Skip to Content
Merck
CN

SAB5702707

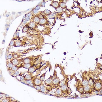
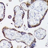
Anti-Nectin 2/CD112 Antibody, clone 3H0G2, Rabbit Monoclonal

Synonym(s):

CD112, HVEB, PRR2, PVRL2, PVRR2

Sign In to View Organizational & Contract Pricing.

Select a Size


About This Item

NACRES:
NA.46
UNSPSC Code:
12352203
Species reactivity:
human, rat
Conjugate:
unconjugated
Application:
IHC, WB
Citations:
-
Technical Service
Need help? Our team of experienced scientists is here for you.
Let Us Assist
Technical Service
Need help? Our team of experienced scientists is here for you.
Let Us Assist

species reactivity

human, rat

biological source

rabbit

conjugate

unconjugated

material

colorless

clone

3H0G2, monoclonal

form

liquid

mol wt

72 kDa

concentration

0.42 mg/mL

technique(s)

immunohistochemistry: 1:50 - 1:200, western blot: 1:500 - 1:2000

color

colorless

isotype

IgG

immunogen sequence

TPKAKLEAQEMPSQLFTLGASEHSPLKTPYFDAGASCTEQEMPRYHELPTLEERSGPLHPGATSLGSPIPVPPGPPAVEDVSLDLEDEEGEEEEEYLDKINPIYDALSYSSPSDSYQGKGFVMSRAMYV

UniProt accession no.

shipped in

wet ice

storage temp.

−20°C

target post-translational modification

unmodified

Quality Level

Gene Information

human ... NECTIN2(5819)

General description

This gene encodes a single-pass type I membrane glycoprotein with two Ig-like C2-type domains and an Ig-like V-type domain. This protein is one of the plasma membrane components of adherens junctions. It also serves as an entry for certain mutant strains of herpes simplex virus and pseudorabies virus, and it is involved in cell to cell spreading of these viruses. Variations in this gene have been associated with differences in the severity of multiple sclerosis. Alternate transcriptional splice variants, encoding different isoforms, have been characterized. [provided by RefSeq, Jul 2008]

Immunogen

PBS with 0.02% sodium azide,0.05% BSA,50% glycerol,pH7.3.
Recombinant fusion protein containing a sequence corresponding to amino acids 410-538 of human Nectin 2/CD112 (Q92692).

Application

WB, IHC

Storage Class

10 - Combustible liquids

wgk

WGK 1

Regulatory Information

常规特殊物品
This item has

Choose from one of the most recent versions:

Certificates of Analysis (COA)

Lot/Batch Number

It looks like we've run into a problem, but you can still download Certificates of Analysis from our Documents section.

If you need assistance, please contact Customer Support

Already Own This Product?

Find documentation for the products that you have recently purchased in the Document Library.

Visit the Document Library

Our team of scientists has experience in all areas of research including Life Science, Material Science, Chemical Synthesis, Chromatography, Analytical and many others.

Contact Technical Service