Skip to Content
Merck
CN

ABF222

Anti-UHRF1BP1 Antibody

from rabbit, purified by affinity chromatography

Synonym(s):

Ubiquitin-like containing PHD and RING finger domains 1-binding protein 1, ICBP90-binding protein 1, UHRF1 binding protein 1

Sign In to View Organizational & Contract Pricing.

Select a Size

Change View

About This Item

UNSPSC Code:
12352203
NACRES:
NA.41
eCl@ss:
32160702
Technical Service
Need help? Our team of experienced scientists is here for you.
Let Us Assist

biological source

rabbit

antibody form

affinity isolated antibody

antibody product type

primary antibodies

clone

polyclonal

purified by

affinity chromatography

species reactivity

mouse, human

technique(s)

immunohistochemistry: suitable, western blot: suitable

UniProt accession no.

shipped in

wet ice

target post-translational modification

unmodified

Gene Information

human ... UHRF1BP1(54887)

General description

UHRF1-binding protein 1 (UHRF1BP1), also known as ICBP90-binding protein 1 and Ubiquitin-like containing PHD and RING finger domains 1-binding protein 1, is a transcription and cell cycle regulator. UHRF1BP1 is required for proper heterochromatin formation in mammalian cells and may act as a negative regulator of cell growth. UHRF1BP1 is implied to be an important target for the ERK1/2 signaling pathway to control the proliferation of Jurkat T cells. Additionally, UHRF1BP1 binds to the histone H3 N-terminal tail when methylated on K9 by two functional domains, a PHD finger and an SRA (SET- and RING-associated) domain. The PHD finger defines the binding specificity and an SRA domain promotes binding activity.
~80 kDa observed. Uncharacterized bands may appear in some lysate(s).

Immunogen

KLH-conjugated linear peptide corresponding to human UHRF1BP1.

Application

Anti-UHRF1BP1 Antibody is a highly specific rabbit polyclonal antibody, that targets UHRF1-binding protein 1 & has been tested in western blotting & IHC.
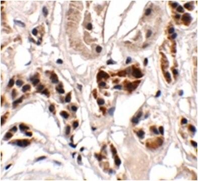
Immunohistochemistry Analysis: 2.5 µg/mL from a representative lot detected UHRF1BP1 in human kidney tissue.
Research Category
Inflammation & Immunology
Research Sub Category
Immunological Signaling

Physical form

Antigen Affinity Purified
Purified rabbit polyclonal in buffer containing PBS with up to 0.1% sodium azide.

Preparation Note

Stable for 1 year at 2-8°C from date of receipt.

Analysis Note

Control
Mouse kidney tissue lysate
Evaluated by Western Blotting in mouse kidney tissue lysate.

Western Blotting Analysis: 2 µg/mL of this antibody detected UHRF1BP1 in 15 µg of mouse kidney tissue lysate.

Other Notes

Concentration: Please refer to the Certificate of Analysis for the lot-specific concentration.

Disclaimer

Unless otherwise stated in our catalog or other company documentation accompanying the product(s), our products are intended for research use only and are not to be used for any other purpose, which includes but is not limited to, unauthorized commercial uses, in vitro diagnostic uses, ex vivo or in vivo therapeutic uses or any type of consumption or application to humans or animals.

Not finding the right product?  

Try our Product Selector Tool.

Storage Class

12 - Non Combustible Liquids

wgk

WGK 2

flash_point_f

Not applicable

flash_point_c

Not applicable


Certificates of Analysis (COA)

Search for Certificates of Analysis (COA) by entering the products Lot/Batch Number. Lot and Batch Numbers can be found on a product’s label following the words ‘Lot’ or ‘Batch’.

Already Own This Product?

Find documentation for the products that you have recently purchased in the Document Library.

Visit the Document Library

Our team of scientists has experience in all areas of research including Life Science, Material Science, Chemical Synthesis, Chromatography, Analytical and many others.

Contact Technical Service