ZRB3208
Anti-CD79A Antibody, clone 2C16 ZooMAb® Rabbit Monoclonal


recombinant, expressed in HEK 293 cells
Synonym(s):
B-cell antigen receptor complex-associated protein alpha chain, Ig-alpha, MB-1 membrane glycoprotein, Membrane-bound immunoglobulin-associated protein, Surface IgM-associated protein
biological source
rabbit
Quality Level
recombinant
expressed in HEK 293 cells
conjugate
unconjugated
antibody form
purified antibody
antibody product type
primary antibodies
clone
2C16, recombinant monoclonal
description
recombinant, expressed in HEK 293 cells
product line
ZooMAb® learn more
form
lyophilized
mol wt
calculated mol wt 25.04 kDa
observed mol wt ~45 kDa
purified by
using Protein A
species reactivity
human
packaging
antibody small pack of 25
greener alternative product characteristics
Waste Prevention
Designing Safer Chemicals
Design for Energy Efficiency
Learn more about the Principles of Green Chemistry.
enhanced validation
recombinant expression
Learn more about Antibody Enhanced Validation
sustainability
Greener Alternative Product
technique(s)
affinity binding assay: suitable
flow cytometry: suitable
immunohistochemistry: suitable
western blot: suitable
isotype
IgG
epitope sequence
C-terminal extracellular domain
Protein ID accession no.
UniProt accession no.
greener alternative category
shipped in
ambient
storage temp.
2-8°C
General description
Immunogen
Application
Evaluated by Western Blotting in Raji cell lysate.
Western Blotting Analysis: A 1:1,000 dilution of this antibody detected CD79A in Raji cell lysate.
Tested Applications
Western Blotting Analysis: A 1:1,000 dilution from a representative lot detected CD79A in Ramos and Daudi cell lysates.
Flow Cytometry Analysis: 0.1 µg from a representative lot detected CD79A in one million Ramos cells.
Affinity Binding Assay: A representative lot of this antibody bound with CD79A peptide with at least one million-fold (1,000,000X) higher affinity than with non-specific control peptide.
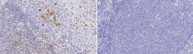
Immunohistochemistry (Paraffin) Analysis: A 1:100 dilution from a representative lot detected CD79A in human tonsil tissue sections.
Note: Actual optimal working dilutions must be determined by end user as specimens, and experimental conditions may vary with the end user.
Biochem/physiol Actions
Physical form
Preparation Note
Other Notes
Legal Information
Disclaimer
Not finding the right product?
Try our Product Selector Tool.
Regulatory Information
Choose from one of the most recent versions:
Certificates of Analysis (COA)
Don't see the Right Version?
If you require a particular version, you can look up a specific certificate by the Lot or Batch number.
Already Own This Product?
Find documentation for the products that you have recently purchased in the Document Library.
Our team of scientists has experience in all areas of research including Life Science, Material Science, Chemical Synthesis, Chromatography, Analytical and many others.
Contact Technical Service