Skip to Content
Merck
CN

SAB4200062

Anti-XTP3-B antibody produced in rabbit

~1.0 mg/mL, affinity isolated antibody, buffered aqueous solution

Synonym(s):

Anti-ERLEC1, Anti-Endoplasmic reticulum lectin 1, Anti-Erlectin 1, Anti-XTP3-transactivated protein B, Anti-XTP3TPB

Sign In to View Organizational & Contract Pricing.

Select a Size

Change View

About This Item

NACRES:
NA.41
UNSPSC Code:
12352203
Conjugate:
unconjugated
Clone:
polyclonal
Application:
IF, WB
Citations:
5
Technical Service
Need help? Our team of experienced scientists is here for you.
Let Us Assist


biological source

rabbit

conjugate

unconjugated

antibody form

affinity isolated antibody

antibody product type

primary antibodies

clone

polyclonal

form

buffered aqueous solution

mol wt

antigen ~54 kDa

species reactivity

human, rat, mouse

packaging

antibody small pack of 25 μL

concentration

~1.0 mg/mL

technique(s)

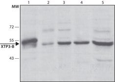
indirect immunofluorescence: 2-5 μg/mL using rat NRK cells, western blot: 1-2 μg/mL using whole extracts of human G361 and mouse 3T3 cells

UniProt accession no.

shipped in

dry ice

storage temp.

−20°C

target post-translational modification

unmodified

Gene Information

human ... ERLEC1(27248)

General description

XTP3-transactivated gene B precursor (XTP3-B), also known as Erlectin is an ER-resident lectin. XTP3-B contains two mannose 6-phosphate receptor homology (MRH) domains in its sequence. The XTP3-B gene is mapped to human chromosome 2p16.2.

Application

Anti-XTP3-B antibody produced in rabbit has been used in immunoblotting and immunofluorescence.

Biochem/physiol Actions

XTP3-transactivated gene B precursor (XTP3-B), plays a role in endoplasmic-reticulum-associated protein degradation (ERAD) selection and targeting processes. Human XTP3-B associates with the SEL1L/HRD1 ubiquitin ligase complex in the ER membrane and with the ER chaperone BiP, forming an ER quality control scaffold complex. This large complex is involved in identifying and sorting of misfolded glycoproteins and non-glycosylated proteins prior to retrotranslocation into the cytoplasm for degradation.

Physical form

Solution in 0.01 M phosphate buffered saline pH 7.4, containing 15 mM sodium azide.

Disclaimer

Unless otherwise stated in our catalog or other company documentation accompanying the product(s), our products are intended for research use only and are not to be used for any other purpose, which includes but is not limited to, unauthorized commercial uses, in vitro diagnostic uses, ex vivo or in vivo therapeutic uses or any type of consumption or application to humans or animals.


Still not finding the right product?

Try our Product Selector Tool to narrow your options


Storage Class

10 - Combustible liquids

flash_point_f

Not applicable

flash_point_c

Not applicable

Regulatory Information

新产品

This item has



Choose from one of the most recent versions:

Certificates of Analysis (COA)

Lot/Batch Number

It looks like we've run into a problem, but you can still download Certificates of Analysis from our Documents section.

If you need assistance, please contact Customer Support

Already Own This Product?

Find documentation for the products that you have recently purchased in the Document Library.

Visit the Document Library


Related Content


Cristina-Maria Cruciat et al.
The Journal of biological chemistry, 281(18), 12986-12993 (2006-03-15)
Kremen1 and 2 (Krm1/2) are coreceptors for Dickkopf1 (Dkk1), an antagonist of Wnt/beta-catenin signaling, and play a role in head induction during early Xenopus development. In a proteomic approach we identified Erlectin, a novel protein that interacts with Krm2. Erlectin
Human XTP3-B forms an ER quality-control scaffold with the HRD1-SEL1L ubiquitin ligase complex and BiP
Hosokawa N, et al.
The Journal of Biological Chemistry, 283(30), 20914-20924 (2008)
The Molecular Karyotype of 25 Clinical-Grade Human Embryonic Stem Cell Lines.
Canham MA, et al.
Scientific Reports, 5, 17258-17258 (2015)



Global Trade Item Number

SKUGTIN
SAB4200062-25UL04061837897870
SAB4200062-200UL04061837897863