Skip to Content
Merck
CN

SAB4300802

Anti-INHBC antibody produced in rabbit

affinity isolated antibody

Synonym(s):

IHBC

Sign In to View Organizational & Contract Pricing.

Select a Size

Change View

About This Item

NACRES:
NA.41
UNSPSC Code:
12352203
Technical Service
Need help? Our team of experienced scientists is here for you.
Let Us Assist


biological source

rabbit

antibody form

affinity isolated antibody

antibody product type

primary antibodies

clone

polyclonal

form

buffered aqueous solution

mol wt

38 kDa

species reactivity

human

concentration

2.2 mg/mL

technique(s)

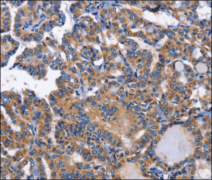
immunohistochemistry: 1:50- 1:200, western blot: 1:500-1:2000 (Cell Lysate)

isotype

IgG

accession no.

NP_005529.1

UniProt accession no.

shipped in

wet ice

storage temp.

−20°C

Gene Information

human ... INHBC(3626)

Immunogen

Fusion protein corresponding to a region derived from internal residues of human inhibin, beta C

Biochem/physiol Actions

The antibody detects endogenous levels of total INHBC protein.

Features and Benefits

Evaluate our antibodies with complete peace of mind. If the antibody does not perform in your application, we will issue a full credit or replacement antibody. Learn more.

Physical form

Rabbit IgG in pH7.3 PBS, 0.05% NaN3, 50% Glycerol.

Disclaimer

Unless otherwise stated in our catalog or other company documentation accompanying the product(s), our products are intended for research use only and are not to be used for any other purpose, which includes but is not limited to, unauthorized commercial uses, in vitro diagnostic uses, ex vivo or in vivo therapeutic uses or any type of consumption or application to humans or animals.


Still not finding the right product?

Try our Product Selector Tool to narrow your options


Storage Class

10 - Combustible liquids

wgk

WGK 1

flash_point_f

Not applicable

flash_point_c

Not applicable

Regulatory Information

新产品

This item has



Choose from one of the most recent versions:

Certificates of Analysis (COA)

Lot/Batch Number

Don't see the Right Version?

If you require a particular version, you can look up a specific certificate by the Lot or Batch number.

Already Own This Product?

Find documentation for the products that you have recently purchased in the Document Library.

Visit the Document Library