Skip to Content
Merck
CN

ZRB1606

Anti-Raf-1 Antibody, clone 1I3 ZooMAb® Rabbit Monoclonal

greener alternative

recombinant, expressed in HEK 293 cells

Synonym(s):

RAF proto-oncogene serine/threonine-protein kinase;EC:2.7.11.1;Proto-oncogene c-RAF;cRaf

Sign In to View Organizational & Contract Pricing.

Select a Size


About This Item

NACRES:
NA.41
UNSPSC Code:
12352203
Conjugate:
unconjugated
Clone:
1I3, recombinant monoclonal
Application:
IHC, WB, affinity binding assay
Citations:
-
Technical Service
Need help? Our team of experienced scientists is here for you.
Let Us Assist
Technical Service
Need help? Our team of experienced scientists is here for you.
Let Us Assist

biological source

rabbit

recombinant

expressed in HEK 293 cells

conjugate

unconjugated

antibody form

purified antibody

antibody product type

primary antibodies

clone

1I3, recombinant monoclonal

description

recombinant, expressed in HEK 293 cells

product line

ZooMAb® learn more

form

lyophilized

mol wt

calculated mol wt 73.05 kDa, observed mol wt ~85 kDa

purified by

using Protein A

species reactivity

human, mouse, rat

packaging

antibody small pack of 25 μL

greener alternative product characteristics

Waste Prevention
Designing Safer Chemicals
Design for Energy Efficiency
Learn more about the Principles of Green Chemistry.

enhanced validation

recombinant expression
Learn more about Antibody Enhanced Validation

sustainability

Greener Alternative Product

technique(s)

affinity binding assay: suitable, immunohistochemistry: suitable, western blot: suitable

isotype

IgG

epitope sequence

N-terminal

Protein ID accession no.

UniProt accession no.

greener alternative category

shipped in

ambient

storage temp.

2-8°C

target post-translational modification

unmodified

Quality Level

Gene Information

human ... RAF1(5894)

General description

RAF proto-oncogene serine/threonine-protein kinase (UniProt: P04049; also known as EC:2.7.11.1, Proto-oncogene c-RAF, cRaf, Raf-1) is encoded by the RAF1 (also known as RAF) gene (Gene ID: 5894) in human. Raf-1 is a serine/threonine protein kinase that acts as a regulatory link between the membrane-associated Ras GTPases and the MAP kinase cascade. Its regulation is a highly complex process that involves membrane recruitment, protein-protein interactions, dimerization, and phosphorylation/dephosphorylation events. It functions as a critical regulatory switch determining cell fate decisions including proliferation, differentiation, apoptosis, survival, and oncogenic transformation. Raf-1 activation initiates a MAP kinase cascade that includes sequential phosphorylation of MEK1/2 and ERK1/2. In its inactive conformation, Raf-1 is maintained by autoinhibitory interactions occurring between the N-terminal regulatory and the C-terminal catalytic domains and by the binding of a 14-3-3 protein that contacts two phosphorylation sites, serine 259 and 621. Upon mitogenic stimulation, Ras and PPP2R1A cooperate to release autoinhibition and the subsequent phosphorylation of activating sites that include serine 338, tyrosine 341, threonine 491, and serine 494 result in its full activation. Through a negative feedback mechanism involving ERK2, Raf-1 is phosphorylated on multiple serine residues (Serine 29, 43, 289, 296, 301, and 642) to yield an inactive, desensitized kinase. Two isoforms of Raf-1 have been described that are produced by alternative splicing. This ZooMAb® recombinant monoclonal antibody, generated by our propriety technology, offers significantly enhanced specificity, affinity, reproducibility, and stability over conventional monoclonals. (Ref.: Chen, J., et al. (2001). Proc. Natl. Acad. Sci. USA. 98(14); 7783-7788; Chong, H., et al. (2001). EMBO J. 20(14); 3716-3727).
We are committed to bringing you greener alternative products, which adhere to one or more of The 12 Principles of Green Chemistry.This antibody is Preservative-free, produced without the harm or sacrifice of animals and exceptionally stable to allow for ambient shipping and storage if needed and thus aligns with "Waste Prevention", "Designing Safer Chemicals" and "Design for Energy Efficiency". Click here for more information.
ZooMAb® antibodies represent an entirely new generation of recombinant monoclonal antibodies. Each ZooMAb® antibody is manufactured using our proprietary recombinant expression system, purified to homogeneity, and precisely dispensed to produce robust and highly reproducible lot-to-lot consistency. Only top-performing clones are released for use by researchers. Each antibody is validated for high specificity and affinity across multiple applications, including its most commonly used application. ZooMAb® antibodies are reliably available and ready to ship when you need them.

Immunogen

KLH-conjugated linear peptide corresponding to 19 amino acids from the N-terminal region of human Raf-1.

Application

Quality Control Testing

Evaluated by Western Blotting in U2OS cell lysate.

Western Blotting Analysis: A 1:1,000 dilution of this antibody detected Raf-1 in U2OS cell lysate.

Tested Applications

Western Blotting Analysis: A 1:1,000 dilution from a representative lot detected Raf-1 in C2C12, PC12, and NIH3T3 cell lysates.

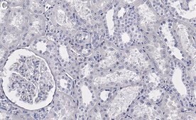
Immunohistochemistry (Paraffin) Analysis: A 1:1,000 dilution from a representative lot detected Raf-1 in human kidney tissue sections.

Affinity Binding Assay: A representative lot of this antibody bound Raf-1 peptide with a KD of 2.5 x 10-7 in an affinity binding assay.

Note: Actual optimal working dilutions must be determined by end user as specimens, and experimental conditions may vary with the end user.

Biochem/physiol Actions

Clone 1I3 is a ZooMAb® rabbit recombinant monoclonal antibody that specifically detects Raf-1. It targets an epitope within 19 amino acids from the N-terminal region.

Physical form

Purified recombinant rabbit monoclonal antibody IgG, lyophilized in PBS, 5% Trehalose, normal appearance a coarse or translucent resin. The PBS/trehalose components in the ZooMAb formulation can have the appearance of a semi-solid (bead like gel) after lyophilization. This is a normal phenomenon. Please follow the recommended reconstitution procedure in the data sheet to dissolve the semi-solid, bead-like, gel-appearing material. The resulting antibody solution is completely stable and functional as proven by full functional testing. Contains no biocide or preservatives, such as azide, or any animal by-products. Larger pack sizes provided as multiples of 25 μL.

Preparation Note

Recommend storage of lyophilized product at 2-8°C; Before reconstitution, micro-centrifuge vials briefly to spin down material to bottom of the vial; Reconstitute each vial by adding 25 μL of filtered lab grade water or PBS; Reconstituted antibodies can be stored at 2-8°C, or -20°C for long term storage. Avoid repeated freeze-thaws.
Reconstitute lyophilized antibody pellet with 25μL of ultrapure water or Phosphate Buffered Saline (PBS). Please refer to our reconstitution protocol and the specific application guidance on the suggested starting dilutions and sample type.

Legal Information

ZooMAb is a registered trademark of Merck KGaA, Darmstadt, Germany

Disclaimer

Unless otherwise stated in our catalog or other company documentation accompanying the product(s), our products are intended for research use only and are not to be used for any other purpose, which includes but is not limited to, unauthorized commercial uses, in vitro diagnostic uses, ex vivo or in vivo therapeutic uses or any type of consumption or application to humans or animals.

Not finding the right product?  

Try our Product Selector Tool.

Storage Class

11 - Combustible Solids

wgk

WGK 1

flash_point_f

Not applicable

flash_point_c

Not applicable

Regulatory Information

常规特殊物品
常规特殊物品
This item has

Choose from one of the most recent versions:

Certificates of Analysis (COA)

Lot/Batch Number

Don't see the Right Version?

If you require a particular version, you can look up a specific certificate by the Lot or Batch number.

Already Own This Product?

Find documentation for the products that you have recently purchased in the Document Library.

Visit the Document Library

Our team of scientists has experience in all areas of research including Life Science, Material Science, Chemical Synthesis, Chromatography, Analytical and many others.

Contact Technical Service