Skip to Content
Merck
CN

G1420

Anti-Glutamate Receptor 1, Metabotropic antibody produced in rabbit

affinity isolated antibody, buffered aqueous solution

Synonym(s):

Anti-mGluR1

Sign In to View Organizational & Contract Pricing.

Select a Size

Change View

About This Item

UNSPSC Code:
12352203
MDL number:
Technical Service
Need help? Our team of experienced scientists is here for you.
Let Us Assist


biological source

rabbit

conjugate

unconjugated

antibody form

affinity isolated antibody

antibody product type

primary antibodies

clone

polyclonal

form

buffered aqueous solution

species reactivity

human

availability

not available in Japan

technique(s)

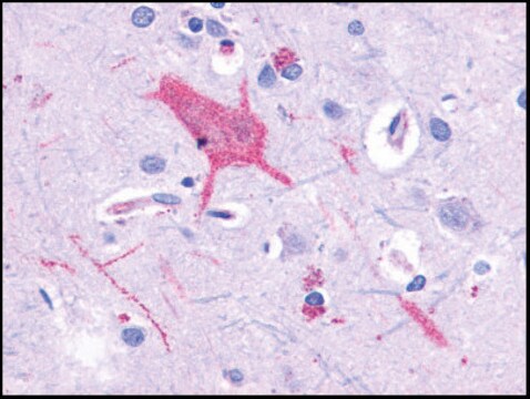
immunohistochemistry (formalin-fixed, paraffin-embedded sections): 10 μg/mL using human brain, neurons

UniProt accession no.

shipped in

dry ice

storage temp.

−20°C

Gene Information

human ... GRM1(2911)
mouse ... Grm1(14816)
rat ... Grm1(24414)

Immunogen

synthetic peptide corresponding to the C-terminal of human metabotropic glutamate receptor 1, conjugated to KLH. The immunizing peptide has 88% homology with the rat and mouse gene.

Application

Anti-Glutamate Receptor 1, Metabotropic antibody is suitable for immunohistochemistry (formalin-fixed, paraffin-embedded sections) at a concentration of 10μg/mL using human brain, neurons.

Biochem/physiol Actions

Glutamate, the excitatory neurotransmitter, is involved in fast excitatory synaptic transmission. It acts on ligand-gated receptor channels, termed NMDA, AMPA and kainate receptors. The metabotropic form consist of eight subtypes (mGluR1-8) divided into three groups (I-III). Group I binds to phospholipase C and intracellular calcium mobilization, whereas both groups II and III inhibit adenyl cyclase. The metabotropic receptors have some therapeutic potentials. Group I receptors have been implicated in post-ischemic neuronal injury, and antagonists of Group I appear to have a neuroprotective effect.

Physical form

Solution in phosphate buffered saline, pH 7.7, containing 0.01% sodium azide.

Disclaimer

Unless otherwise stated in our catalog or other company documentation accompanying the product(s), our products are intended for research use only and are not to be used for any other purpose, which includes but is not limited to, unauthorized commercial uses, in vitro diagnostic uses, ex vivo or in vivo therapeutic uses or any type of consumption or application to humans or animals.


Still not finding the right product?

Try our Product Selector Tool to narrow your options


Regulatory Information

新产品

This item has



Choose from one of the most recent versions:

Certificates of Analysis (COA)

Lot/Batch Number

Don't see the Right Version?

If you require a particular version, you can look up a specific certificate by the Lot or Batch number.

Already Own This Product?

Find documentation for the products that you have recently purchased in the Document Library.

Visit the Document Library


Related Content

Instructions


W Spooren et al.
Behavioural pharmacology, 14(4), 257-277 (2003-07-03)
Following the molecular cloning in the early 1990s of the metabotropic glutamate receptors (mGlu1-8), research that focused on the physiology, pharmacology and function of these receptors revealed their potential role in CNS disorders. Numerous psychiatric and neurological dis-orders are indeed
Thomas Knöpfel et al.
Cerebellum (London, England), 1(1), 19-26 (2003-07-26)
Metabotropic glutamate receptors (mGluRs) are a family of proteins that have seven transmembrane segments and that couple to G proteins. They differ from ionotropic glutamate receptors in that they do not form ion channels but instead affect intracellular chemical messenger
J P Pin et al.
Neuropharmacology, 34(1), 1-26 (1995-01-01)
Glutamate is the main excitatory neurotransmitter in the brain. For many years it has been considered to act only on ligand-gated receptor channels--termed NMDA, AMPA and kainate receptors--involved in the fast excitatory synaptic transmission. Recently, glutamate has been shown to