Skip to Content
Merck
CN

SAB5702960

Anti-S100A6 Antibody, clone 0J1Q5, Rabbit Monoclonal

Synonym(s):

2A9, 5B10, CABP, CACY, PRA

Sign In to View Organizational & Contract Pricing.

Select a Size


About This Item

NACRES:
NA.46
UNSPSC Code:
12352203
Conjugate:
unconjugated
Clone:
0J1Q5, monoclonal
Application:
IF, IHC, WB
Citations:
-
Technical Service
Need help? Our team of experienced scientists is here for you.
Let Us Assist
Technical Service
Need help? Our team of experienced scientists is here for you.
Let Us Assist

biological source

rabbit

conjugate

unconjugated

material

colorless

clone

0J1Q5, monoclonal

form

liquid

mol wt

10 kDa

concentration

0.23 mg/mL

technique(s)

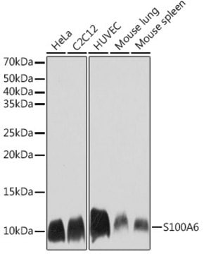
immunofluorescence: 1:50 - 1:200, immunohistochemistry: 1:50 - 1:200, western blot: 1:500 - 1:2000

color

colorless

isotype

IgG

immunogen sequence

MACPLDQAIGLLVAIFHKYSGREGDKHTLSKKELKELIQKELTIGSKLQDAEIARLMEDLDRNKDQEVNFQEYVTFLGALALIYNEALKG

UniProt accession no.

shipped in

wet ice

storage temp.

−20°C

target post-translational modification

unmodified

Quality Level

Gene Information

human ... S100A6(6277)

species reactivity

human

General description

The protein encoded by this gene is a member of the S100 family of proteins containing 2 EF-hand calcium-binding motifs. S100 proteins are localized in the cytoplasm and/or nucleus of a wide range of cells, and involved in the regulation of a number of cellular processes such as cell cycle progression and differentiation. S100 genes include at least 13 members which are located as a cluster on chromosome 1q21. This protein may function in stimulation of Ca2+-dependent insulin release, stimulation of prolactin secretion, and exocytosis. Chromosomal rearrangements and altered expression of this gene have been implicated in melanoma. [provided by RefSeq, Jul 2008]

Immunogen

PBS with 0.02% sodium azide,0.05% BSA,50% glycerol,pH7.3.
Recombinant fusion protein containing a sequence corresponding to amino acids 1-90 of human S100A6 (P06703).

Application

WB, IHC, IF/ICC

Storage Class

10 - Combustible liquids

wgk

WGK 1

Regulatory Information

常规特殊物品
This item has

Choose from one of the most recent versions:

Certificates of Analysis (COA)

Lot/Batch Number

It looks like we've run into a problem, but you can still download Certificates of Analysis from our Documents section.

If you need assistance, please contact Customer Support

Already Own This Product?

Find documentation for the products that you have recently purchased in the Document Library.

Visit the Document Library

Our team of scientists has experience in all areas of research including Life Science, Material Science, Chemical Synthesis, Chromatography, Analytical and many others.

Contact Technical Service