biological source
rabbit
conjugate
unconjugated
antibody form
affinity isolated antibody
antibody product type
primary antibodies
clone
polyclonal
product line
Prestige Antibodies® Powered by Atlas Antibodies
form
buffered aqueous glycerol solution
species reactivity
human
enhanced validation
orthogonal RNAseq
independent
Learn more about Antibody Enhanced Validation
technique(s)
immunofluorescence: 0.25-2 μg/mL, immunohistochemistry: 1:20-1:50
immunogen sequence
MFRFMRDVEPEDPMFLMDPFAIHRQHMSRMLSGGFGYSPFLSITDGNMPGTRPASRRMQQA
UniProt accession no.
shipped in
wet ice
storage temp.
−20°C
target post-translational modification
unmodified
Quality Level
Gene Information
human ... MLF2(8079)
正在寻找类似产品? 访问 产品对比指南
General description
MLF2 (myeloid leukemia factor 2) is a 248 amino acid protein, which shares high similarity with MLF1 protein. This gene is localized to human chromosome 12p13, and has an open reading frame of 744bp. MLF2 mRNA is ubiquitously expressed.
Immunogen
Myeloid leukemia factor 2 recombinant protein epitope signature tag (PrEST)
Application
All Prestige Antibodies Powered by Atlas Antibodies are developed and validated by the Human Protein Atlas (HPA) project and as a result, are supported by the most extensive characterization in the industry.
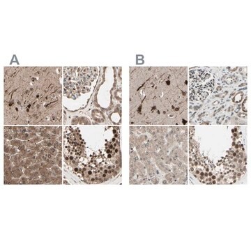
The Human Protein Atlas project can be subdivided into three efforts: Human Tissue Atlas, Cancer Atlas, and Human Cell Atlas. The antibodies that have been generated in support of the Tissue and Cancer Atlas projects have been tested by immunohistochemistry against hundreds of normal and disease tissues and through the recent efforts of the Human Cell Atlas project, many have been characterized by immunofluorescence to map the human proteome not only at the tissue level but now at the subcellular level. These images and the collection of this vast data set can be viewed on the Human Protein Atlas (HPA) site by clicking on the Image Gallery link. We also provide Prestige Antibodies® protocols and other useful information.
The Human Protein Atlas project can be subdivided into three efforts: Human Tissue Atlas, Cancer Atlas, and Human Cell Atlas. The antibodies that have been generated in support of the Tissue and Cancer Atlas projects have been tested by immunohistochemistry against hundreds of normal and disease tissues and through the recent efforts of the Human Cell Atlas project, many have been characterized by immunofluorescence to map the human proteome not only at the tissue level but now at the subcellular level. These images and the collection of this vast data set can be viewed on the Human Protein Atlas (HPA) site by clicking on the Image Gallery link. We also provide Prestige Antibodies® protocols and other useful information.
Biochem/physiol Actions
MLF2 (myeloid leukemia factor 2) plays a role in the self-renewal of breast cancer stem cells (BCSCs). Mutations in this gene that lead to gain-of-function, is found in lung metastases in patients with both estrogen receptor (ER)α+ and ERα- breast cancer. It regulates nitric oxide synthase signaling, and its expression level is affected by hypoxia. MLF2 therefore, plays a role in breast cancer tumorigenesis and lung metastasis. In chickens, this gene is associated with coccidiosis resistance.
Features and Benefits
Prestige Antibodies® are highly characterized and extensively validated antibodies with the added benefit of all available characterization data for each target being accessible via the Human Protein Atlas portal linked just below the product name at the top of this page. The uniqueness and low cross-reactivity of the Prestige Antibodies® to other proteins are due to a thorough selection of antigen regions, affinity purification, and stringent selection. Prestige antigen controls are available for every corresponding Prestige Antibody and can be found in the linkage section.
Every Prestige Antibody is tested in the following ways:
Every Prestige Antibody is tested in the following ways:
- IHC tissue array of 44 normal human tissues and 20 of the most common cancer type tissues.
- Protein array of 364 human recombinant protein fragments.
Physical form
Solution in phosphate-buffered saline, pH 7.2, containing 40% glycerol and 0.02% sodium azide
Other Notes
Corresponding Antigen APREST71688
Legal Information
Prestige Antibodies is a registered trademark of Merck KGaA, Darmstadt, Germany
Disclaimer
Unless otherwise stated in our catalog or other company documentation accompanying the product(s), our products are intended for research use only and are not to be used for any other purpose, which includes but is not limited to, unauthorized commercial uses, in vitro diagnostic uses, ex vivo or in vivo therapeutic uses or any type of consumption or application to humans or animals.
未找到合适的产品?
试试我们的产品选型工具.
存储类别
10 - Combustible liquids
wgk
WGK 1
flash_point_f
Not applicable
flash_point_c
Not applicable
ppe
Eyeshields, Gloves, multi-purpose combination respirator cartridge (US)
法规信息
新产品
此项目有
Yeong Ho Hong et al.
BMC proceedings, 5 Suppl 4, S21-S21 (2011-06-08)
MLF2 was the candidate gene associated with coccidiosis resistance in chickens. Although single marker analysis supported the association between MLF2 and coccidiosis resistance, causative mutation relevant to coccidiosis was not identified yet. Thus, this study suggested segregation analysis of MLF2
M U Kuefer et al.
Genomics, 35(2), 392-396 (1996-07-15)
A fusion gene between nucleophosmin (NPM) and myelodysplasia/myeloid leukemia factor 1 (MLF1) is formed by a recurrent t(3;5)(q25.1;q34) in myelodysplastic syndrome and acute myeloid leukemia. Here we report the identification of a novel gene, MLF2, which contains an open reading
相关内容
Prestige Antibodies Immunofluorescence Procedure
我们的科学家团队拥有各种研究领域经验,包括生命科学、材料科学、化学合成、色谱、分析及许多其他领域.
联系客户支持