Skip to Content
Merck
CN

PLA0124

Rabbit anti-BLAP75 Antibody, Affinity Purified

Powered by Bethyl Laboratories, Inc.

Synonym(s):

75 kDa, BLAP75, BLM-Associated Polypeptide, BLM-associated protein 75 kDa, BLM-associated protein of 75 kDa, C9orf76, FAAP75, FLJ12888, RMI1, RecQ mediated genome instability 1, chromosome 9 open reading frame 76, homolog, homolog (S. cerevisiae), homolog of yeast RecQ-mediated genome instability 1 (RMI1)

Sign In to View Organizational & Contract Pricing.

Select a Size

Change View

About This Item

NACRES:
NA.41
UNSPSC Code:
12352203
Technical Service
Need help? Our team of experienced scientists is here for you.
Let Us Assist

biological source

rabbit

Quality Level

antibody form

affinity purified immunoglobulin

antibody product type

primary antibodies

species reactivity

human

technique(s)

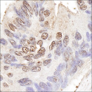
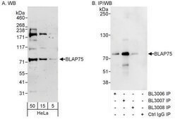
immunohistochemistry: 1:100- 1:500, immunoprecipitation (IP): 1-4 μg/mg, western blot: 1:2,000- 1:10,000

accession no.

NP_079221.1

shipped in

wet ice

storage temp.

2-8°C

Gene Information

rabbit ... BLAP75(80010)

Immunogen

The epitope recognized by PLA0124 maps to a region between residues 275 and 300 of human BLM Associated Protein, 75kDA using the numbering given in entry NP_079221.1 (GeneID 80010).

Physical form

Tris-buffered Saline containing 0.1% BSA containing 0.09% Sodium Azide

Other Notes

BLM-associated polypeptide, 75 kDa (BLAP75) is a component of a dissolvasome complex that contains BLM (Bloom syndrome protein) and TopoIII-alpha and functions to dissolve double Holliday junctions and suppress DNA crossover formation in mitotic cells.

Disclaimer

Unless otherwise stated in our catalog or other company documentation accompanying the product(s), our products are intended for research use only and are not to be used for any other purpose, which includes but is not limited to, unauthorized commercial uses, in vitro diagnostic uses, ex vivo or in vivo therapeutic uses or any type of consumption or application to humans or animals.

Not finding the right product?  

Try our Product Selector Tool.

Storage Class

12 - Non Combustible Liquids

wgk

WGK 1

flash_point_f

Not applicable

flash_point_c

Not applicable

Regulatory Information

新产品

This item has


Choose from one of the most recent versions:

Certificates of Analysis (COA)

Lot/Batch Number

It looks like we've run into a problem, but you can still download Certificates of Analysis from our Documents section.

If you need assistance, please contact Customer Support

Already Own This Product?

Find documentation for the products that you have recently purchased in the Document Library.

Visit the Document Library

Our team of scientists has experience in all areas of research including Life Science, Material Science, Chemical Synthesis, Chromatography, Analytical and many others.

Contact Technical Service