Skip to Content
Merck
CN

SAB4300879

Anti-BPIFB3 antibody produced in rabbit

affinity isolated antibody

Synonym(s):

BPI fold containing family B, C20orf185, LPLUNC3, RYA3, member 3

Sign In to View Organizational & Contract Pricing.

Select a Size

Change View

About This Item

NACRES:
NA.41
UNSPSC Code:
12352203
Technical Service
Need help? Our team of experienced scientists is here for you.
Let Us Assist


biological source

rabbit

antibody form

affinity isolated antibody

antibody product type

primary antibodies

clone

polyclonal

form

buffered aqueous solution

mol wt

50 kDa

species reactivity

human

concentration

1.1 mg/mL

technique(s)

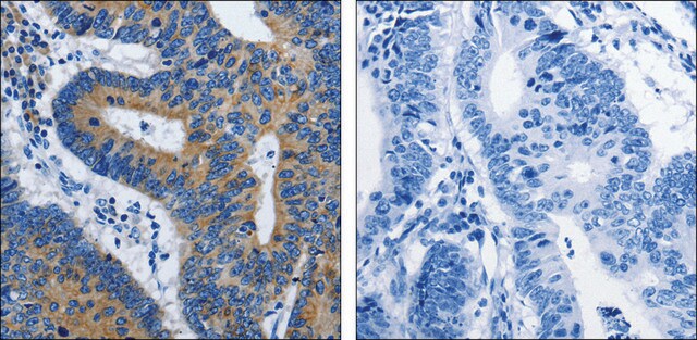
immunohistochemistry: 1:25- 1:100, western blot: 1:1000-1:5000 (Cell Lysate)

isotype

IgG

accession no.

NP_872599.1

UniProt accession no.

shipped in

wet ice

storage temp.

−20°C

Gene Information

human ... BPIFB3(359710)

Immunogen

Synthetic peptide corresponding to a region derived from 260-273 amino acids of Human BPI fold containing family B, member 3

Biochem/physiol Actions

The antibody detects endogenous level of total BPIFB3 protein.

Features and Benefits

Evaluate our antibodies with complete peace of mind. If the antibody does not perform in your application, we will issue a full credit or replacement antibody. Learn more.

Physical form

Supplied at 1.1mg/mL in phosphate buffered saline (without Mg2+ and Ca2+), pH 7.3, 0.05% sodium azide and 50% glycerol.

Disclaimer

Unless otherwise stated in our catalog or other company documentation accompanying the product(s), our products are intended for research use only and are not to be used for any other purpose, which includes but is not limited to, unauthorized commercial uses, in vitro diagnostic uses, ex vivo or in vivo therapeutic uses or any type of consumption or application to humans or animals.


Still not finding the right product?

Try our Product Selector Tool to narrow your options


Storage Class

10 - Combustible liquids

wgk

WGK 1

flash_point_f

Not applicable

flash_point_c

Not applicable

Regulatory Information

新产品

This item has



Choose from one of the most recent versions:

Certificates of Analysis (COA)

Lot/Batch Number

Don't see the Right Version?

If you require a particular version, you can look up a specific certificate by the Lot or Batch number.

Already Own This Product?

Find documentation for the products that you have recently purchased in the Document Library.

Visit the Document Library