Skip to Content
Merck
CN

SAB5702951

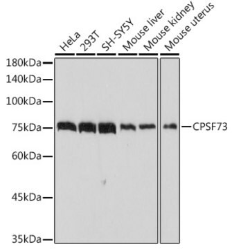
Anti-CPSF73 Antibody, clone 4S4P2, Rabbit Monoclonal

Synonym(s):

CPSF3, CPSF-73, CPSF73, cleavage and polyadenylation specific factor 3

Sign In to View Organizational & Contract Pricing.

Select a Size

Change View

About This Item

NACRES:
NA.46
UNSPSC Code:
12352203
Species reactivity:
human, rat
Conjugate:
unconjugated
Application:
WB
Citations:
-
Technical Service
Need help? Our team of experienced scientists is here for you.
Let Us Assist


biological source

rabbit

Quality Level

conjugate

unconjugated

material

colorless

clone

4S4P2, monoclonal

form

liquid

mol wt

77 kDa

species reactivity

human, rat

concentration

1.50 mg/mL

technique(s)

western blot: 1:500 - 1:2000

color

colorless

isotype

IgG

immunogen sequence

LEVQSNPKIRKGAVQKVSKKLEMHVYSKRLEIMLQDIFGEDCVSVKDDSILSVTVDGKTANLNLETRTVECEEGSEDDESLREMVELAAQRLYEALTPVH

UniProt accession no.

shipped in

wet ice

storage temp.

−20°C

target post-translational modification

unmodified

Gene Information

human ... CPSF73(51692)

General description

This gene encodes a member of the metallo-beta-lactamase family. The encoded protein is a 73kDa subunit of the cleavage and polyadenylation specificity factor and functions as an endonuclease that recognizes the pre-mRNA 3′-cleavage site AAUAAA prior to polyadenylation. It also cleaves after the pre-mRNA sequence ACCCA during histone 3′-end pre-mRNA processing.

Immunogen

PBS with 0.02% sodium azide,0.05% BSA,50% glycerol,pH7.3.
A synthetic peptide corresponding to a sequence within amino acids 585-684 of human CPSF73 (Q9UKF6).

Application

WB


Storage Class

10 - Combustible liquids

wgk

WGK 1

Regulatory Information

常规特殊物品

This item has



Choose from one of the most recent versions:

Certificates of Analysis (COA)

Lot/Batch Number

It looks like we've run into a problem, but you can still download Certificates of Analysis from our Documents section.

If you need assistance, please contact Customer Support

Already Own This Product?

Find documentation for the products that you have recently purchased in the Document Library.

Visit the Document Library



Global Trade Item Number

SKUGTIN
SAB5702951-100UL04065270707772