Skip to Content
Merck
CN

SAB5702717

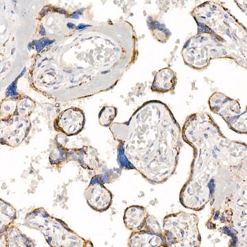
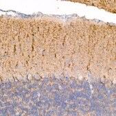
Anti-Kallikrein 8 Antibody, clone 5J5H9, Rabbit Monoclonal

Synonym(s):

KLK8, HNP, NP, NRPN, PRSS19, TADG14, kallikrein-8

Sign In to View Organizational & Contract Pricing.

Select a Size

Change View

About This Item

NACRES:
NA.46
UNSPSC Code:
12352203
Species reactivity:
rat, human
Conjugate:
unconjugated
Application:
IHC, WB
Citations:
-
Technical Service
Need help? Our team of experienced scientists is here for you.
Let Us Assist


biological source

rabbit

Quality Level

conjugate

unconjugated

material

colorless

clone

5J5H9, monoclonal

form

liquid

mol wt

35 kDa

species reactivity

rat, human

concentration

1.2 mg/mL

technique(s)

immunohistochemistry: 1:50 - 1:200, western blot: 1:500 - 1:2000

color

colorless

isotype

IgG

immunogen sequence

TSPRENFPDTLNCAEVKIFPQKKCEDAYPGQITDGMVCAGSSKGADTCQGDSGGPLVCDGALQGITSWGSDPCGRSDKPGVYTNICRYLDWIKKIIGSKG

UniProt accession no.

shipped in

wet ice

storage temp.

−20°C

target post-translational modification

unmodified

Gene Information

General description

Kallikreins are a subgroup of serine proteases having diverse physiological functions. Growing evidence suggests that many kallikreins are implicated in carcinogenesis and some have potential as novel cancer and other disease biomarkers. This gene is one of the fifteen kallikrein subfamily members located in tandem in a gene cluster on chromosome 19. The encoded protein may be involved in proteolytic cascade in the skin and may serve as a biomarker for ovarian cancer. Alternate splicing of this gene results in multiple transcript variants encoding different isoforms.

Immunogen

A synthetic peptide corresponding to a sequence within amino acids 161-260 of human Kallikrein 8 (O60259).
PBS with 0.02% sodium azide,0.05% BSA,50% glycerol,pH7.3.

Application

WB, IHC


Storage Class

10 - Combustible liquids

wgk

WGK 1

Regulatory Information

常规特殊物品

This item has



Choose from one of the most recent versions:

Certificates of Analysis (COA)

Lot/Batch Number

It looks like we've run into a problem, but you can still download Certificates of Analysis from our Documents section.

If you need assistance, please contact Customer Support

Already Own This Product?

Find documentation for the products that you have recently purchased in the Document Library.

Visit the Document Library



Global Trade Item Number

SKUGTIN
SAB5702717-100UL04065270687968