Skip to Content
Merck
CN

S0696

Anti-Striatin antibody produced in rabbit

affinity isolated antibody, buffered aqueous solution

Sign In to View Organizational & Contract Pricing.

Select a Size

Change View

About This Item

UNSPSC Code:
12352203
NACRES:
NA.41
MDL number:
Conjugate:
unconjugated
Clone:
polyclonal
Application:
ARR, WB
Citations:
4
Technical Service
Need help? Our team of experienced scientists is here for you.
Let Us Assist


biological source

rabbit

conjugate

unconjugated

antibody form

affinity isolated antibody

antibody product type

primary antibodies

clone

polyclonal

form

buffered aqueous solution

mol wt

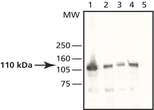
110 kDa

species reactivity

mouse, rat

technique(s)

microarray: suitable, western blot: 1.5-3.0 μg/mL using whole cell extract of mouse fibroblast NIH3T3 cell line, western blot: 3-5 μg/mL using mouse brain and rat brain extract (S1 fraction)

UniProt accession no.

shipped in

dry ice

storage temp.

−20°C

target post-translational modification

unmodified

Gene Information

human ... STRN(6801)
mouse ... Strn(268980)
rat ... Strn(29149)

General description

Striatin (STRN) is also termed as calmodulin-binding protein. Heart, kidney, several digestive organs and the adrenal shows its expression. STRN is located on human chromosome 2p22.2. It is a neuronal, membrane associated protein. Striatin is multimodular and belongs to a family of Ca2+ and calmodulin binding proteins with WD motif repeats, that includes SG2NA and zinedin. Striatin is found in low abundance in the rat brain. It is mostly expressed in neurons of the motor and olfactory structures of the central nervous system, predominantly in the striatum. It is found to be expressed in the somatodendritic compartment of neurons and in dendritic spines.

Immunogen

synthetic peptide corresponding to amino acids 378-396 located in the mid region of mouse striatin, conjugated to KLH. This sequence is highly conserved in rat and human striatin (84-89% identity).

Application

Anti-Striatin antibody produced in rabbit may be used in immunoblotting.

Biochem/physiol Actions

Anti-Striatin recognizes mouse and rat striatin, 110 kDa.
Striatin (STRN) forms a complex with protein phosphatase 2A (PP2A) and has been shown to function as an estrogen receptor alpha (ERα)-binding protein. It plays a key role as a molecular anchor which helps to localize ERα to the membrane. STRN also aid in systematizing the ERα-endothelial NOS (eNOS) membrane signaling complex. It has been suggested that striatin is an adaptor or transducer protein involved in Ca2+ and calmodulin-dependent signaling events within dendritic spines. Down regulation of striatin, which is expressed in a few subsets of neurons, impairs the growth of dendrites as well as locomotor activity.

Physical form

Solution in 0.01 M phosphate buffered saline, pH 7.4, containing 15 mM sodium azide.

Preparation Note

For continuous use, store at 2-8 °C for up to one month. For extended storage freeze in working aliquots. Repeated freezing and thawing, or storage in "frost-free" freezers, is not recommended. If slight turbidity occurs upon prolonged storage, clarify the solution by centrifugation before use. Working dilution samples should be discarded if not used within 12 hours.

Disclaimer

Unless otherwise stated in our catalog or other company documentation accompanying the product(s), our products are intended for research use only and are not to be used for any other purpose, which includes but is not limited to, unauthorized commercial uses, in vitro diagnostic uses, ex vivo or in vivo therapeutic uses or any type of consumption or application to humans or animals.


Still not finding the right product?

Try our Product Selector Tool to narrow your options


Regulatory Information

新产品

This item has



Choose from one of the most recent versions:

Certificates of Analysis (COA)

Lot/Batch Number

Don't see the Right Version?

If you require a particular version, you can look up a specific certificate by the Lot or Batch number.

Already Own This Product?

Find documentation for the products that you have recently purchased in the Document Library.

Visit the Document Library



Striatin assembles a membrane signaling complex necessary for rapid, nongenomic activation of endothelial NO synthase by estrogen receptor alpha
Lu Q, et al.
Proceedings of the National Academy of Sciences, 101(49), 17126-17131 (2004)
Detection of an ALK fusion in colorectal carcinoma by hybrid capture-based assay of circulating tumor DNA
Lai AZ, et al.
Oncologist, 22(7), 774-774 (2017)
Interaction of calmodulin with striatin, a WD-repeat protein present in neuronal dendritic spines
Bartoli M, et al.
Test, 273(35), 22248-22253 (1998)



Global Trade Item Number

SKUGTIN
S0696-200UL04061837724251