Skip to Content
Merck
CN

SAB4300393

Anti-JAK1 (Ab-1022) antibody produced in rabbit

affinity isolated antibody

Synonym(s):

Anti-JAK1A antibody produced in rabbit, Anti-JAK1B antibody produced in rabbit, Anti-JTK3 antibody produced in rabbit, Anti-Janus kinase 1 (a protein tyrosine kinase) antibody produced in rabbit

Sign In to View Organizational & Contract Pricing.

Select a Size

Change View

About This Item

NACRES:
NA.41
UNSPSC Code:
12352203
Conjugate:
unconjugated
Clone:
polyclonal
Application:
IHC (p), WB
Citations:
1
Technical Service
Need help? Our team of experienced scientists is here for you.
Let Us Assist


biological source

rabbit

conjugate

unconjugated

antibody form

affinity isolated antibody

antibody product type

primary antibodies

clone

polyclonal

form

buffered aqueous solution

mol wt

~130 kDa

species reactivity

rat, mouse, human

concentration

1 mg/mL

technique(s)

immunohistochemistry (formalin-fixed, paraffin-embedded sections): 1:50-1:100, western blot: 1:500-1:1000

isotype

IgG

immunogen sequence

(K-E-Y-Y-T)

NCBI accession no.

UniProt accession no.

shipped in

wet ice

storage temp.

−20°C

target post-translational modification

unmodified

Gene Information

human ... JAK1(3716)

General description

Tyrosine kinase of the non-receptor type, involved in the IFN-alpha/beta/gamma signal pathway. Kinase partner for the interleukin (IL)-2 receptor.

Immunogen

Peptide sequence around aa. 1020-1024 (K-E-Y-Y-T), according to the protein JAK1.

Features and Benefits

Evaluate our antibodies with complete peace of mind. If the antibody does not perform in your application, we will issue a full credit or replacement antibody. Learn more.

Physical form

Solution in phosphate-buffered saline containing 0.02% sodium azide and 50% glycerol

Disclaimer

Unless otherwise stated in our catalog or other company documentation accompanying the product(s), our products are intended for research use only and are not to be used for any other purpose, which includes but is not limited to, unauthorized commercial uses, in vitro diagnostic uses, ex vivo or in vivo therapeutic uses or any type of consumption or application to humans or animals.


Still not finding the right product?

Try our Product Selector Tool to narrow your options


Storage Class

12 - Non Combustible Liquids

wgk

WGK 1

flash_point_f

Not applicable

flash_point_c

Not applicable

Regulatory Information

常规特殊物品
低风险生物材料

This item has



Choose from one of the most recent versions:

Certificates of Analysis (COA)

Lot/Batch Number

Don't see the Right Version?

If you require a particular version, you can look up a specific certificate by the Lot or Batch number.

Already Own This Product?

Find documentation for the products that you have recently purchased in the Document Library.

Visit the Document Library



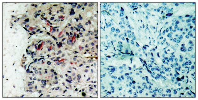
Hongnan Jiang et al.
Oncology reports, 48(5) (2022-10-01)
The present study aimed to investigate the underlying regulatory mechanism of MYCL proto‑oncogene (MYCL) in triple‑negative breast cancer (TNBC) progression. In vitro experiments were performed to confirm the functional roles of MYCL in TNBC, and its effects on the JAK/STAT3 pathway



Global Trade Item Number

SKUGTIN
SAB4300393-100UG04061832703794