Skip to Content
Merck
CN

SAB4301587

Anti-RNF20

affinity isolated antibody

Synonym(s):

BRE1, BRE1A, hBRE1

Sign In to View Organizational & Contract Pricing.

Select a Size


About This Item

NACRES:
NA.41
UNSPSC Code:
12352203
Conjugate:
unconjugated
Clone:
polyclonal
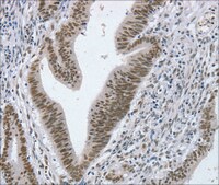
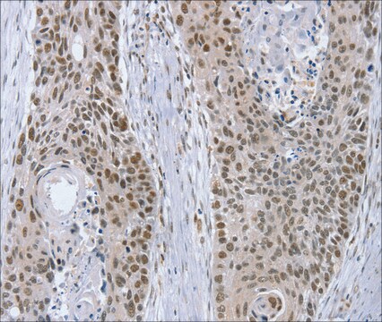
Application:
IHC, WB
Citations:
-
Technical Service
Need help? Our team of experienced scientists is here for you.
Let Us Assist
Technical Service
Need help? Our team of experienced scientists is here for you.
Let Us Assist

biological source

rabbit

conjugate

unconjugated

antibody form

affinity isolated antibody

antibody product type

primary antibodies

clone

polyclonal

form

buffered aqueous glycerol solution

species reactivity

human

technique(s)

immunohistochemistry: 1:10-1:50, western blot: 1:500-1:2000

accession no.

BC110585

UniProt accession no.

shipped in

wet ice

storage temp.

−20°C

target post-translational modification

unmodified

Quality Level

Gene Information

human ... RNF20(56254)

Immunogen

Fusion protein corresponding to residues near the C terminal of human ring finger protein 20, E3 ubiquitin protein ligase

Features and Benefits

Evaluate our antibodies with complete peace of mind. If the antibody does not perform in your application, we will issue a full credit or replacement antibody. Learn more.

Physical form

Rabbit IgG in pH7.4 PBS, 0.05% NaN3, 40% Glycerol.

Not finding the right product?  

Try our Product Selector Tool.

Storage Class

10 - Combustible liquids

wgk

WGK 1

flash_point_f

Not applicable

flash_point_c

Not applicable

Regulatory Information

常规特殊物品
This item has

Choose from one of the most recent versions:

Certificates of Analysis (COA)

Lot/Batch Number

It looks like we've run into a problem, but you can still download Certificates of Analysis from our Documents section.

If you need assistance, please contact Customer Support

Already Own This Product?

Find documentation for the products that you have recently purchased in the Document Library.

Visit the Document Library

Our team of scientists has experience in all areas of research including Life Science, Material Science, Chemical Synthesis, Chromatography, Analytical and many others.

Contact Technical Service