Skip to Content
Merck
CN

ABF207

Anti-TIRP Antibody

from rabbit, purified by affinity chromatography

Synonym(s):

TIR domain-containing adapter molecule 2, TICAM-2, Putative NF-kappa-B-activating protein 502, TRIF-related adapter molecule, Toll-like receptor adaptor protein 3, Toll/interleukin-1 receptor domain-containing protein

Sign In to View Organizational & Contract Pricing.

Select a Size

Change View

About This Item

UNSPSC Code:
12352203
NACRES:
NA.41
eCl@ss:
32160702
Technical Service
Need help? Our team of experienced scientists is here for you.
Let Us Assist


biological source

rabbit

antibody form

affinity isolated antibody

antibody product type

primary antibodies

clone

polyclonal

purified by

affinity chromatography

species reactivity

rat, human, mouse

technique(s)

immunofluorescence: suitable, immunohistochemistry: suitable, western blot: suitable

UniProt accession no.

shipped in

wet ice

target post-translational modification

unmodified

Gene Information

human ... TICAM2(353376)

General description

Toll/interleukin-1 receptor domain-containing protein (TIRP), also known as TIR domain-containing adapter molecule 2 (TICAM2), also known as Putative NF-kappa-B-activating protein 502, TRIF-related adapter molecule (TRAM), and Toll-like receptor adaptor protein 3 (TIRAP3), is an adaptor protein containing one TIR domain, and is a member of the Toll/interleukin-1 receptor (TIR) family, a group of proteins that include the Toll-like receptors (TLRs). TLRs are signaling molecules that recognize different pathogen-associated molecular patterns (PAMPs) serving as an important link between the innate and adaptive immune responses. TIRP is expressed in spleen, prostate, testis, uterus, small intestine, colon, peripheral blood leukocytes, heart, placenta, lung, liver, skeletal muscle, and pancreas.
~26 kDa observed. Uncharacterized bands may appear in some lysates.

Immunogen

Epitope: C-terminus
KLH-conjugated linear peptide corresponding to the C-terminus of human TIRP.

Application

Detect Toll/interleukin-1 receptor domain-containing protein using this rabbit polyclonal antibody, Anti-TIRP Antibody validated for use in western blotting, IHC & Immunofluorescence.
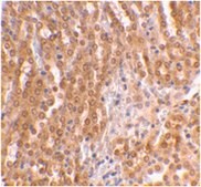
Immunohistochemistry Analysis: 2 µg/mL from a representative lot detected TIRP in mouse kidney tissue.

Immunofluorescence Analysis: 20 µg/mL from a representative lot detected TIRP in mouse kidney cells.
Research Category
Inflammation & Immunology
Research Sub Category
Immunoglobulins & Immunology

Biochem/physiol Actions

This antibody recognizes the C-terminus of TIRP.

Physical form

Antigen Affinity Purified
Purified rabbit polyclonal in buffer containing PBS with up to 0.1% sodium azide.

Preparation Note

Stable for 1 year at 2-8°C from date of receipt.

Analysis Note

Control
Human, mouse, and rat kidney tissue lysates
Evaluated by Western Blotting in human, mouse, and rat kidney tissue lysates.

Western Blotting Analysis: 1 µg/mL of this antibody detected TIRP in human, mouse, and rat kidney tissue lysates.

Other Notes

Concentration: Please refer to the Certificate of Analysis for the lot-specific concentration.

Disclaimer

Unless otherwise stated in our catalog or other company documentation accompanying the product(s), our products are intended for research use only and are not to be used for any other purpose, which includes but is not limited to, unauthorized commercial uses, in vitro diagnostic uses, ex vivo or in vivo therapeutic uses or any type of consumption or application to humans or animals.


Still not finding the right product?

Try our Product Selector Tool to narrow your options


Storage Class

12 - Non Combustible Liquids

wgk

WGK 2

flash_point_f

Not applicable

flash_point_c

Not applicable



Certificates of Analysis (COA)

Search for Certificates of Analysis (COA) by entering the products Lot/Batch Number. Lot and Batch Numbers can be found on a product’s label following the words ‘Lot’ or ‘Batch’.

Already Own This Product?

Find documentation for the products that you have recently purchased in the Document Library.

Visit the Document Library