Sign In to View Organizational & Contract Pricing.
Select a Size
Change View
About This Item
UNSPSC Code:
12352203
Conjugate:
unconjugated
Clone:
CL15622, monoclonal
Application:
IHC, WB
Citations:
-
biological source
mouse
Quality Level
conjugate
unconjugated
antibody form
purified antibody (Protein A)
antibody product type
primary antibodies
clone
CL15622, monoclonal
product line
Prestige Antibodies® Powered by Atlas Antibodies
species reactivity
human
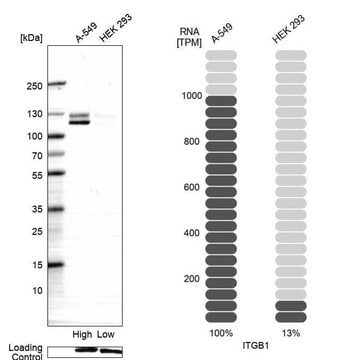
enhanced validation
orthogonal RNAseq
Learn more about Antibody Enhanced Validation
concentration
1 mg/mL
technique(s)
immunohistochemistry: 1:2500-1:5000, western blot: 1 μg/mL
pH range
7.2-7.4
isotype
IgG1
Ensembl | human accession no.
Protein ID accession no.
UniProt accession no.
shipped in
dry ice
storage temp.
-10 to -25°C
target post-translational modification
unmodified
Gene Information
human ... ITGB1(3688)
General description
The Human Protein Atlas project can be subdivided into three efforts: Human Tissue Atlas, Cancer Atlas, and Human Cell Atlas. The antibodies that have been generated in support of the Tissue and Cancer Atlas projects have been tested by immunohistochemistry against hundreds of normal and disease tissues and through the recent efforts of the Human Cell Atlas project, many have been characterized by immunofluorescence to map the human proteome not only at the tissue level but now at the subcellular level. These images and the collection of this vast data set can be viewed on the Human Protein Atlas (HPA) site by clicking on the Image Gallery link. We also provide Prestige Antibodies® protocols and other useful information.
Immunogen
Recombinant Protein Epitope Signature Tag (PrEST) antigen sequence
Application
All Prestige Antibodies Powered by Atlas Antibodies are developedand validated by the HumanProteinAtlas (HPA) project and as a result, are supported by the mostextensive characterization in the industry.
The Human Protein Atlas project can be subdivided into three efforts: Human TissueAtlas, Cancer Atlas, and Human Cell Atlas. The antibodies that have been generatedin support of the Tissue and Cancer Atlas projects have been tested byimmunohistochemistry against hundreds of normal and disease tissues and throughthe recent efforts of the Human Cell Atlas project, many have been characterizedby immunofluorescence to map the human proteome not only at the tissue levelbut now at the subcellular level. These images and the collection of this vastdata set can be viewed on the Human Protein Atlas (HPA) site by clicking on theImage Gallery link. We also provide Prestige Antibodies® protocolsand other useful information.
The Human Protein Atlas project can be subdivided into three efforts: Human TissueAtlas, Cancer Atlas, and Human Cell Atlas. The antibodies that have been generatedin support of the Tissue and Cancer Atlas projects have been tested byimmunohistochemistry against hundreds of normal and disease tissues and throughthe recent efforts of the Human Cell Atlas project, many have been characterizedby immunofluorescence to map the human proteome not only at the tissue levelbut now at the subcellular level. These images and the collection of this vastdata set can be viewed on the Human Protein Atlas (HPA) site by clicking on theImage Gallery link. We also provide Prestige Antibodies® protocolsand other useful information.
Features and Benefits
Prestige Antibodies® are highly characterized and extensively validated antibodies with the added benefit of all available characterization data for each target being accessible via the Human Protein Atlas portal linked just below the product name at the top of this page. The uniqueness and low cross-reactivity of the Prestige Antibodies® to other proteins are due to a thorough selection of antigen regions, affinity purification, and stringent selection. Prestige antigen controls are available for every corresponding Prestige Antibody and can be found in the linkage section.
Every Prestige Antibody is tested in the following ways:
Every Prestige Antibody is tested in the following ways:
- IHC tissue array of 44 normal human tissues and 20 of the most common cancer type tissues.
- Protein array of 364 human recombinant protein fragments.
Physical form
100UL pack size is provided in a solution, in PBS(phosphate-buffered saline), pH 7.2, containing 40% glycerol and 0.02% sodium azide.
Large pack size of 1ml (at 1mg/ml) is available in PBS only, purified, biocide free, carrier free and glycerol free. Order here
Large pack size of 1ml (at 1mg/ml) is available in PBS only, purified, biocide free, carrier free and glycerol free. Order here
Preparation Note
Upon arrival, mix gently and aliquot to avoid repeated freeze-thaw cycles
Legal Information
Prestige Antibodies is a registered trademark of Merck KGaA, Darmstadt, Germany
Still not finding the right product?
Explore all of our products under Monoclonal Anti-ITGB1 antibody produced in mouse
— or —
Try our Product Selector Tool to narrow your options
Storage Class
10 - Combustible liquids
Regulatory Information
新产品
This item has
Choose from one of the most recent versions:
Already Own This Product?
Find documentation for the products that you have recently purchased in the Document Library.
Global Trade Item Number
| SKU | GTIN |
|---|---|
| AMAB92059-100UL | 04065273201444 |