Skip to Content
Merck
CN

ZMS1210

Anti-GXM Antibody, clone 18B7 ZooMAb® Mouse Monoclonal

greener alternative

recombinant, expressed in HEK 293 cells

Sign In to View Organizational & Contract Pricing.

Select a Size

Change View

About This Item

UNSPSC Code:
12352203
NACRES:
NA.46
Conjugate:
unconjugated
Clone:
18B7, recombinant monoclonal
Application:
IHC
Citations:
-
Technical Service
Need help? Our team of experienced scientists is here for you.
Let Us Assist

biological source

mouse

Quality Level

recombinant

expressed in HEK 293 cells

conjugate

unconjugated

antibody form

purified antibody

antibody product type

primary antibodies

clone

18B7, recombinant monoclonal

description

recombinant, expressed in HEK 293 cells

product line

ZooMAb® learn more

form

lyophilized

purified by

using protein G

species reactivity

yeast

packaging

antibody small pack of 25

greener alternative product characteristics

Waste Prevention
Designing Safer Chemicals
Design for Energy Efficiency
Learn more about the Principles of Green Chemistry.

enhanced validation

recombinant expression
Learn more about Antibody Enhanced Validation

sustainability

Greener Alternative Product

technique(s)

immunohistochemistry: suitable

isotype

IgG1κ

epitope sequence

Unknown

greener alternative category

shipped in

ambient

storage temp.

2-8°C

General description

Glucuronoxylomannan (GXM) is the principal capsular polysaccharide of Cryptococcus neoformans, a pathogenic fungus causing cryptococcosis, particularly in immunocompromised individuals. Structurally, GXM comprises an -(1→3)-linked mannose backbone substituted with xylose and glucuronic acid residues, and it is O-acetylated at specific mannose units, contributing to its heterogeneity. Synthesized intracellularly, GXM is transported via vesicles to the extracellular space, where it integrates into the fungal capsule and interacts with cell wall components such as glucans and chitin. GXM is critical for fungal virulence, providing protection against phagocytosis, modulating cytokine secretion, and interfering with leukocyte migration. It binds to host receptors, including Toll-like receptors (TLR2, TLR4), CD14, and CD18, facilitating immune evasion. GXM exhibits potent immunosuppressive properties by inhibiting pro-inflammatory cytokines (e.g., IL-1β, TNF- ) while promoting anti-inflammatory cytokines like IL-10. This immunomodulation contributes to disease progression, including cryptococcal meningitis. Additionally, GXM has shown promise as an anti-inflammatory agent in experimental models of septic arthritis, reducing inflammation and cytokine levels. This ZooMAb® recombinant monoclonal antibody, generated by our proprietary technology, offers significantly enhanced specificity, affinity, reproducibility, and stability over conventional monoclonals. (Ref.: Monari, C., t al., (2006), FEMS Yeast Research, 6(4), 537 542; Chang, Z.L., et al., (2006), Infect Immun, 74(1), 144-151)
ZooMAb® antibodies represent an entirely new generation of recombinant monoclonal antibodies. Each ZooMAb® antibody is manufactured using our proprietary recombinant expression system, purified to homogeneity, and precisely dispensed to produce robust and highly reproducible lot-to-lot consistency. Only top-performing clones are released for use by researchers. Each antibody is validated for high specificity and affinity across multiple applications, including its most commonly used application. ZooMAb® antibodies are reliably available and ready to ship when you need them.

Immunogen

Cryptococcus neoformans serotype A glucuronoxylomannan (GXM)-Tetanus Toxoid conjugate vaccine.

Application

Quality Control Testing

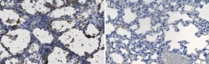
Immunohistochemistry (Paraffin) Analysis on mouse spleen tissue sections.

Immunohistochemistry (IHC) Paraffin: A 1:100 dilution from a representative lot detected GXM in mouse spleen tissue sections.

Tested Applications

Immunohistochemistry (Paraffin) Analysis: A 1:100 dilution from a representative lot detected GXM in C. neoformans-infected mouse liver, brain, and lung tissue sections.

Note: Actual optimal working dilutions must be determined by end user as specimens, and experimental conditions may vary with the end user.

Biochem/physiol Actions

Clone 18B7 is a mouse monoclonal antibody that binds to Glucuronoxylomannan (GXM) from Cryptococcus neoformans.

Physical form

Purified recombinant mouse monoclonal antibody IgG, lyophilized in PBS with 5% Trehalose, normal appearance a coarse or translucent resin. The PBS/trehalose components in the ZooMAb formulation can have the appearance of a semi-solid (bead like gel) after lyophilization. This is a normal phenomenon. Please follow the recommended reconstitution procedure in the data sheet to dissolve the semi-solid, bead-like, gel-appearing material. The resulting antibody solution is completely stable and functional as proven by full functional testing. Contains no biocide or preservatives, such as azide, or any animal by-products. Larger pack sizes provided as multiples of 25 µL.

Preparation Note

300 µg/mL after reconstitution at 25 µL per vial. Please refer to guidance on suggested starting dilutions and/or titers per application and sample type.
Recommend storage of lyophilized product at 2-8°C; Before reconstitution, micro-centrifuge vials briefly to spin down material to bottom of the vial; Reconstitute each vial by adding 25 µL of filtered lab grade water or PBS; Reconstituted antibodies can be stored at 2-8°C, or -20°C for long term storage. Avoid repeated freeze-thaws.

Other Notes

We are committed to bringing you greener alternative products, which adhere to one or more of the 12 Principles of Green Chemistry. This antibody is preservative-free, produced without the harm or sacrifice of animals and exceptionally stable to allow for ambient shipping and storage if needed, and thus aligns with "Waste Prevention", "Designing Safer Chemicals" and "Design for Energy Efficiency". Click here for more information.

Legal Information

ZooMAb is a registered trademark of Merck KGaA, Darmstadt, Germany

Disclaimer

Unless otherwise stated in our catalog or other company documentation accompanying the product(s), our products are intended for research use only and are not to be used for any other purpose, which includes but is not limited to, unauthorized commercial uses, in vitro diagnostic uses, ex vivo or in vivo therapeutic uses or any type of consumption or application to humans or animals.

Not finding the right product?  

Try our Product Selector Tool.

Storage Class

11 - Combustible Solids

wgk

WGK 1

flash_point_f

Not applicable

flash_point_c

Not applicable

Regulatory Information

新产品

This item has


Choose from one of the most recent versions:

Certificates of Analysis (COA)

Lot/Batch Number

Don't see the Right Version?

If you require a particular version, you can look up a specific certificate by the Lot or Batch number.

Already Own This Product?

Find documentation for the products that you have recently purchased in the Document Library.

Visit the Document Library

Global Trade Item Number

SKUGTIN
ZMS1210-25UL04065273125146
ZMS1210-4X25UL04065273125153

Our team of scientists has experience in all areas of research including Life Science, Material Science, Chemical Synthesis, Chromatography, Analytical and many others.

Contact Technical Service