Skip to Content
Merck
CN

AMAB91547

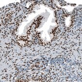
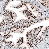
Monoclonal Anti-AR antibody produced in mouse

Prestige Antibodies® Powered by Atlas Antibodies, clone CL9255, purified immunoglobulin, buffered aqueous glycerol solution

Synonym(s):

AIS, DHTR, HUMARA, NR3C4, SBMA, SMAX1

Sign In to View Organizational & Contract Pricing.

Select a Size


About This Item

NACRES:
NA.43
UNSPSC Code:
12352203
Conjugate:
unconjugated
Clone:
CL9255, monoclonal
Application:
IHC, WB
Citations:
-
Technical Service
Need help? Our team of experienced scientists is here for you.
Let Us Assist
Technical Service
Need help? Our team of experienced scientists is here for you.
Let Us Assist

biological source

mouse

conjugate

unconjugated

antibody form

purified immunoglobulin

antibody product type

primary antibodies

clone

CL9255, monoclonal

product line

Prestige Antibodies® Powered by Atlas Antibodies

form

buffered aqueous glycerol solution

species reactivity

human

enhanced validation

orthogonal RNAseq
Learn more about Antibody Enhanced Validation

Gene Information

human ... AR(367)

shipped in

dry ice

concentration

1 mg/mL

technique(s)

immunohistochemistry: 1:1000-1:2500, western blot: 1 μg/mL

pH range

7.2-7.4

isotype

IgG1

Ensembl | human accession no.

storage temp.

−20°C

target post-translational modification

unmodified

Looking for similar products? Visit Product Comparison Guide

Immunogen

Recombinant protein corresponding to Androgen receptor

Application

All Prestige Antibodies Powered by Atlas Antibodies are developed and validated by the Human Protein Atlas (HPA) project and as a result, are supported by the most extensive characterization in the industry. The Human Protein Atlas project can be subdivided into three efforts: Human Tissue Atlas, Cancer Atlas, and Human Cell Atlas. The antibodies that have been generated in support of the Tissue and Cancer Atlas projects have been tested by immunohistochemistry against hundreds of normal and disease tissues and through the recent efforts of the Human Cell Atlas project, many have been characterized by immunofluorescence to map the human proteome not only at the tissue level but now at the subcellular level. These images and the collecation of this vast data set can be viewed on the Human Protein Atlas (HPA) site by clicking on the Image Gallery link. We also provide Prestige Antibodies® protocols and other useful information.

Features and Benefits

Prestige Antibodies® are highly characterized and extensively validated antibodies with the added benefit of all available characterization data for each target being accessible via the Human Protein Atlas portal linked just below the product name at the top of this page. The uniqueness and low cross-reactivity of the Prestige Antibodies® to other proteins are due to a thorough selection of antigen regions, affinity purification, and stringent selection. Prestige antigen controls are available for every corresponding Prestige Antibody and can be found in the linkage section.

Every Prestige Antibody is tested in the following ways:
  • IHC tissue array of 44 normal human tissues and 20 of the most common cancer type tissues.
  • Protein array of 364 human recombinant protein fragments.

Physical form

100UL pack size is provided in a solution, in PBS(phosphate-buffered saline), pH 7.2, containing 40% glycerol and 0.02% sodium azide.

Large pack size of 1ml (at 1mg/ml) is available in PBS only, purified, biocide free, carrier free and glycerol free. Order here-Request a Bulk Order /services/support/bulk-quotation-request

Preparation Note

Upon arrival, mix gently and aliquot to avoid repeated freeze-thaw cycles

Legal Information

Prestige Antibodies is a registered trademark of Merck KGaA, Darmstadt, Germany

Not finding the right product?  

Try our Product Selector Tool.

Storage Class

10 - Combustible liquids

wgk

WGK 1

flash_point_f

Not applicable

flash_point_c

Not applicable

Regulatory Information

低风险生物材料
常规特殊物品
This item has

Choose from one of the most recent versions:

Certificates of Analysis (COA)

Lot/Batch Number

It looks like we've run into a problem, but you can still download Certificates of Analysis from our Documents section.

If you need assistance, please contact Customer Support

Already Own This Product?

Find documentation for the products that you have recently purchased in the Document Library.

Visit the Document Library

Our team of scientists has experience in all areas of research including Life Science, Material Science, Chemical Synthesis, Chromatography, Analytical and many others.

Contact Technical Service