Skip to Content
Merck
CN

SAB6010032

Anti-Histone H4 antibody, clone 21E8, Rabbit Monoclonal

recombinant, expressed in HEK293F cells

Synonym(s):

Histone H4, HIST1H4A, H4/A, H4FA, AND, HIST1H4B, H4/I, H4FI, AND, HIST1H4C, H4/G, H4FG, AND, HIST1H4D, H4/B, H4FB, AND, HIST1H4E, H4/J, H4FJ, AND, HIST1H4F, H4/C, H4FC, AND, HIST1H4H, H4/H, H4FH, AND, HIST1H4I, H4/M, H4FM, AND, HIST1H4J, H4/E, H4FE, AND, HIST1H4K, H4/D, H4FD, AND, HIST1H4L, H4/K, H4FK, AND, HIST2H4A, H4/N, H4F2, H4FN, HIST2H4, AND, HIST2H4B, H4/O, H4FO, AND, HIST4H4

Sign In to View Organizational & Contract Pricing.

Select a Size


About This Item

UNSPSC Code:
12352203
NACRES:
NA.41
Conjugate:
unconjugated
Clone:
21E8, recombinant monoclonal
Application:
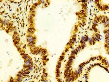
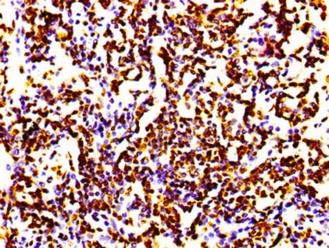
ELISA, FACS, IF, IHC
Citations:
-
Technical Service
Need help? Our team of experienced scientists is here for you.
Let Us Assist
Technical Service
Need help? Our team of experienced scientists is here for you.
Let Us Assist

recombinant

expressed in HEK 293 F cells

conjugate

unconjugated

antibody product type

primary antibodies

clone

21E8, recombinant monoclonal

form

liquid

mol wt

150 kDa

purified by

affinity chromatography

species reactivity

human

concentration

1.5mg/ml

technique(s)

ELISA: 2000:10000, flow cytometry: 1:50-1:200, immunofluorescence: 1:50-1:200, immunohistochemistry: 1:50-1:200

isotype

IgG

UniProt accession no.

shipped in

wet ice

storage temp.

-10 to -25°C

target post-translational modification

unmodified

Quality Level

General description

Core component of nucleosome. Nucleosomes wrap and compact DNA into chromatin, limiting DNA accessibility to the cellular machineries which require DNA as a template. Histones thereby play a central role in transcription regulation, DNA repair, DNA replication and chromosomal stability. DNA accessibility is regulated via a complex set of post-translational modifications of histones, also called histone code, and nucleosome remodeling.

Immunogen

A synthesized peptide derived from human Histone H4

Physical form

Rabbit IgG in phosphate buffered saline, pH 7.4, 150mM NaCl, 0.02% sodium azide and 50% glycerol.

Preparation Note

Upon receipt, store at -20°C or -80°C. Avoid repeated freeze.

Other Notes

72-103aa

Not finding the right product?  

Try our Product Selector Tool.

Storage Class

10 - Combustible liquids

wgk

WGK 1

flash_point_f

Not applicable

flash_point_c

Not applicable

Regulatory Information

新产品
This item has

Choose from one of the most recent versions:

Certificates of Analysis (COA)

Lot/Batch Number

It looks like we've run into a problem, but you can still download Certificates of Analysis from our Documents section.

If you need assistance, please contact Customer Support

Already Own This Product?

Find documentation for the products that you have recently purchased in the Document Library.

Visit the Document Library

Our team of scientists has experience in all areas of research including Life Science, Material Science, Chemical Synthesis, Chromatography, Analytical and many others.

Contact Technical Service