Skip to Content
Merck
CN

ABN408

Anti-MPRIP Antibody

from rabbit, purified by affinity chromatography

Synonym(s):

Myosin phosphatase Rho-interacting protein, M-RIP, Rho-interacting protein 3, RIP3, p116Rip

Sign In to View Organizational & Contract Pricing.

Select a Size

Change View

About This Item

UNSPSC Code:
12352203
NACRES:
NA.41
eCl@ss:
32160702
Technical Service
Need help? Our team of experienced scientists is here for you.
Let Us Assist


biological source

rabbit

antibody form

affinity isolated antibody

antibody product type

primary antibodies

clone

polyclonal

purified by

affinity chromatography

species reactivity

rat, human

species reactivity (predicted by homology)

chimpanzee (based on 100% sequence homology), canine (based on 100% sequence homology), ferret (based on 100% sequence homology), gorilla (based on 100% sequence homology), giant panda (based on 100% sequence homology), feline (based on 100% sequence homology)

technique(s)

immunohistochemistry: suitable, western blot: suitable

NCBI accession no.

UniProt accession no.

shipped in

wet ice

target post-translational modification

unmodified

Gene Information

human ... MPRIP(23164)

General description

MPRIP, also known as Myosin phosphatase Rho-interacting protein, M-RIP, Rho-interacting protein 3, RIP3, or p116Rip, and encoded by the gene MPRIP/KIAA0864/MRIP/RHOIP3, is an important regulator or actin cytoskeleton interactions. In muscle and neurons MPRIP targets myosin phosphatase to the actin cytoskeleton and its interaction with phosphorylated myosin. Overexpression of MPRIP leads to disassembly of actin stress fibers in neuronal and other cells types. MPRIP though its interaction with the actin cytoskeleton modulates cell morphology, particularly in neurons and strongly structural cell types, and MPRIP appears to play a key role in the JNK signaling cascade and in cell motility in invasive cancer cells, thus MPRIP is a current target for anti-cancer therapy. MPRIP interacts with RHOA, ROCK, MYZAP, Syntenin-1 and other cell structure associated proteins. MPRIP co-localizes with F-actin in most cells, and thus it is largely cytoplasmically localized.
~135 kDa observed

Immunogen

KLH-conjugated linear peptide corresponding to human MPRIP.

Application

Anti-MPRIP Antibody detects level of MPRIP & has been published & validated for use in MPRIP.
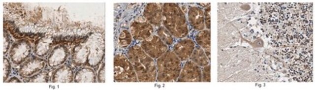
Immunohistochemistry Analysis: A 1:50-500 dilution from a representative lot detected MPRIP in human stomach and human cerebellum tissue.

Analysis Note

Evaluated by Western Blotting in SH-SY5Y cell lysate.

Western Blotting Analysis: 3.0 µg/mL of this antibody detected MPRIP in 10 µg of SH-SY5Y cell lysate.

Other Notes

Concentration: Please refer to the Certificate of Analysis for the lot-specific concentration.


Still not finding the right product?

Try our Product Selector Tool to narrow your options


Storage Class

12 - Non Combustible Liquids

wgk

WGK 1

flash_point_f

Not applicable

flash_point_c

Not applicable



Certificates of Analysis (COA)

Search for Certificates of Analysis (COA) by entering the products Lot/Batch Number. Lot and Batch Numbers can be found on a product’s label following the words ‘Lot’ or ‘Batch’.

Already Own This Product?

Find documentation for the products that you have recently purchased in the Document Library.

Visit the Document Library