Skip to Content
Merck
CN

SAB4502586

Anti-Retinoblastoma antibody produced in rabbit

affinity isolated antibody

Synonym(s):

P105-RB, PP105, PP110, RB-1, RB1

Sign In to View Organizational & Contract Pricing.

Select a Size


About This Item

NACRES:
NA.41
UNSPSC Code:
12352203
Conjugate:
unconjugated
Clone:
polyclonal
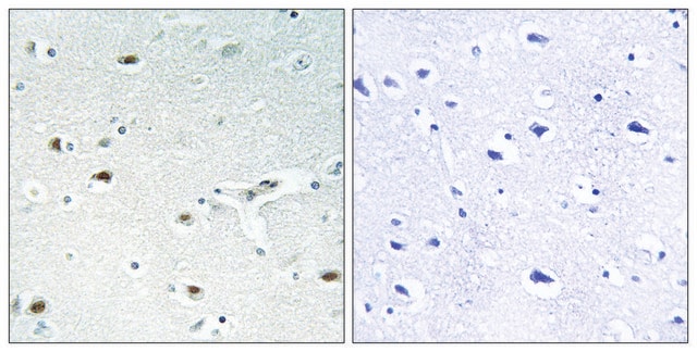
Application:
ELISA, IF, IHC
Citations:
4
Technical Service
Need help? Our team of experienced scientists is here for you.
Let Us Assist
Technical Service
Need help? Our team of experienced scientists is here for you.
Let Us Assist

biological source

rabbit

conjugate

unconjugated

antibody form

affinity isolated antibody

antibody product type

primary antibodies

clone

polyclonal

form

buffered aqueous solution

mol wt

antigen 106 kDa

species reactivity

mouse, rat, human

concentration

~1 mg/mL

technique(s)

ELISA: 1:1000, immunofluorescence: 1:100-1:500, immunohistochemistry: 1:50-1:100

NCBI accession no.

UniProt accession no.

shipped in

wet ice

storage temp.

−20°C

target post-translational modification

unmodified

Gene Information

human ... RB1(5925)

Looking for similar products? Visit Product Comparison Guide

General description

The gene encoding Retinoblastoma-associated protein (RB1) is a tumor suppressor gene localized on human chromosome 13q14.2. Anti-Retinoblastoma Antibody detects endogenous levels of total Retinoblastoma protein.

Immunogen

The antiserum was produced against synthesized peptide derived from human Retinoblastoma.

Immunogen Range: 601-650

Biochem/physiol Actions

Retinoblastoma-associated protein (RB1) modulates the cell cycle. It acts as a repressor of transcription mediated by E2 factor (E2F) and influences transcriptional silencing. RB1 modulates mitochondrial activities and has a role in the organisation of heterochromatin. Mutations in the gene encoding this protein have been associated with childhood retinoblastoma.

Features and Benefits

Evaluate our antibodies with complete peace of mind. If the antibody does not perform in your application, we will issue a full credit or replacement antibody. Learn more.

Physical form

Rabbit IgG in phosphate buffered saline (without Mg2+ and Ca2+), pH 7.4, 150mM NaCl, 0.02% sodium azide and 50% glycerol.

Not finding the right product?  

Try our Product Selector Tool.

Storage Class

10 - Combustible liquids

wgk

nwg

flash_point_f

Not applicable

flash_point_c

Not applicable

Regulatory Information

常规特殊物品
This item has

Choose from one of the most recent versions:

Certificates of Analysis (COA)

Lot/Batch Number

Don't see the Right Version?

If you require a particular version, you can look up a specific certificate by the Lot or Batch number.

Already Own This Product?

Find documentation for the products that you have recently purchased in the Document Library.

Visit the Document Library

Frequent deletions at 11q23 and 13q14 in B cell prolymphocytic leukemia (B-PLL).
Lens D
Leukemia, 14(3), 427-430 (2000)
Deficiencies in Cellular Processes Modulated by the Retinoblastoma Protein Do Not Account for Reduced Human Cytomegalovirus Replication in Its Absence.
VanDeusen HR and Kalejta RF
Journal of Virology, 89(23), 11965-11974 (2015)
Saeeda Kalsoom et al.
Molecular vision, 21, 1085-1092 (2015-09-24)
Retinoblastoma (RB) is a rare intraocular malignant tumor of the developing retina with an estimated incidence of 1:20,000 live births in children under the age of 5 years. In addition to the abnormal whitish appearance of the pupil or leukocoria
Halena R VanDeusen et al.
Journal of virology, 89(9), 5012-5021 (2015-02-20)
The retinoblastoma (Rb) tumor suppressor controls cell cycle, DNA damage, apoptotic, and metabolic pathways. DNA tumor virus oncoproteins reduce Rb function by either inducing Rb degradation or physically disrupting complexes between Rb and its myriad binding proteins. Human cytomegalovirus (HCMV)

Our team of scientists has experience in all areas of research including Life Science, Material Science, Chemical Synthesis, Chromatography, Analytical and many others.

Contact Technical Service