Sign In to View Organizational & Contract Pricing.
Select a Size
Change View
About This Item
UNSPSC Code:
12352203
biological source
rabbit
conjugate
unconjugated
antibody form
purified immunoglobulin
antibody product type
primary antibodies
clone
polyclonal
form
liquid
mol wt
34 kDa
species reactivity
human, mouse
concentration
1 mg/mL
technique(s)
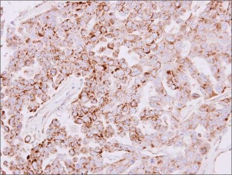
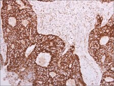
immunocytochemistry: suitable, immunofluorescence: suitable, immunohistochemistry (formalin-fixed, paraffin-embedded sections): suitable, western blot: 1000-10000
UniProt accession no.
shipped in
wet ice
storage temp.
−20°C
Gene Information
human ... SLC25A22(79751)
Immunogen
Recombinant fragment corresponding to a region within amino acids 1 and 323 of SLC25A22 (Uniprot ID#Q9H936)
Application
Suggested starting dilutions are as follows: ICC/IF: 1:100-1:1000, IHC-P: 1:100-1:1000, WB: 1:1000-1:10000. Not yet tested in other applications. Optimal working dilutions should be determined experimentally by the end user.
Biochem/physiol Actions
The SLC25 gene family encodes mitochondrial carriers that transport a variety of metabolites across the inner mitochondrial membrane (Palmieri, 2004 [PubMed 14598172]). SLC25A22, also known as GC1, is 1 of the 2 mitochondrial glutamate/H+ symporters, the other being SLC25A18 (MIM 609303).[supplied by OMIM]
Features and Benefits
Evaluate our antibodies with complete peace of mind. If the antibody does not perform in your application, we will issue a full credit or replacement antibody. Learn more.
Physical form
0.1M Tris, 0.1M Glycine, 10% Glycerol (pH7). 0.01% Thimerosal was added as a preservative.
Disclaimer
For U.S. Customers: Contains mercury; Do not place in trash - dispose according to local, state, or federal laws.


Unless otherwise stated in our catalog or other company documentation accompanying the product(s), our products are intended for research use only and are not to be used for any other purpose, which includes but is not limited to, unauthorized commercial uses, in vitro diagnostic uses, ex vivo or in vivo therapeutic uses or any type of consumption or application to humans or animals.
Still not finding the right product?
Explore all of our products under Anti-SLC25A22 antibody produced in rabbit
— or —
Try our Product Selector Tool to narrow your options
Storage Class
10 - Combustible liquids
wgk
WGK 1
flash_point_f
Not applicable
flash_point_c
Not applicable
Regulatory Information
常规特殊物品
This item has
Choose from one of the most recent versions:
Already Own This Product?
Find documentation for the products that you have recently purchased in the Document Library.
Elias Adriaenssens et al.
Nature cell biology (2023-01-24)
Mitochondria are complex organelles with different compartments, each harbouring their own protein quality control factors. While chaperones of the mitochondrial matrix are well characterized, it is poorly understood which chaperones protect the mitochondrial intermembrane space. Here we show that cytosolic