Sign In to View Organizational & Contract Pricing.
Select a Size
Change View
About This Item
UNSPSC Code:
12352203
NACRES:
NA.41
Conjugate:
unconjugated
Clone:
polyclonal
Application:
ChIP, ICC, IHC, IP, WB
Citations:
-
biological source
rabbit
Quality Level
conjugate
unconjugated
antibody form
purified antibody
antibody product type
primary antibodies
clone
polyclonal
mol wt
calculated mol wt 42.44 kDa, observed mol wt ~42 kDa
species reactivity
human
species reactivity (predicted by homology)
mouse
packaging
antibody small pack of 100
technique(s)
ChIP: suitable, immunocytochemistry: suitable, immunohistochemistry: suitable, immunoprecipitation (IP): suitable, western blot: suitable
isotype
IgGκ
epitope sequence
Unknown
Protein ID accession no.
UniProt accession no.
storage temp.
-10 to -25°C
target post-translational modification
unmodified
Gene Information
human ... USP46(64854)
General description
Ubiquitin carboxyl-terminal hydrolase 46 (UniProt: P62068; also known as Deubiquitinating enzyme 46, Ubiquitin thioesterase 46, Ubiquitin-specific-processing protease 46, EC:3.4.19.12) is encoded by the USP46 gene (Gene ID: 64854) in human. USP46 gene encodes cysteine protease belonging to the ubiquitin-specific protease (USP) family of proteins. The protein contains a large USP domain (aa 35-365) and functions as a deubiquitinating enzyme capable of modifying cellular proteins. Modification of cellular proteins by ubiquitin is an essential regulatory mechanism controlled by the coordinated action of multiple ubiquitin-conjugating and deubiquitinating enzymes. USP46 cleaves ubiquitin from a ubiquitin-β-galactosidase fusion protein. These proteins regulate ubiquitin-mediated pathways that are involved in normal and pathological functions. It is also involved in the regulation of GABA action. Studies show that USP46, along with USP12, deubiquitinates both histone H2A and H2B. USP46 is predominantly localized in the cytoplasm. It is broadly expressed in multiple tissues, with high expression in heart muscle and CNS. Mutations or dysregulation of USP46 have been implicated in various diseases, particularly neuropsychiatric and neurological disorders. Additionally, USP46 may play a role in cancer, where its function in regulating protein stability and signaling pathways can contribute to tumor progression and resistance to therapy.(Ref.: Joo, et al. (2011). JBC 286(9); 7190-7201; Huo, Y., et al. (2015). J. Neurochem. 134(6); 1067-1080; Spencer, Z., et al. (2023). Nat Commun. 5;14(1); 6174).
Immunogen
FLAG-tagged, full length recombinant protein of USP46.
Application
Quality Control Testing
Evaluated by Western Blotting in lysates from USP46 (KO) 293T cells and wild type 293T cells.
Western Blotting Analysis (WB): A 1:1000 dilution of this antibody detected USP46 in lysate from wild type 293T cells, but not in USP46 (KO) 293T cell lysate.
Tested Applications
Western Blotting Analysis: A representative lot detected USP46 in Western Blotting applications (Joo, et al. (2011) JBC 286(9); 7190-7201).
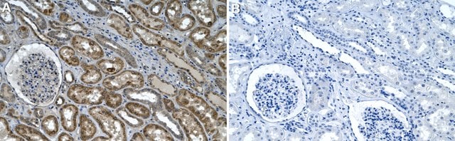
Immunohistochemistry (Paraffin) Analysis: A 1:250 dilution from a representative lot detected USP46 in Human kidney tissue sections.
Immunoprecipitation Analysis: A representative lot detected USP46 in Immunoprecipitation applications (Joo, et al. (2011) JBC 286(9); 7190-7201).
Chromatin Immunoprecipitation (ChIP) Analysis: A representative lot detected USP46 in Chromatin Immunoprecipitation applications (Joo, et al. (2011) JBC 286(9); 7190-7201).
Immunocytochemistry Analysis: A representative lot detected USP46 in Immunocytochemistry applications (Huo Y. (2015) J. Neurochem. 134(6); 1067-1080).
Note: Actual optimal working dilutions must be determined by end user as specimens, and experimental conditions may vary with the end user.
Evaluated by Western Blotting in lysates from USP46 (KO) 293T cells and wild type 293T cells.
Western Blotting Analysis (WB): A 1:1000 dilution of this antibody detected USP46 in lysate from wild type 293T cells, but not in USP46 (KO) 293T cell lysate.
Tested Applications
Western Blotting Analysis: A representative lot detected USP46 in Western Blotting applications (Joo, et al. (2011) JBC 286(9); 7190-7201).
Immunohistochemistry (Paraffin) Analysis: A 1:250 dilution from a representative lot detected USP46 in Human kidney tissue sections.
Immunoprecipitation Analysis: A representative lot detected USP46 in Immunoprecipitation applications (Joo, et al. (2011) JBC 286(9); 7190-7201).
Chromatin Immunoprecipitation (ChIP) Analysis: A representative lot detected USP46 in Chromatin Immunoprecipitation applications (Joo, et al. (2011) JBC 286(9); 7190-7201).
Immunocytochemistry Analysis: A representative lot detected USP46 in Immunocytochemistry applications (Huo Y. (2015) J. Neurochem. 134(6); 1067-1080).
Note: Actual optimal working dilutions must be determined by end user as specimens, and experimental conditions may vary with the end user.
Biochem/physiol Actions
This rabbit polyclonal antibody specifically detects USP46.
Physical form
Rabbit polyclonal antiserum without azide.
Preparation Note
Please refer to guidance on suggested starting dilutions and/or titers per application and sample type.
Store at -10°C to -25°C. Handling Recommendations: Upon receipt and prior to removing the cap, centrifuge the vial and gently mix the solution. Aliquot into microcentrifuge tubes and store at -20°C. Avoid repeated freeze/thaw cycles, which may damage IgG and affect product performance.
Other Notes
Concentration: Please refer to the Certificate of Analysis for the lot-specific concentration.
Disclaimer
Unless otherwise stated in our catalog or other company documentation accompanying the product(s), our products are intended for research use only and are not to be used for any other purpose, which includes but is not limited to, unauthorized commercial uses, in vitro diagnostic uses, ex vivo or in vivo therapeutic uses or any type of consumption or application to humans or animals.
Still not finding the right product?
Try our Product Selector Tool to narrow your options
Storage Class
10 - Combustible liquids
wgk
WGK 1
flash_point_f
Not applicable
flash_point_c
Not applicable
Regulatory Information
新产品
This item has
Certificates of Analysis (COA)
Search for Certificates of Analysis (COA) by entering the products Lot/Batch Number. Lot and Batch Numbers can be found on a product’s label following the words ‘Lot’ or ‘Batch’.
Already Own This Product?
Find documentation for the products that you have recently purchased in the Document Library.
Global Trade Item Number
| SKU | GTIN |
|---|---|
| ABS2230-100UL | 04065272163651 |
| ABS2230-25UL | 04065272163668 |