生物来源
rabbit
质量水平
重组
expressed in HEK 293 cells
偶联物
unconjugated
抗体形式
purified antibody
抗体产品类型
primary antibodies
克隆
1D16, recombinant monoclonal
描述
1D16 Clone
产品线
ZooMAb® learn more
表单
lyophilized
分子量
calculated mol wt 54.83 kDa
observed mol wt ~70 kDa
纯化方式
using Protein A
种属反应性
mouse, human, rat
包装
antibody small pack of 25 μL
环保替代产品特性
Waste Prevention
Designing Safer Chemicals
Design for Energy Efficiency
Learn more about the Principles of Green Chemistry.
增强验证
recombinant expression
Learn more about Antibody Enhanced Validation
技术
immunocytochemistry: suitable
immunohistochemistry: suitable
western blot: suitable
同位素/亚型
IgG
表位序列
N-terminal half
Protein ID登记号
UniProt登记号
环保替代产品分类
运输
ambient
储存温度
2-8°C
基因信息
human ... WASL(8976)
一般描述
Actin nucleation-promoting factor WASL (UniProt: O00401; also known as Neural Wiskott-Aldrich syndrome protein 1, N-WASP) is encoded by the WASL gene (Gene ID: 8976) in human. WASP, N-WASP, and WAVE are scaffold proteins that link cell surface signals to actin cytoskeleton. WASP expression is restricted to the non-erythroid hematopoietic cells, whereas N-WASP and WAVE are expressed ubiquitously. WASP and N-WASP share similar protein domain organization, which comprises the WASP homolog domain (WH) at their N-terminus followed by a basic region, GTPase binding domain, a proline rich region, and a verproline-cofilin-acidic region (VCA) at its C-terminus. N-WASP is detected both in the cytoplasm and the nucleus. In the cytoplasm it regulates actin polymerization by stimulating the actin-nucleating activity of the Arp2/3 complex. In the nucleus N-WASP resides within a large nuclear protein complex containing polypyrimidine-tract-binding-protein-associated splicing factor-non-Pou-domain octamer-binding protein (PSF-NonO), nuclear actin, and RNA polymerase II. N-WASP is reported to be preferentially localized in the cytoplasm in its phosphorylated state and in the nucleus when it is unphosphorylated. In resting cells, N-WASP is known to exist in an auto-inhibitory state that prevents the interaction between VCA region and the Arp2/3 complex. Upon binding of activate Cdc42 with GTPase binding domain N-WASP is activated due to their release from the auto-inhibitory state. This ZooMAb® recombinant monoclonal antibody, generated by our propriety technology, offers significantly enhanced specificity, affinity, reproducibility, and stability over conventional monoclonals. (Ref.: Jain, N., and Thanabalu, T. (2015). Sci. Rep. 5; Article 15031; Wu, X.., et al. (2006). Nat. Cell Biol. 8(7); 756-763).
We are committed to bringing you greener alternative products, which adhere to one or more of The 12 Principles of Green Chemistry. This antibody is Preservative-free, produced without the harm or sacrifice of animals and exceptionally stable to allow for ambient shipping and storage if needed and thus aligns with "Waste Prevention", "Designing Safer Chemicals" and "Design for Energy Efficiency". Click here for more information.
ZooMAb® antibodies represent an entirely new generation of recombinant monoclonal antibodies. Each ZooMAb® antibody is manufactured using our proprietary recombinant expression system, purified to homogeneity, and precisely dispensed to produce robust and highly reproducible lot-to-lot consistency. Only top-performing clones are released for use by researchers. Each antibody is validated for high specificity and affinity across multiple applications, including its most commonly used application. ZooMAb® antibodies are reliably available and ready to ship when you need them.
免疫原
KLH-conjugated linear peptide corresponding to 15 amino acids from the N-terminal half of human N-WASP.
应用
Quality Control Testing
Evaluated by Western Blotting in C6 cell lysate.
Western Blotting Analysis: A 1:1,000 dilution of this antibody detected N-WASP in C6 cell lysate.
Tested Applications
Western Blotting Analysis: A 1:1,000 dilution from a representative lot detected N-WASP in C2C12, MCF-7, and Neuro2A cell lysates.
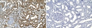
Immunohistochemistry (Paraffin) Analysis: A 1:100 dilution from a representative lot detected N-WASP in human kidney tissue sections.
Immunocytochemistry Analysis: A 1:100 dilution from a representative lot detected N-WASP in MCF-7 cells.
Note: Actual optimal working dilutions must be determined by end user as specimens, and experimental conditions may vary with the end user.
Evaluated by Western Blotting in C6 cell lysate.
Western Blotting Analysis: A 1:1,000 dilution of this antibody detected N-WASP in C6 cell lysate.
Tested Applications
Western Blotting Analysis: A 1:1,000 dilution from a representative lot detected N-WASP in C2C12, MCF-7, and Neuro2A cell lysates.
Immunohistochemistry (Paraffin) Analysis: A 1:100 dilution from a representative lot detected N-WASP in human kidney tissue sections.
Immunocytochemistry Analysis: A 1:100 dilution from a representative lot detected N-WASP in MCF-7 cells.
Note: Actual optimal working dilutions must be determined by end user as specimens, and experimental conditions may vary with the end user.
生化/生理作用
Clone 1D16 is a ZooMAb® rabbit recombinant monoclonal antibody that specifically detects N-WASP. It targets an epitope within 15 amino acids from the N-terminal half.
外形
Purified recombinant rabbit monoclonal antibody IgG, lyophilized in PBS, 5% Trehalose, normal appearance a coarse or translucent resin. The PBS/trehalose components in the ZooMAb formulation can have the appearance of a semi-solid (bead like gel) after lyophilization. This is a normal phenomenon. Please follow the recommended reconstitution procedure in the data sheet to dissolve the semi-solid, bead-like, gel-appearing material. The resulting antibody solution is completely stable and functional as proven by full functional testing. Contains no biocide or preservatives, such as azide, or any animal by-products. Larger pack sizes provided as multiples of 25 µL.
制备说明
Recommend storage of lyophilized product at 2-8°C; Before reconstitution, micro-centrifuge vials briefly to spin down material to bottom of the vial; Reconstitute each vial by adding 25 µL of filtered lab grade water or PBS; Reconstituted antibodies can be stored at 2-8°C, or -20°C for long term storage. Avoid repeated freeze-thaws.
Reconstitute lyophilized antibody pellet with 25μL of ultrapure water or Phosphate Buffered Saline (PBS). Please refer to our reconstitution protocol and the specific application guidance on the suggested starting dilutions and sample type.
其他说明
Concentration: Please refer to the Certificate of Analysis for the lot-specific concentration.
法律信息
ZooMAb is a registered trademark of Merck KGaA, Darmstadt, Germany
免责声明
Unless otherwise stated in our catalog or other company documentation accompanying the product(s), our products are intended for research use only and are not to be used for any other purpose, which includes but is not limited to, unauthorized commercial uses, in vitro diagnostic uses, ex vivo or in vivo therapeutic uses or any type of consumption or application to humans or animals.
未找到合适的产品?
试试我们的产品选型工具.
储存分类代码
11 - Combustible Solids
WGK
WGK 1
闪点(°F)
Not applicable
闪点(°C)
Not applicable
法规信息
常规特殊物品
此项目有
我们的科学家团队拥有各种研究领域经验,包括生命科学、材料科学、化学合成、色谱、分析及许多其他领域.
联系客户支持