Skip to Content
Merck
CN

ABC512

Anti-ST6GAL1 Antibody

from rabbit, purified by affinity chromatography

Synonym(s):

Beta-galactoside alpha-2,6-sialyltransferase 1, Alpha 2,6-ST 1, B-cell antigen CD75, CMP-N-acetylneuraminate-beta-galactosamide-alpha-2,6-sialyltransferase 1, ST6Gal I, ST6GalI, Sialyltransferase 1

Sign In to View Organizational & Contract Pricing.

Select a Size


About This Item

UNSPSC Code:
12352203
NACRES:
NA.41
eCl@ss:
32160702
Technical Service
Need help? Our team of experienced scientists is here for you.
Let Us Assist
Technical Service
Need help? Our team of experienced scientists is here for you.
Let Us Assist

biological source

rabbit

antibody form

affinity isolated antibody

antibody product type

primary antibodies

clone

polyclonal

purified by

affinity chromatography

species reactivity

human

species reactivity (predicted by homology)

chimpanzee (based on 100% sequence homology), primate (based on 100% sequence homology)

technique(s)

immunohistochemistry: suitable, western blot: suitable

NCBI accession no.

UniProt accession no.

shipped in

wet ice

target post-translational modification

unmodified

Gene Information

human ... ST6GAL1(6480)

General description

ST6GAL1, also known as Beta-galactoside alpha-2/ 6-sialyltransferase 1, or Alpha 2/ 6-ST 1, and encoded by the gene symbol ST6GAL1/ SIAT1, is a member of the glycosyltransferase 29 family. ST6GAL1 has been implied to play an important role in the transfer of sialic acid from the donor of substrate CMP-sialic acid to galactose containing acceptor substrates. The membrane-bound form of ST6GAL1 is located in trans-cisternae of Golgi apparatus. The soluble form of ST6GAL1 is derived from the membrane form by proteolytic processing. ST6GAL1 is located in the Golgi apparatus, Golgi stack membrane, and the Single-pass type II membrane protein.
~41 kDa observed. The calculated molecular weight is 47 kDa, however ST6GAL1 has been shown as a ~41 kDa band in western blots (Minyoung, L., et al. (2008). Mol. Cancer Research. 6:1316-1325).

Immunogen

Epitope: Lumenal domain
KLH-conjugated linear peptide corresponding to the Lumenal domain of human ST6GAL1.

Application

Anti-ST6GAL1 is an antibody against ST6GAL1 for use in WB, IH.
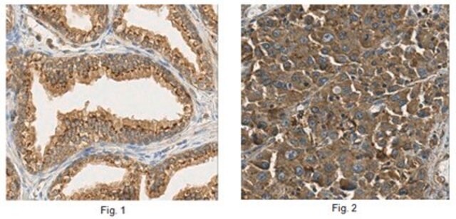
Immunohistochemistry Analysis: A 1:50 dilution from a representative lot detected ST6GAL1 in human prostate and human liver cancer tissue.
Research Category
Apoptosis & Cancer
Research Sub Category
Apoptosis - Additional

Physical form

Affinity purified
Purified rabbit polyclonal in buffer containing 0.1 M Tris-Glycine (pH 7.4), 150 mM NaCl with 0.05% sodium azide.

Preparation Note

Stable for 1 year at 2-8°C from date of receipt.

Analysis Note

Evaluated by Western Blotting in human skeletal muscle tissue lysate.

Western Blotting Analysis: 2.0 µg/mL of this antibody detected ST6GAL1 in 10 µg of human skeletal muscle tissue lysate.

Other Notes

Concentration: Please refer to lot specific datasheet.

Disclaimer

Unless otherwise stated in our catalog or other company documentation accompanying the product(s), our products are intended for research use only and are not to be used for any other purpose, which includes but is not limited to, unauthorized commercial uses, in vitro diagnostic uses, ex vivo or in vivo therapeutic uses or any type of consumption or application to humans or animals.

Not finding the right product?  

Try our Product Selector Tool.

Storage Class

12 - Non Combustible Liquids

wgk

WGK 1

flash_point_f

Not applicable

flash_point_c

Not applicable


Certificates of Analysis (COA)

Search for Certificates of Analysis (COA) by entering the products Lot/Batch Number. Lot and Batch Numbers can be found on a product’s label following the words ‘Lot’ or ‘Batch’.

Already Own This Product?

Find documentation for the products that you have recently purchased in the Document Library.

Visit the Document Library

Yun Tao et al.
Cytotechnology, 71(6), 1155-1165 (2019-11-11)
MiR-214-3p is concerned with the outcomes of various tumors, such as liver cancer, bladder cancer, etc. However, the role and target of miR-214-3p in triple negative breast cancer (TNBC) is not fully understood. This study took this as the entry

Our team of scientists has experience in all areas of research including Life Science, Material Science, Chemical Synthesis, Chromatography, Analytical and many others.

Contact Technical Service