1728

Anti-Parkin Antibody, clone 2J8 ZooMAb® Rabbit Monoclonal

greener alternative

recombinant, expressed in HEK 293 cells

登录 查看组织和合同定价。

选择尺寸

变更视图

关于此项目

NACRES:
NA.43
UNSPSC Code:
12352203
Conjugate:
unconjugated
Clone:
2J8, recombinant monoclonal
Application:
ICC, IHC (p), WB, affinity binding assay
Citations:
-
技术服务
需要帮助?我们经验丰富的科学家团队随时乐意为您服务。
让我们为您提供帮助


biological source

rabbit

Quality Level

recombinant

expressed in HEK 293 cells

conjugate

unconjugated

antibody form

purified antibody

antibody product type

primary antibodies

clone

2J8, recombinant monoclonal

description

recombinant, expressed in HEK 293 cells

product line

ZooMAb® learn more

form

lyophilized

mol wt

calculated mol wt 51.64 kDa, observed mol wt ~51 kDa

purified by

using Protein A

species reactivity

human

species reactivity (predicted by homology)

chimpanzee, monkey

packaging

antibody small pack of 25 μL

greener alternative product characteristics

Waste Prevention
Designing Safer Chemicals
Design for Energy Efficiency
Learn more about the Principles of Green Chemistry.

enhanced validation

recombinant expression
Learn more about Antibody Enhanced Validation

sustainability

Greener Alternative Product

technique(s)

affinity binding assay: suitable, immunocytochemistry: suitable, immunohistochemistry (formalin-fixed, paraffin-embedded sections): suitable, western blot: suitable

isotype

IgG

epitope sequence

C-terminal half

Protein ID accession no.

UniProt accession no.

greener alternative category

shipped in

ambient

storage temp.

2-8°C

target post-translational modification

unmodified

Gene Information

human ... PRKN(5071)

General description

E3 ubiquitin-protein ligase parkin (UniProt: O60260; also known as EC:2.3.2.31, Parkin, Parkin RBR E3 ubiquitin-protein ligase, Parkinson juvenile disease protein 2, Parkinson disease protein 2) is encoded by the PRKN (also known as PARK2) gene (Gene ID: 5071) in human. Parkin is mainly localized in the cytosol but relocates to dysfunctional mitochondria that have lost the mitochondrial membrane potential. Its mitochondrial recruitment is shown to be PINK1-dependent. Parkin functions within a multiprotein E3 ubiquitin ligase complex, catalyzing the covalent attachment of ubiquitin moieties onto various substrate proteins. It mediates monoubiquitination as well as polyubiquitination of substrates. It participates in the removal and/or detoxification of abnormally folded or damaged protein by mediating lysine 63-linked polyubiquitination of misfolded proteins. It is reported to offer protection against mitochondrial dysfunction during cellular stress, by acting downstream of PINK1 to coordinate mitochondrial quality control mechanisms that remove and replace dysfunctional mitochondrial components. Parkin is also reported to mediate monoubiquitination of Bcl2 and acts as a positive regulator of autophagy and promotes the autophagic degradation of dysfunctional depolarized mitochondria by promoting the ubiquitination of TOMM20, RHOT1/MIRO1 and USP30. In its autoinhibited state the side chain of phenylalanine 463 inserts into a hydrophobic groove in RING-0 that occludes the ubiquitin acceptor site Cys-431. Its activation is a two-step process that involves serine 65 phosphorylation by PINK1 and binding to phosphorylated ubiquitin that leads to unlock repression of the catalytic Cys-431 by the RING-0 region via an allosteric mechanism and converting PRKN to its fully active form. Mutations in PRKN gene are known to cause Parkinson disease characterized by bradykinesia, resting tremor, muscular rigidity, and postural instability. This ZooMAbZooMAb® recombinant monoclonal antibody, generated by our propriety technology, offers significantly enhanced specificity, affinity, reproducibility, and stability over conventional monoclonals. (Ref.: Vives-Bauza, C., et al. (2010). Proc. Natl. Acad. Sci. USA. 107(1); 378-383; Shimura, H., et al. (2000). Nat. Genet. 25(3); 302-305; Imai, Y., et al. (2000). J. Biol. Chem. 275(46); 35661-35664).
We are committed to bringing you greener alternative products, which adhere to one or more of The 12 Principles of Green Chemistry.This antibody is Preservative-free, produced without the harm or sacrifice of animals and exceptionally stable to allow for ambient shipping and storage if needed and thus aligns with "Waste Prevention", "Designing Safer Chemicals" and "Design for Energy Efficiency". Click here for more information.
ZooMAb® antibodies represent an entirely new generation of recombinant monoclonal antibodies.Each ZooMAb® antibody is manufactured using our proprietary recombinant expression system, purified to homogeneity, and precisely dispensed to produce robust and highly reproducible lot-to-lot consistency. Only top-performing clones are released for use by researchers. Each antibody is validated for high specificity and affinity across multiple applications, including its most commonly used application. ZooMAb® antibodies are reliably available and ready to ship when you need them.

Immunogen

KLH-conjugated linear peptide corresponding to 22 amino acids from the C-terminal region of human Parkin.

Application

Quality Control Testing

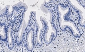
Evaluated by Immunohistochemistry (Paraffin) in human gallbladder tissue sections.

Immunohistochemistry (Paraffin) Analysis: A 1:100 dilution of this antibody detected Parkin in human gallbladder tissue sections.

Tested applications

Western Blotting Analysis: A 1:1,000 dilution from a representative lot detected Parkin in lysates from HeLa cells stably transfected with HA-Parkin and SH-SY5Y cells.

Affinity Binding Assay:: A representative lot of this antibody bound Parkin with a KD of 7.6 x 10-8 in an affinity binding assay.

Immunocytochemistry Analysis: A 1:100 dilution from a representative lot detected Parkin in SH-SY5Y cells.

Note: Actual optimal working dilutions must be determined by end user as specimens, and experimental conditions may vary with the end user

Biochem/physiol Actions

Clone 2JB is a ZooMAb® Rabbit recombinant monoclonal antibody that specifically detects Parkin. It targets an epitope within 22 amino acids from the C-terminal half.

Physical form

Purified recombinant rabbit monoclonal antibody IgG, lyophilized in PBS, 5% Trehalose, normal appearance a coarse or translucent resin. The PBS/trehalose components in the ZooMAb formulation can have the appearance of a semi-solid (bead like gel) after lyophilization. This is a normal phenomenon. Please follow the recommended reconstitution procedure in the data sheet to dissolve the semi-solid, bead-like, gel-appearing material. The resulting antibody solution is completely stable and functional as proven by full functional testing. Contains no biocide or preservatives, such as azide, or any animal by-products. Larger pack sizes provided as multiples of 25 μL.

Preparation Note

Recommend storage of lyophilized product at 2-8°C; Before reconstitution, micro-centrifuge vials briefly to spin down material to bottom of the vial; Reconstitute each vial by adding 25 μL of filtered lab grade water or PBS; Reconstituted antibodies can be stored at 2-8°C, or -20°C for long term storage. Avoid repeated freeze-thaws.
Reconstitute lyophilized antibody pellet with 25μL of ultrapure water or Phosphate Buffered Saline (PBS). Please refer to our reconstitution protocol and the specific application guidance on the suggested starting dilutions and sample type.

Legal Information

ZooMAb is a registered trademark of Merck KGaA, Darmstadt, Germany

Disclaimer

Unless otherwise stated in our catalog or other company documentation accompanying the product(s), our products are intended for research use only and are not to be used for any other purpose, which includes but is not limited to, unauthorized commercial uses, in vitro diagnostic uses, ex vivo or in vivo therapeutic uses or any type of consumption or application to humans or animals.


Still not finding the right product?

试用我们的 产品选型工具 工具缩小选择范围


存储类别

11 - Combustible Solids

wgk

WGK 1

flash_point_f

Not applicable

flash_point_c

Not applicable

法规信息

常规特殊物品
常规特殊物品

此项目有



历史批次信息供参考:

分析证书(COA)

Lot/Batch Number

没有发现合适的版本?

如果您需要特殊版本,可通过批号或批次号查找具体证书。

已有该产品?

在文件库中查找您最近购买产品的文档。

访问文档库



全球贸易项目编号

货号GTIN
ZRB1728-4X25UL04065267991771
ZRB1728-25UL04065267991764