Sign In to View Organizational & Contract Pricing.
Select a Size
About This Item
UNSPSC Code:
12352203
NACRES:
NA.41
eCl@ss:
32160702
Conjugate:
unconjugated
Clone:
5C5.1, monoclonal
Application:
IHC, WB
Citations:
-
biological source
mouse
conjugate
unconjugated
antibody form
purified antibody
antibody product type
primary antibodies
clone
5C5.1, monoclonal
species reactivity
human
concentration
1 mg/mL
technique(s)
immunohistochemistry: suitable, western blot: suitable
isotype
IgG1κ
NCBI accession no.
UniProt accession no.
shipped in
wet ice
target post-translational modification
unmodified
Quality Level
Gene Information
human ... MT-CO1(4512)
General description
Cox-1, also known as Cytochrome C oxidase subunit 1, Cytochrome C oxidase polypeptide I, and encoded by the gene MT-CO1, CO1, COX1, MTCO1, is the catalytic subunit of Cytochrome C oxidase that forms the final reduction of oxygen to water in the respiratory chain. Subunits 1-3 form the functional core. Electrons originating in Cytochrome C are transferred via the copper A center of subunit 2 and the heme A of subunit 1 to the bimetallic center formed by the heme A3 and Copper B. The Cox-1 gene is encoded in the mitochondrion and the protein localizes to the inner mitochondrion membrane. It is expressed in all cells that contain functional mitochondria and mutations in Cox-1 are associated with various mitochondrial dysfunctional diseases that manifest themselves in defective vision, anemia, cardiomyopathy, muscle weakness and even some forms of cancer.
~65 kDa observed. Uncharacterized band(s) may appear in some lysates.
Immunogen
KLH-conjugated linear peptide corresponding to human Cox-1.
Application
Detect Cox-1 using this Anti-Cox-1 antibody, clone 5C5.1 validated for use in western blotting & IHC.
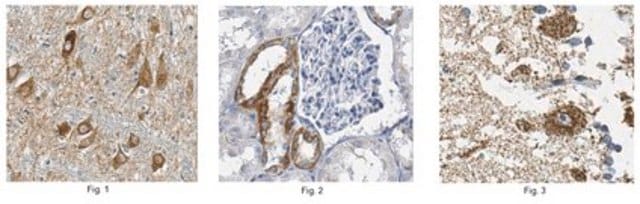
Immunohistochemistry Analysis: A 1:500-2,000 dilution from a representative lot detected Cox-1 in human thalamus, human kidney and human cerebellum tissue.
Research Category
Neuroscience
Neuroscience
Research Sub Category
Developmental Signaling
Developmental Signaling
Physical form
Format: Purified
Protein G Purified
Purified mouse monoclonal IgG1κ in buffer containing 0.1 M Tris-Glycine (pH 7.4), 150 mM NaCl with 0.05% sodium azide.
Preparation Note
Stable for 1 year at 2-8°C from date of receipt.
Analysis Note
Evaluated by Western Blotting in HeLa cell lysate.
Western Blotting Analysis: 1.0 µg/mL of this antibody detected Cox-1 in 10 µg of HeLa cell lysate.
Western Blotting Analysis: 1.0 µg/mL of this antibody detected Cox-1 in 10 µg of HeLa cell lysate.
Disclaimer
Unless otherwise stated in our catalog or other company documentation accompanying the product(s), our products are intended for research use only and are not to be used for any other purpose, which includes but is not limited to, unauthorized commercial uses, in vitro diagnostic uses, ex vivo or in vivo therapeutic uses or any type of consumption or application to humans or animals.
Not finding the right product?
Try our Product Selector Tool.
Storage Class
12 - Non Combustible Liquids
wgk
WGK 1
flash_point_f
Not applicable
flash_point_c
Not applicable
Certificates of Analysis (COA)
Search for Certificates of Analysis (COA) by entering the products Lot/Batch Number. Lot and Batch Numbers can be found on a product’s label following the words ‘Lot’ or ‘Batch’.
Already Own This Product?
Find documentation for the products that you have recently purchased in the Document Library.
Our team of scientists has experience in all areas of research including Life Science, Material Science, Chemical Synthesis, Chromatography, Analytical and many others.
Contact Technical Service