Skip to Content
Merck
CN

ZRB3020

Anti-PRMT1 Antibody, clone 3G10 ZooMAb® Rabbit Monoclonal

greener alternative

recombinant, expressed in HEK 293 cells

Synonym(s):

EC:2.1.1.319, Histone-arginine N-methyltransferase PRMT1, Interferon receptor 1-bound protein 4, Protein arginine N-methyltransferase 1

Sign In to View Organizational & Contract Pricing.

Select a Size


About This Item

UNSPSC Code:
12352203
NACRES:
NA.46
Technical Service
Need help? Our team of experienced scientists is here for you.
Let Us Assist
Technical Service
Need help? Our team of experienced scientists is here for you.
Let Us Assist

biological source

rabbit

recombinant

expressed in HEK 293 cells

conjugate

unconjugated

antibody form

purified antibody

Quality Level

Gene Information

human ... PRMT1(3276)

clone

3G10, recombinant monoclonal

description

recombinant, expressed in HEK 293 cells

product line

ZooMAb® learn more

form

lyophilized

mol wt

calculated mol wt 42.46 kDa, observed mol wt ~40.0 kDa

purified by

using Protein A

species reactivity

human, rat, mouse, monkey

species reactivity (predicted by homology)

zebrafish, nonhuman primates, bovine, frog

packaging

antibody small pack of 25

greener alternative product characteristics

Waste Prevention
Designing Safer Chemicals
Design for Energy Efficiency
Learn more about the Principles of Green Chemistry.

enhanced validation

recombinant expression
Learn more about Antibody Enhanced Validation

sustainability

Greener Alternative Product

technique(s)

affinity binding assay: suitable, immunohistochemistry: suitable, western blot: suitable

isotype

IgG

epitope sequence

C-terminal half

Protein ID accession no.

UniProt accession no.

greener alternative category

shipped in

ambient

storage temp.

2-8°C

General description

Protein arginine N-methyltransferase 1 (UniProt: Q99873; also known as Histone-arginine N-methyltransferase PRMT1, EC:2.1.1.319, Interferon receptor 1-bound protein 4) is encoded by the PRMT1 (also known as HMT2, HRMT1L2, IR1B4) gene (Gene ID: 3276) in human. The methylation of arginine is mediated by the Protein Arginine Methyl Transferase (PRMT) family of enzymes. These enzymes transfer the methyl group from S-adenosyl-L methionine to the guanidino nitrogen atoms of an arginine residue. Arginine methylation was found to be an important modification in signal transduction, transcription, RNA transport, and splicing. Proteins involved in the metabolism of RNA are substrates for PRMT1. PRMT1 is a 371 amino acid protein and structurally, PRMT1 is characterized by a conserved SAM-dependent MTase PRMT-type domain (aa 50-361) that facilitates the transfer of methyl groups from S-adenosylmethionine (SAM) to arginine residues, resulting in the formation of monomethyl arginine (MMA) and asymmetric dimethylarginine (aDMA). PRMT1 expression is ubiquitous and, its known to be strongly expressed in colorectal cancer tissues. The protein localizes predominantly within the nucleus but is also found in the cytoplasm. Four isoforms of PRMT1 have been described that are produced by alternative splicing. Studies report PRMT1 as a major regulator of biological processes including regulation of gene expression, DNA repair, and RNA splicing. Dysregulation of PRMT1 has been implicated in several diseases, particularly cancers. Recent studies highlights that targeting PRMT1′s methyltransferase activity could disrupt cancer progression, providing insights for PRMT1′s potential as a therapeutic target, and for future drug development. This ZooMAb® recombinant monoclonal antibody, generated by our proprietary technology, offers significantly enhanced specificity, affinity, reproducibility, and stability over conventional monoclonals. (Ref.: Sudhakar, SRN., et al. (2024). Biochem Cell Biol. 102(2):106-126; Ma, S., et al. (2025). Eur J Pharm Sci. 204:106958).
We are committed to bringing you greener alternative products, which adhere to one or more of the 12 Principles of Green Chemistry. This antibody is preservative-free, produced without the harm or sacrifice of animals and exceptionally stable to allow for ambient shipping and storage if needed, and thus aligns with "Waste Prevention", "Designing Safer Chemicals" and "Design for Energy Efficiency". Click here for more information.
ZooMAb® antibodies represent an entirely new generation of recombinant monoclonal antibodies. Each ZooMAb® antibody is manufactured using our proprietary recombinant expression system, purified to homogeneity, and precisely dispensed to produce robust and highly reproducible lot-to-lot consistency. Only top-performing clones are released for use by researchers. Each antibody is validated for high specificity and affinity across multiple applications, including its most commonly used application. ZooMAb® antibodies are reliably available and ready to ship when you need them.

Immunogen

KLH-conjugated linear peptide corresponding to 17 amino acids from the C-terminal half of human PRMT1.

Application

Quality Control Testing

Evaluated by Western Blotting in C2C12 cell lysate.

Western Blotting Analysis: A 1:10,000 dilution of this antibody detected PRMT1 in C2C12 cell lysate.

Tested Applications

Western Blotting Analysis: A 1:10,000 dilution from a representative lot detected PRMT1 in lysates from Ramos cells, C6 cells, and COS-7 cells.

Affinity Binding Assay: A representative lot of this antibody bound PRMT1 peptide with at least one thousand-fold (1,000X) higher affinity than with non-specific control peptide.

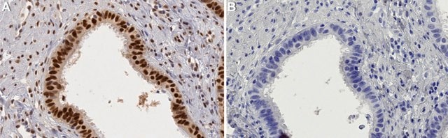
Immunohistochemistry (Paraffin) Analysis: A 1:1,000 dilution from a representative lot detected PRMT1 in human fallopian tube tissue sections.

Note: Actual optimal working dilutions must be determined by end user as specimens, and experimental conditions may vary with the end user.

Biochem/physiol Actions

Clone 3G10 is a ZooMAb® recombinant rabbit monoclonal antibody that specifically detects PRMT1. It targets an epitope within 17 amino acids from the C-terminal half.

Physical form

Purified recombinant rabbit monoclonal antibody IgG, lyophilized in PBS with 5% Trehalose, normal appearance a coarse or translucent resin. The PBS/trehalose components in the ZooMAb formulation can have the appearance of a semi-solid (bead like gel) after lyophilization. This is a normal phenomenon. Please follow the recommended reconstitution procedure in the data sheet to dissolve the semi-solid, bead-like, gel-appearing material. The resulting antibody solution is completely stable and functional as proven by full functional testing. Contains no biocide or preservatives, such as azide, or any animal by-products. Larger pack sizes provided as multiples of 25 µL.

Preparation Note

300 µg/mL after reconstitution at 25 µL per vial. Please refer to guidance on suggested starting dilutions and/or titers per application and sample type.
Recommend storage of lyophilized product at 2-8°C; Before reconstitution, micro-centrifuge vials briefly to spin down material to bottom of the vial; Reconstitute each vial by adding 25 µL of filtered lab grade water or PBS; Reconstituted antibodies can be stored at 2-8°C, or -20°C for long term storage. Avoid repeated freeze-thaws.

Legal Information

ZooMAb is a registered trademark of Merck KGaA, Darmstadt, Germany

Disclaimer

Unless otherwise stated in our catalog or other company documentation accompanying the product(s), our products are intended for research use only and are not to be used for any other purpose, which includes but is not limited to, unauthorized commercial uses, in vitro diagnostic uses, ex vivo or in vivo therapeutic uses or any type of consumption or application to humans or animals.

Storage Class

11 - Combustible Solids

wgk

WGK 1

flash_point_f

Not applicable

flash_point_c

Not applicable

Regulatory Information

新产品
This item has

Choose from one of the most recent versions:

Certificates of Analysis (COA)

Lot/Batch Number

Don't see the Right Version?

If you require a particular version, you can look up a specific certificate by the Lot or Batch number.

Already Own This Product?

Find documentation for the products that you have recently purchased in the Document Library.

Visit the Document Library

Our team of scientists has experience in all areas of research including Life Science, Material Science, Chemical Synthesis, Chromatography, Analytical and many others.

Contact Technical Service